Желтое тело в яичнике (правом или левом) на УЗИ: что это такое, размеры по дням, когда оно появляется после овуляции

Что имеют в виду гинекологи и узисты, когда говорят, что в яичнике желтое тело? Что это такое, каким оно должно быть (и должно ли быть вообще), какую функцию выполняет в женском организме?
Функции желтого тела
Организм здоровой женщины – это своеобразный отлаженный механизм, который каждый месяц циклично выполняет свою работу: попытку зародить новую жизнь.
Если оплодотворения не случилось, созревшая яйцеклетка, оставшись неоплодотворенной, покинет организм, выйдя с менструальными выделениями.
А через месяц ситуация повторится, и это повторение – закономерность, подтверждающая, что женщина здорова, и вполне способа к деторождению.
Но не только яйцеклетка созревает каждый цикл. Для наступления потенциальной беременности необходимо еще и желтое тело.
Желтым (или иначе – лютеиновым) телом называется временная эндокринная железа яичника, которая получила такое название из-за желтоватого оттенка содержащегося в ней вещества – особого гормона беременности. Иногда для краткости его называют ЖТ.
Образуется желтое тело после овуляции. При выходе зрелой яйцеклетки из яичника разрывается содержавший ее фолликул, и в лютеиновой фазе цикла гранулезные фолликулярные клетки начинают образовывать желтое тело, на УЗИ этот процесс заметен практически сразу после овуляции.
Желтое тело проходит несколько этапов развития:
- Первый этап – это размножение клеток лопнувшего фолликула (фолликолоцитов), он запускается непосредственно после овуляции;
- Второй этап характеризуется процессом разрастания в тканях тела кровеносных сосудов;
- На третьем этапе желтое тело на яичнике начинает выработку гормонов. Данный процесс стартует примерно через семь дней после выхода из фолликула яйцеклетки, когда железа достигает максимального размера: начинается продуцирование прогестерона и эстрогена. Эти гормоны желтого тела берут на себя роль подготовителей организма к вынашиванию беременности: активируют рост эндометрия в матке для того, чтобы возможная имплантация эмбриона прошла успешно.
- Четвертый этап зависит от того, наступило ли зачатие или нет. Это и определяет продолжительность жизни ЖТ.
Как долго оно живет
Сколько живет желтое тело? В том случае, если яйцеклетка не оплодотворилась, через несколько суток оно начинает уменьшаться, перерождаясь в рубцовую ткань, замедляется производство прогестерона, что служит сигналом к началу менструации: с кровью выходят и не пригодившаяся яйцеклетка, и отторгнутые клетки эндометрия. Перерожденное ЖТ в гинекологии называется беловатым телом, оно постепенно исчезает, а на яичнике появляется очередной рубец. Благодаря чему структура яичников – характерная рубцовая.
А если оплодотворение случилось, «жизнь» этой эндокринной железы продлевается примерно на три месяца, пока сформировавшаяся плацента со второго триместра беременности не возьмет на себя функцию выработки гормонов.
При этом происходит своеобразная защита от наступления новой беременности на фоне уже имеющейся. Этот контроль тоже выполняет лютеиновое тело: образуется своеобразная блокировка созревания и выхода новых яйцеклеток.
Читайте о ЖТ при беременности на ранних сроках.
Размеры ЖТ
Наблюдение за этим процессом осуществляется при помощи такого простого метода как ультразвуковое исследование. Обычного это необходимо на этапе планирования и в первые недели наступившей беременности, а также при лечении бесплодия или прочих патологиях яичников.
Самым благоприятным временем по дням цикла для исследования является вторая неделя (7-10 день с момента последней менструации). При необходимости более точного контроля работы яичников и развития фолликулов УЗИ проводят троекратно, примерно по следующей схеме:
- сразу после окончания месячных;
- в дни овуляции (14-17 сутки);
- на 22-23 день начала цикла.
Размеры желтого тела сразу после овуляции составляют около 12 – 20 миллиметров. С каждым днем цикла ЖТ увеличивается в размерах, которые достигают своего пика к концу цикла, на 19-28 день. В это время нормальный размер ЖТ – 23-29 мм.
Жт на узи
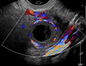
На УЗИ желтое тело определяется как округлое неоднородное образование.
Его видно и при методике исследования через брюшную стенку (трансабдоминальная методика УЗИ), но более достоверные результаты диагностики получают при трансвагинальном методе с использованием внутривагинального датчика.
Процедура эта безболезненна, может доставить разве что психологический дискомфорт. Какой результат дают данные гинекологические исследования?
Если в яичнике на УЗИ ЖТ визуализируется, это подтверждает, что овуляция произошла, но вовсе не означает, что беременность наступила. Железа лишь обеспечивает благоприятные условия для зачатия и делает его наступление возможным: прогестерон запускает подготовку маточного эпителия к прикреплению эмбриона. Она образуется даже у девственниц.
Обнаружить можно желтое тело в правом яичнике, и это говорит о том, что именно с правой стороны яичник в этом цикле был активен, а если образовалось желтое тело в левом яичнике, это значит, что доминантный фолликул созрел с левой стороны.
Очередность активности яичников не всегда последовательная, в норме овулируют оба – через цикл каждый. Но может быть и так, что несколько циклов подряд, а то и вовсе постоянно, за овуляцию отвечает лишь один из этих парных органов, и тогда образуется желтое тело либо справа, либо слева.
На зачатие расположение активного яичника не влияет.
Если же ЖТ не было обнаружено, то, вероятнее всего, овуляции в этом месяце не было. Такой «пустой» цикл называется ановуляторным.
Это можно считать нормой в переходные для женского организма этапы развития: в период установки цикла в юношеском возрасте, после родов при лактации, во время менопаузы.
В репродуктивном же возрасте ановуляция говорит о гормональных нарушениях и патологиях половой системы.
Случается и так, что отследить, когда появляется желтое тело, не получилось, но беременность наступила. Такое возможно лишь в том случае, если специалист, проводивший диагностику, был невнимателен или аппарат устарел. Без ЖТ беременность не может прогрессировать: при отсутствии гормональной подпитки плод погибнет.
Патологии
Патологии состояния ЖТ немногочисленны, но встречаются довольно часто, являясь распространенной причиной бесплодия. К патологиям относятся, прежде всего:
- отсутствие железы;
- недостаточность (гипофункция);
- киста.
Отсутствие ЖТ
Отсутствие ЖТ – это и признак отсутствия овуляции, что означает невозможность зачатия. Даже при ЭКО желтое тело необходимо, и врачи могут вызвать его искусственно – гормональной стимуляцией.
Недостаточность ЖТ
Недостаточность тела не означает его отсутствия, но такой диагноз ставят при низкой выработке прогестерона. В этом случае нормально функционирующий яичник с желтым телом выпускает полноценную яйцеклетку, способную к оплодотворению. Но из-за недостатка прогестерона возникает угроза прерывания беременности.
По УЗИ диагностировать данную патологию можно при несоответствии размеров железы положенным (менее 10 миллиметров). Для уточнения диагноза пациентке проводят лабораторное исследование крови на концентрацию прогестерона.
Киста ЖТ
Если же размеры желтого тела превышают норму (30 мм и больше), доктор может диагностировать кисту. В этом случае железа не угасает, продолжая вырабатывать прогестерон. А это означает, что беременность на фоне кисты вполне возможна, и ее развитие может протекать нормально.
Киста желтого тела обычно не приносит женскому организму вреда, так как исчезает вместе с постепенно угасающим желтым телом. Но в редких случаях осложнения все же возможны, поэтому при подобном диагнозе наблюдение у специалиста необходимо.
К патологиям не относятся:
- наличие «старого» желтого тела, не успевшего переродиться в беловатое, которое не влияет на работу своевременно образовавшегося нового тела, так как попросту не функционирует;
- два желтых тела: они могут формироваться одновременно в разных яичниках или в одном, и это является подтверждением одновременного созревания двух фолликулов, что повышает шанс развития многоплодной беременности при успешном оплодотворении сразу обеих яйцеклеток.
При подозрении на патологии в период планирования беременности следует обязательно пройти УЗИ и сделать лабораторные исследования крови.
Несмотря на то, что ЖТ – совсем небольшая, да еще и временная, железа внутренней секреции, она выполняет важную роль в женском организме. Месяц за месяцем благодаря этой вспомогательной железе появляется возможность зачать и выносить малыша.
Вопрос-ответ
На вопросы пациенток отвечает акушер-гинеколог Елена Артемьева.
– Мне 28, диагноз – бесплодие, эндометриоз. Прошла лечение: сначала лапароскопия, потом лекарства. Прошла УЗИ-диагностику, вот результат. Контуры матки четкие. Эндометрий – секреторного типа, М-эхо 15 мм.
, Левый яичник 60х41х53 мм, V-70 см куб., с округлым гипоэхогенным образованием с сетчатой внутренней структурой. Правый яичник 27х14х20 мм, V-40 см куб., с фолликулами до 12 мм.
Заключение: признаки кистозного образования левого яичника (киста жёлтого тела). Это очень опасно?
– В норме в яичнике каждый месяц растет доминантный фолликул, в овуляцию он лопается, оттуда выходит яйцеклетка. Киста ЖТ – это такое образование, которое остается от лопнувшего фолликула после овуляции. Сделайте еще раз УЗИ на 8-9 день цикла. Если это киста, то она «рассосется», от нее не будет никакого вреда.
– На 12 день цикла у меня обнаружили доминантный фолликул 23 мм. А на 23 день – желтое тело 12 мм с кровотоком. Я беременна?
– УЗИ показывает, что была овуляция. Есть ли беременность, говорить пока рано. Но в этом цикле она возможна, ведь овуляция была. Сдайте кровь на ХГЧ.
– У меня отсутствует овуляция, давно наблюдаюсь у врача, прохожу курс лечения (пью курантил, актовегин и др.). В течение последнего цикла трижды ходила на УЗИ. Доминантный фолликул у меня не увидели, говорили, что беременности быть в этом цикле не может. Но на 23 день УЗИ показало желтое тело 22 мм. Как это могло произойти?
– Значит, узисты «просмотрели» ваш доминантный фолликул, так иногда бывает. ЖТ образуется на яичнике на месте созревания фолликула. Значит, овуляция у вас была, и был шанс забеременеть в этом цикле. Но даже если на этот раз вы не забеременели, возможно, и в следующем цикле овуляция будет, так что надейтесь на лучшее.
Источник: https://MyZachatie.ru/mesyachnyi-cikl/zheltoe-telo-v-yaichnike.html
Желтое тело на УЗИ

Многие пациентки слышали термин «желтое тело яичника», однако далеко не все представляют себе природу этого образования. На самом деле это очень важный временный орган, возникающий и исчезающий каждый менструальный цикл.
Что такое желтое тело?
В нормальном месячном цикле здоровой женщины выделяют три фазы:
- Фолликулиновая. В этот период растет слизистая оболочка матки и созревает фолликул. По достижении фолликулом размеров 18-20 мм под влиянием ряда гормонов происходит разрыв его оболочки, и созревшая яйцеклетка выходит в брюшную полость — происходит овуляция.
- Овуляция происходит обычно в середине менструального цикла и является своего рода границей между фолликулиновой и лютеиновой фазами.
- Лютеиновая фаза или фаза желтого тела.Все изменения в матке, яичниках да и в организме в целом в эту фазу цикла максимально направлены на поддержание и сохранение возможной беременности. Ведущий гормон этого периода цикла – это прогестерон. Основные функции прогестерона: подготовка матки к внедрению зародыша и сохранение дальнейшей беременности. Его выработкой и занимается желтое тело.Желтое тело возникает после овуляции на месте бывшего фолликула, прорастает густой сетью капилляров и активно выделяет прогестерон. Чаще всего в цикле существует одно желтое тело: в правом или левом яичнике. Однако иногда при одновременной овуляции в обоих яичниках возникают два желтых тела. Если яйцеклетка встретила сперматозоид и произошло оплодотворение, это образование в яичнике будет называться желтое тело беременности. Оно поддерживает основные уровни прогестерона примерно до 16 недель беременности, пока не сформируется плацента. Если беременность не наступила, желтое тело постепенно уменьшается в размерах, деградирует и с началом менструации превращается в небольшой рубец — белое тело яичника.
Как проводится УЗИ?
УЗИ или ультразвуковая диагностика широко применяется в гинекологии и акушерстве. Плановое УЗИ ОМТ (органов малого таза) рекомендуют делать 1 раз в год.
УЗИ матки и придатков можно выполнять трансабдоминальным (датчик ставится на переднюю брюшную стенку низа живота) или трансвагинальным (датчик вводится во влагалище) способами.
Последний метод позволяет получить более качественные изображения и более прост в применении.
Специальной подготовки к исследованию не требуется, однако при трансабдоминальном доступе перед процедурой нужно не мочиться несколько часов.
Это необходимо для создания специального акустического окна, через которое ультразвуковая волна проникает к органам малого таза.
Для траснвагинального УЗИ необходим специальный презерватив или насадка, которые надеваются на датчик, обеспечивая безопасность исследования.
Для визуализации желтого тела УЗИ следует проводить во второй половине цикла. Однако иногда желтое тело можно увидеть и вне лютеиновой фазы. Эта ситуация носит название персистенция (постоянное пребывание) желтого тела.
Временное образование не исчезает с началом менструации, а сохраняется весь последующий цикл, выделяя гормоны. Такое образование легко принять за опухоль яичника, оно требует обязательного контроля в динамике и УЗИ с цветовым допплеровским картированием.
Персистенция желтого тела часто бывает при гормональных нарушениях, нерегулярном менструальном цикле и легко подтверждается несколькими исследованиями в динамике.
Как выглядит желтое тело на УЗИ?
- Неправильной формы, с толстым краем и даже валиком.
- С неровным «фестончатым» краем.
- Находится в яичнике на месте бывшего фолликула. Иногда частично представляет собой сгусток крови, образовавшийся после разрыва фолликула.
- Внутренняя его структура на УЗИ крайне разнообразна, может включать кистозные полости и даже кровоизлияния.
- Кровоток при ЦДК по периферии очень активный. Это неудивительно, ведь временный орган должен хорошо кровоснабжаться для нормальной его работы.
Размеры желтого тела
Диаметры и кровоток желтого тела абсолютно не говорят о его гормональной функции и не отражает уровень прогестерона. Обычно пациентки, особенно беременные женщины, обеспокоены малыми размерами или кистозной деформацией желтого тела.
На УЗИ оно может быть большим или маленьким по сравнению со средними нормами, но главным критерием работы желтого тела является уровень прогестерона в лютеиновой фазе или первом триместре беременности. Недостаточность желтого тела – скорее лабораторный диагноз, чем ультразвуковой.
За свою относительно недолгую жизнь желтое тело проходит три основные фазы:
- Формирования. Эта фаза приходится примерно на 15-18 дни цикла. Желтое тело имеет размеры немного меньшие, чем у овулировавшего фолликула, то есть около 15-20 мм.
- Стадия расцвета занимает 19-23 дни менструального цикла. В этот период желтое тело слегка увеличивается в размерах, появляется толстый гиперэхогенный валик и иногда формируются небольшие кистозные полости. Средние размеры его составляют 25-27 мм.
- Период угасания или деградации приходится на 24-28 дни цикла и заканчивается с началом менструации. В этот период желтое тело уменьшается до 10-15 мм, сосуды в нем исчезают, кистозные полости спадаются.
Желтое тело при беременности
Как уже упоминалось выше, желтое тело является основным «прогестероновым» органом до 15-16 недель беременности.
При нормально протекающей беременности размеры желтого тела обычно соответствуют таковым в период «расцвета».
Кровоток по границам желтого тела очень активен, его ткани имеют крайне разнообразное строение, вплоть до формирования кистозных полостей и собственно кист желтого тела.
При нормальных уровнях прогестерона и отсутствии угрозы прерывания беременности любое строение желтого тела является абсолютной нормой!
Киста желтого тела
Иногда в структуре желтого тела появляются большие (до 7-8 см) полости, заполненные серозной жидкостью или сгустками крови. Эти полости хорошо заметны на УЗИ и называются кистами желтого тела.
Повторим, что киста желтого тела при беременности является нормой при физиологическом ее течении. Более того, любые кисты и образования яичников не рекомендуют оперировать до 16-18 недель беременности, чтобы не повредить прогестерон-секретирующий орган.
Обычно кисты желтого тела не доставляют хлопот пациенткам и часто самостоятельно проходят за несколько менструальных циклов. Иногда пациентки жалуются на боли в правой или левой нижне-боковой области живота, нерегулярный менструальный цикл или ациклические кровянистые выделения.
В редких случаях могут возникнуть следующие осложнения:
- Разрыв кисты желтого тела яичника. Это может происходить самопроизвольно, без видимых причин. Чаще разрыв провоцирующим фактором является травма, бурный половой акт, избыточная физическая нагрузка. Учитывая богатое кровоснабжение желтого тела, это опасно обильным кровотечением в брюшную полость.
- Перекрут кисты желтого тела яичника. Это осложнение чаще происходит с кистами больших размеров и подвижном яичнике по таким же причинам. В этой ситуации «перекрученный» фрагмент кисты плохо кровоснабжается, дает выраженный болевой синдром и может привести к перитониту – воспалению в брюшной полости.
На УЗИ киста желтого тела смотрится достаточно «устрашающе», хотя для жизни и здоровья женщины абсолютно не опасна.
Поскольку полость кисты заполнена свернувшейся кровью и нитями фибрина, структура ее крайне разнообразна и требует тщательной диагностики. Такие кисты даже опытные врачи часто путают со злокачественными опухолями яичника.
Любые образования яичника требуют постоянного контроля, пересмотра на экспертных аппаратах УЗИ, а женщине рекомендуют сдать кровь на маркеры рака яичников.
Именно поэтому недопустима самостоятельная расшифровка результатов УЗИ, а также равнодушное и недобросовестное отношение к рекомендациям по наблюдению за любым образованием яичника.
Источник: http://uziotvet.ru/reproduktivnaya-sistema/zheltoe-telo-na-uzi/
Желтое тело при беременности

В организме женщины ежемесячно совершаются сложные циклические процессы, направленные на созревание яйцеклетки и выход её из яичника.
Именно благодаря им женщина способна зачать и выносить ребенка и ощутить самое большое счастье на свете — радость материнства. Если оплодотворение яйцеклетки не происходит, то она погибает, а у женщины начинается очередная менструация.
Если же беременность наступает, то в организме начинают происходить гормональные изменения, способствующие её сохранению, росту и развитию плода.
Желтое тело как признак беременности
Некоторые женщины ошибочно полагают, что если при проведении ультразвукового исследования у них в яичнике обнаруживают желтое тело, то это является точным признаком беременности. Однако это не так.
На самом деле, желтое тело образуется в яичнике после овуляции, и оно может свидетельствовать только о том, что яйцеклетка созрела и организм женщины готов к возможной беременности. То есть, если желтое тело находится в яичнике, значит беременность вполне возможна.
Ну, а если желтого тела нет, то значит, овуляция в этом менструальном цикле не произошла, и никакой беременности быть не может.
Предположить наличие беременности можно только в том случае, когда за 1 — 2 дня до начала предполагаемой менструации желтое тело хорошо определяется при ультразвуковом исследовании и его размеры не уменьшаются.
Опасности, связанные с желтым телом
Быстрая навигация по статье «Опасности, связанные с желтым телом»:
Размер желтого тела при беременности
Основной задачей желтого тела является выработка гормонов, необходимых для дальнейшего развития беременности. Поэтому на разных сроках оно будет иметь разные размеры.
В первые дни своего возникновения желтое тело имеет диаметр 15 -20 мм. Затем оно увеличивается в размерах до 25 — 27 мм и остается таким примерно до 15 недели беременности.
После чего его функции постепенно прекращаются, а размеры уменьшаются.
У некоторых женщин размер желтого тела при беременности может быть более 30 мм, в этих случаях говорят о кисте желтого тела. Впрочем, для волнений нет причин — эта киста не представляет опасности для здоровья и не нарушает течение беременности, т. к. точно также выделяет прогестерон.
Некоторые будущие мамы пугаются, если при проведении УЗИ врач не обнаруживает у них желтого тела. Но, как правило, проблема совсем не в женщине — чаще всего такое случается при проведении исследования на старом оборудовании, имеющем низкую разрешающую способность, или если УЗИ проводит недостаточно неквалифицированный врач.
Просто повторите процедуру в другом медицинском учреждении.
В любом случае, не стоит переживать и волноваться понапрасну. При возникновении вопросов не стесняйтесь задавать их своему гинекологу и не отказывайтесь от назначаемого им лечения. Оставайтесь рассудительной и спокойной, и тогда ваша беременность пройдет легко и благополучно, и очень скоро вы станете самой счастливой мамой долгожданного малыша!
Благодаря этому к нам заглядывают специалисты и дают ответы на наши вопросы!А еще, вы можете задать свой вопрос ниже. Такие как вы или специалисты дадут ответ.Спасибки ;-)Всем здоровых малышей!
Пс. Мальчиков это тоже касается! Просто девочек тут больше
Gnomik.ru ©
Источник: https://www.gnomik.ru/articles/art-zheltoe-telo-pri-beremennosti/
Желтое тело после овуляции: через сколько образуется, какой размер является нормой, узи, отзывы

Чтобы узнать, как ведет себя желтое тело после овуляции, необходимо разобраться в очередности изменений, происходящих в женском организме.
В ходе менструального цикла происходят значительные изменения. Их стимулируют колебания концентрации гормонов: андрогенов, прогестинов и эстрогенов. Под их влиянием менструальный цикл делится фазы. Они чередуются, плавно перетекая одна в другую:
- Менструальная фаза начинает цикл превращений. В этот период происходит удаление внутренней выстилки матки, не понадобившегося для оплодотворенного в предыдущем цикле плодного яйца. Внешне эта фаза проявляется кровотечением (месячными).
- Пролиферативная или фолликулярная фаза приходит на смену менструальной. В течение данного периода происходит восстановление эндометрия, его подготовка к принятию плодного яйца после зачатия. Доминантный фолликул, несущий яйцеклетку, созревает в одном из яичников. В канале шейки матки происходит секреция шеечной слизи с изменением ее состава.
- Овуляция — самая короткая фаза. Продолжается не более нескольких секунд. За это короткое время созревшая яйцеклетка прорывает оболочки фолликула и вырывается в брюшную полость. Несмотря на малую продолжительность фазы, она очень важна. При ее отсутствии (ановуляторный цикл) становится невыполнимой главная задача — возникновение беременности.
- Секреторная, или лютеиновая фаза включает 2 стадии. Во время первой продолжается подготовка к принятию оплодотворенной яйцеклетки (изменяется скорость биения ресничек половых труб, слизистая матки, образуется желтое тело). Вторая начинается при отсутствии внедрения оплодотворенного яйца в матку. В этот период происходит угасание желтого тела, и подготовка к обновлению в новом цикле.
На какой день после овуляции появляется желтое тело
Фолликул состоит из 3 структур: тека, гранулезных клеток и ооцита, называемого обычно яйцеклеткой. Ооцит покидает яичник. Из фолликула изливается жидкость, и его полость замыкается. Гранулезные клетки начинают развиваться и продуцировать прогестерон, который стимулирует процессы, благоприятствующие развитию беременности.
Этот опустевший фолликул, вырабатывающий гормоны, называется желтым телом из-за высокого содержания лютеина. Т.к. процесс превращения происходит непрерывно, можно сказать, что желтое тело после овуляции возникает сразу же. Выработка гормонов в нем нарастает постепенно, как и размер.
Узнать о существовании этой новой железы можно только по УЗИ и увеличенному количеству прогестерона. Оба эти метода, и инструментальный и лабораторный, подтвердят наличие желтого тела только спустя некоторое время. Оно будет зависеть от чувствительности метода, опыта врача и расположения железы.
Размер желтого тела после овуляции
После прорыва яйцеклетки наружу яичника начинает формироваться желтое тело. Оно претерпевает поэтапные изменения:
- Формирование желтого тела из тека и гранулезных клеток фолликула.
- Изменение кровоснабжения в малом тазу.
- Стадия максимального развития. В этот период выработка прогестерона максимальна.
- Снижение активности (наступает в случае отсутствия беременности).
- Трансформации (в желтое тело беременности или, при отсутствии оплодотворения, в беловатое тело).
Объем желтого тела после наступления овуляции постепенно нарастает. К третьей стадии развития он может составлять 18-20-24 мм. Это полноценная железа, активно продуцирующая гормоны.
Если желтое тело превысило 30 мм. в диаметре, то его принято расценивать как кисту желтого тела.
Норма желтого тела после овуляции
После высвобождения яйцеклетки образуется желтое тело. Его максимальные размеры вначале немного меньше фолликула, из которого оно организовалось (12-15 мм).
Необходимо расценивать появление жёлтого тела после овуляции как ее подтверждение и готовность организма к беременности. Только наличие этой железы в яичнике не может быть признаком свершившегося зачатия.
А вот его отсутствие, установленное грамотным специалистом на хорошем оборудовании, добавляет аргумент в пользу отсутствия выхода зрелой яйцеклетки.
Желтое тело после овуляции на узи
Основным методом контроля протекания процессов в женской половой сфере является УЗИ. Оно позволяет визуально наблюдать этапы трансформации яичников, не прибегая к проникновению в брюшную полость.
На экране УЗ монитора врач видит истинные размеры органов и их структур. Желтое тело, появившееся после овуляции, также визуализируется при помощи УЗИ.
Его размеры (мм) в различных клинических ситуациях будут отличаться:
- 12- 15 Сразу после освобождения яйцеклетки говорит о его наличии. В конце менструального цикла — об отсутствии беременности и обратном развитии желтого тела.
- 18-20-24 Спустя неделю после овуляции сигнализирует о том, что выход яйцеклетки произошел и организм готов к выращиванию плодного яйца (даже если зачатие не произошло).
- 30- 40 Киста желтого тела.
- 20-30 Нормально протекающая беременность.
Вера Орлова, семейный врач, специально для сайта Mirmam.pro
Источник: https://mirmam.pro/planirovanie/ovulyatsiyamenstruatsiya/zheltoe-telo
Что такое желтое тело в гинекологии и для чего оно необходимо? Что означает желтое тело в яичнике

Циклическая работа женского организма обуславливает возможность функционирования репродуктивной системы. На протяжении периода от одной менструации до другой происходят изменения в половых железах.
Яичник формирует доминантный фолликул, откуда впоследствии выходит яйцеклетка.
На месте разорвавшегося фолликула формируется желтое тело – это временная железа, призванная поддержать цикл до следующей менструации или беременность в случае ее наступления.
- Желтое тело в яичнике – что это значит в гинекологии
- Когда образуется желтое тело после овуляции
- Фазы желтого тела
- Размеры ЖТ по дням цикла
- Формирование лютеинового тела после овуляции
- Что такое гравидарное желтое тело
- Как выглядит ЖТ на УЗИ
- Выраженность кровотока желтого тела
Что такое желтое тело в гинекологии
Желтым телом называется временная структура в яичнике, которая состоит из паренхимы красновато-оранжевого оттенка и образуется после выхода яйцеклетки на месте доминантного фолликула. Благодаря желтому пигменту временная железа и получила свое название.
В норме формирование железистого образования начинается сразу после овуляции. Основной функцией образования становится выработка прогестерона и продуцирование незначительного объема эстрогенов. Появляется желтое тело в том яичнике, где произошел выход яйцеклетки. Если процесс овуляции запущен в обеих половых железах, то желтое тело возникает сразу с двух сторон.
Когда образуется желтое тело в яичнике
Желтое тело появится точно в день овуляции. Как только фолликул под действием гормонального фона раскроется и выпустит яйцеклетку, в этот момент начнет формироваться железа временной секреции. Срок функционирования лютеинового участка вариабелен и зависит от зачатия.
Выделения после овуляции, если произошло зачатие
После оплодотворения временная железа сохраняется в яичнике на протяжении нескольких месяцев. На ранних сроках она поддерживает матку в благоприятном состоянии для зачатия.
Как только сформируется плацента, желтое тело начнет рассасываться. Его клетки дегенерируют и на этом участке прорастает соединительная ткань, как у рубца.
При отсутствии зародыша в полости матки железистое образование сохраняется до начала менструации.
Если образовалась лютеиновая киста (желтое тело большого размера с кровоизлиянием), то может отмечаться небольшая задержка МЦ, а само кистозное образование уходит в течение нескольких циклов.
Можно ли забеременеть с кистой желтого тела
Овуляция без образования желтого тела произойти не может. При этом временная железа иногда образуется без разрыва доминантного фолликула.
Фазы желтого тела
Желтое тело постепенно изменяется в течение двух недель после овуляции. Постовуляторное преобразование включает несколько фаз:
- пролиферация – после разрыва фолликула его стенки собираются в складки, где происходит активное увеличение гранулезных клеток;
- васкуляризации – формирование кровотока с прорастанием сосудов в толщу временной железы;
- расцвет – сопровождается максимальной гормональной активностью и характеризуется выраженным кровотоком и разрастанием лимфатических сосудов;
- регресс – если в матке отсутствует плодное яйцо, то временная железа уменьшается, а на ее месте образуется небольшой рубец.
Размер желтого тела после овуляции по дням цикла: таблица
Временная железа образуется на том месте, где произошел разрыв фолликула. Это может быть как правый яичник, так и левый яичник.
Очередность овуляции: какой яичник овулирует чаще
С первых часов после выхода женской гаметы лютеиновое тело растет, достигая своего максимума, а потом при отсутствии беременности претерпевает обратное изменение. Точный его размер показывает УЗИ малого таза. Сопоставление с нормой из таблицы дает основание для оценки функционирования гормонального фона.
Таблица 1. Размер желтого тела по дням
| 1-3 | Сразу после овуляции происходит формирование временной железы | От 12 до 15 мм |
| 4-8 | Состояние говорит о готовности организма к вынашиванию после зачатия (даже если оно не состоялось) | От 18 до 23 мм |
| 9-12 | Киста желтого тела может образоваться как при беременности, так и без нее | От 30 до 40 мм |
| 8-14 | Говорит о естественном функционировании железы временной секреции | От 20 до 30 мм |
В связи с тем, что длина цикла у женщин вариабельна и зависит от продолжительности первой фазы, принято соотносить размеры желтого тела не с днями цикла, а с днями после овуляции.
Что происходит с желтым телом после овуляции
После овуляции эндометрий проходит завершающую подготовку к имплантации эмбриона. За этот процесс отвечает желтое тело, которое начинает расти после освобождения женской гаметы. Дальнейшая судьба железы временной секреции определяется в течение одной недели после овуляции.
- Если наступила беременность, то желтое тело продолжает функционировать. Гравидарное желтое тело поддерживает матку в расслабленном состоянии и не позволяет миометрию активизировать сократительную функцию. Благодаря прогестерону эмбрион прикрепляется и развивается дальше. Через 12-16 недель его функцию на себя возьмет плацента.
- Если беременность не наступила, то железа работает в течение 10-14 дней. Постепенно она претерпевает обратное преобразование и исчезает перед месячными. В следующем цикле процесс повторяется.
- После выкидыша и замершей беременности железа тоже подвергается регрессу. Зачастую беременность прерывается по причине недостаточности лютеиновой фазы, когда желтое тело маленькое и не может выполнять возложенные функции по поддержанию беременности. Если причины выкидыша иные, то желтое тело живет в яичнике в течение 2-8 недель и через время исчезает самостоятельно.
Гравидарное желтое тело
После зачатия и последующей имплантации плодного яйца можно говорить о том, что в яичнике у женщины находится гравидарное желтое тело. Если в этот период сделать тест на беременность, он может еще не показать положительный результат. Однако через 1-2 недели уже будут отмечаться признаки нового положения (УЗИ, тест, анализ крови на ХГЧ).
Таблица роста ХГЧ при беременности
Поддерживая должный уровень прогестерона, лютеиновая железа создает благоприятные условия для прогрессирования беременности. Может случиться так, что размеры желтого тела окажутся недостаточными.
При своевременном выявлении такой ситуации назначают лекарственные гормональные препараты (прогестерон) для поддержки лютеинофой фазы. При прогестероновой недостаточности у женщины может болеть живот и появляться кровянистые выделения, похожие на начало менструации.
При обнаружении таких признаков необходимо срочно обратиться к гинекологу.
Желтое тело в яичнике на УЗИ
Оценить состояние лютеинового тела до овуляции на УЗИ не получится – его еще не существует. Железу можно наблюдать при ультразвуковом исследовании сразу после освобождения яйцеклетки из яичника. В первые несколько часов тело только начинает образовываться, поэтому не всегда удается ее определить. УЗИ лучше делать на 3-4 день после овуляции.
Выглядит на УЗИ желтое тело, как анэхогенное образование. Отсутствие эхогенности обусловлено его содержимым. Внутри находится жидкость, обрамленная ровным контуром без дополнительных камер. Находится желтое тело на поверхности яичника, где ранее располагался доминантный фолликул. Дополнительным показателем функции желтого тела становится толщина эндометрия.
Периферический кровоток
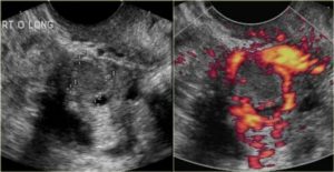
Практика показывает, что чем лучше выражен кровоток в полости желтого тела, тем большее количество поддерживающего гормона оно способно синтезировать.
На УЗИ с исследованием сосудов можно установить, что сила кровообращения в лютеиновом образовании максимальная в сравнении с остальными органами в женском организме. Сосуды выполняют насыщение каждой клетки железы необходимыми жирами и кислотами.
Васкуляризация работает не только на доставку полезных веществ к желтому телу, но и на отведение синтезированных гормонов.
Слабый кровоток в желтом теле при беременности может сопровождаться болью и спазмами в животе. Это состояние требует гормональной поддержки препаратами второй фазы: Дюфастон, Утрожестан, Ипрожин или другими. Недостаточность кровоснабжения также может стать причиной бесплодия.
Рекомендуемые материалы:
Сколько дней должно быть между месячными в норме
Что такое овуляция простыми словами
Почему во время месячных меняется настроение
Боль в сосках при овуляции
Почему болит живот во время овуляции
Что такое старая перезрелая яйцеклетка
Молочница как первый признак беременности
Источник: https://stanumamoy.com.ua/zheltoe-telo/
Что значит желтое тело в правом или левом яичнике на УЗИ: функции, показатели нормы, фазы

На снимках УЗИ желтое тело во время функционирования выглядит неодинаково. Его размер влияет на способность выносить ребенка, подсказывает о причинах бесплодия, развитии гинекологических болезней или эндокринных патологий. При отклонениях от нормы после сонографии женщину обследуют другими методами.
Как выглядит желтое тело на изображениях УЗИ
Желтым телом (ЖТ) называют лютеиновую железу, которая временно образуется в яичнике в опустевшем фолликуле после выхода из него яйцеклетки. Она начинает расти в день овуляции, продуцирует прогестерон. Гормон стимулирует утолщение эндометрия и формирование плаценты.
В гинекологии по размеру желтого тела в яичнике на УЗИ определяют степень готовности матки к вынашиванию ребенка. Если оплодотворения не было, ЖТ регрессирует (уменьшается), окончательно рубцуется через несколько дней. В случае зачатия железа функционирует первый триместр беременности, может остаться до родов или конца периода лактации.
Описание лютеиновой железы на УЗИ:
| Параметры | Эхопризнаки | Как выглядит |
| Внешний вид | Гетерогенное анэхогенное образование | На яичнике округлое темно-серое пятно с черными вкраплениями и единичными белыми точками |
| Структура | Гиперэхогенное образование с крупными зонами низкой плотности (гипо- или анэхогенными очагами) | Серое пятно с большой площадью затемнений. Окрашены черным места скопления крови, локализации сосудов |
| Размер | В норме до 30 мм, при образовании кисты – более 3 см | Диаметр ЖТ сверяют с нормой по фазам желтого тела |
Если диагност выявил два желтых тела или больше, в протоколе УЗИ описывается каждое образование. Растущая и угасающая железа неодинаково выглядит. С началом регрессии она уменьшается, светлеет. Черное пятно без вкраплений – эхопризнак жидкостной кисты.
Какие есть лютеиновые фазы
Цикл ЖТ начинается в овуляционный период. Лютеиновая железа быстро нарастает от стенок фолликула с момента выхода зрелой яйцеклетки. По ее наличию не определяется беременность. На раннем сроке зачатие подтверждают только анализом ХГЧ, на УЗИ яичника плодное яйцо не видно.
Выделяют 3 фазы временной железы:
- формирование + развитие сосудов для кровоснабжения ЖТ;
- секреторная стадия;
- регресс (угасание, перерождение в белое тело).
Вначале оболочка разорванного фолликула смыкается, ускоряется рост оставшихся гранулезных клеток. Они образуют неплотную ткань. Кровеносные сосуды обильно прорастают внутрь железы. Эти две фазы длятся 3–4 суток.
Если на УЗИ не видно в правом и/или левом яичнике желтого тела, это означает, что у женщины нарушен овариальный цикл на фоне гинекологических или эндокринных болезней.
После достижения размера 1.5–2.5 см активно вырабатывается прогестерон в течение 1.5–2 недель. Цикл завершается в последний день перед менструацией. Если яйцеклетка оплодотворилась – секреторная стадия продолжается до 2-го триместра.
Как выглядит железа в овуляторный период
Овуляция приходится ровно на середину менструального цикла. УЗИ делают через пару суток после выхода яйцеклетки и за 0.5–1 неделю до предположительного начала месячных. Под ультразвуком железу не видно во время овуляции – она тонкая. Спустя 2–3 дня ЖТ уже заметно глазу в том яичнике, где лопнул зрелый фолликул.
Нормой считают созревание 1 яйцеклетки за овариальный цикл. Допустимы овуляции и рост желтых тел одновременно в правом и левом придатке или в 1 яичнике. К расстройствам относят образование ЖТ в нелопнувшем фолликуле (диаметр меньше 15 мм, отсутствие регрессии дольше 3 месяцев).
Вы можете посмотреть видео УЗИ, что происходит после овуляции:
Как выглядит железа во время беременности
Желтое тело в норме формируется независимо от оплодотворения яйцеклетки. Но после зачатия в женском организме появляется хорионический гонадотропин человека. Гормон ХГЧ стимулирует рост лютеиновой железы и не позволяет ей регрессировать.
Желтое тело при беременности называют гравидарным ЖТ. После оплодотворения видно анэхогенное (темное) образование размером 2.5–3 см. Регресс начинается после 10-й недели гестации.
Выявление на УЗИ нескольких ЖТ повышает шанс многоплодной беременности. Но количество детей зависит от того, сколько яйцеклеток успело оплодотвориться.
На какой день менструального цикла делают сонографию
Для выяснения функций яичника сонографию придатков делают несколько раз в промежутке между менструациями. Начинают на УЗИ отслеживать созревание лидирующего фолликула после месячных, а рост желтого тела – в постовуляторной фазе.
Сонографию ЖТ проводят:
- через 2 недели от 1-го дня менструации;
- спустя 23 дня от начала менструального цикла;
- в конце 1-го триместра (в случае оплодотворения).
На УЗИ у небеременных женщин желтое тело по размеру одинаковое за 2 дня после овуляции и перед месячными. В этот период ЖТ меньше 15 мм. Между пиком развития и регрессией диаметр равен 18–25 мм. Увеличение до 3 см считается эхопризнаком внематочной или полноценной беременности, более 4 см – симптомом кисты.
Нормальная длительность менструального цикла
У женщин детородного возраста нормальный цикл равен четырем неделям. Не считается отклонением короткий или длинный МЦ в пределах 21–35 дней между менструациями. К нарушениям относят неодинаковую продолжительность циклов у одной пациентки. Сбой графика допускается только в предменопаузальный период после 40 лет.
При исследовании желтого тела учитывается фаза МЦ. УЗИ проводить нецелесообразно девочкам после первой менструации и женщинам во время месячных, до овуляции в период менопаузы.
Как выглядит киста
Диагностируют кисту (жидкостную полость) желтого тела на УЗИ при размере железы больше 3 см с одновременным появлением черного пятна без светлых вкраплений. Это образование на зачатие и беременность не влияет, может само регрессировать (исчезнуть). Женщину наблюдают 3 месяца. В случае быстрого роста кисты начинают лечение.
Жидкостную полость могут обнаружить в левом или в правом яичнике, где нет желтого тела. В этом случае черное пятно в придатке относят к признакам фолликулярной кисты, поликистоза.
Смотрите в видео как выглядит киста желтого тела на УЗИ:
Что означает отсутствие железы
В норме на УЗИ не выявляют лютеиновой железы в правом яичнике, потому что фолликул созрел в левом придатке (и наоборот). Отсутствие желтого тела в обеих гонадах относится к признакам ановуляторного цикла, дисфункции гипофиза. В этом месяце женщина забеременеть не сможет, поскольку нет созревшей яйцеклетки.
Желтое тело видно на УЗИ в промежутке между овуляцией и месячными следующего цикла. Размер ЖТ в рамках 18–25 мм означает, что матка готова к имплантации плодного яйца и вынашиванию ребенка.
Обнаружить железу не могут из-за устаревшего аппарата, неопытности диагноста, наличия болезни. Если ее не видно, делают контрольное УЗИ на другом сонографе.
При отсутствии ЖТ женщину дообследуют и назначают лечение.
В дополнение смотрите обзор доктора на тему нарушений цикла:
Источник: https://uziman.ru/mochepolovaya/na-uzi-zheltoe-telo
