Разноцветный лишай у человека: причины, симптомы и лечение (2020)

Что такое разноцветный лишай у человека? Это дерматологическое заболевание, при котором поражается исключительно верхний (роговой) слой кожи. «Пляжная болезнь», отрубевидный лишай или солнечный грибок – одно и то же название этого явления.
При заболевании воспалительные симптомы практически отсутствуют, а сама болезнь считается почти незаразной. Что же нужно знать о разноцветном лишае?
Что такое разноцветный лишай у человека?
Возбудителем разноцветного лишая является микроскопический гриб Pityrpsporum orbiculare (другое его название Malassezia furfur). При попадании на верхний слой эпидермиса, споры размещаются в устьях фолликулов.
Если рассмотреть их более подробно под микроскопом кожу, то можно заметить, что они имеют вид толстых и изогнутых нитей, а также небольших гроздьев спор круглой формы.
Принято считать, что одним из первых признаков заболевания разноцветного лишая является усиленная потливость (необходимо изучить биохимический состав пота), а также шелушения верхнего слоя эпидермиса. У некоторых людей может быть естественная предрасположенность к отрубевидному лишаю.
Заболевание разноцветный лишай может поражать не только кожу, но также волосяные луковицы и ногтевые пластины. Споры грибка могут находиться в организме продолжительное время и активизироваться тогда, когда для них наступит благоприятный период.
Существует ошибочное мнение, что этим видом лишая часто страдают люди, которые болели или болеют туберкулёзом. Примечательно, что солнечный грибок часто встречается именно у молодых людей. Пожилые люди и маленькие дети заболевают им крайне редко, особенно это касается малышей в возрастной категории до 7 лет.
Группу риска составляют те, которые имеют пониженный иммунитет, болеют сахарным диабетом, вегетоневрозом, а также туберкулёзом. Прослеживается связь с усиленной потливостью в подростковом возрасте, или до его начала.
Период развития цветного лишая проходит волнообразно, он то затихает, то начинает стремительно развиваться. Особенно опасные периоды – конец весны, лето и начало осени, когда температура остаётся стабильно высокой, как и влажность воздуха.
10 основных причин лишая
Разноцветный лишай не несёт серьёзной угрозы здоровью, однако его видимые проявления могут доставлять заболевшему физиологический и психологический дискомфорт. Не говоря уже о неэстетичном внешнем виде эпидермиса.
Почему лишай называется цветным? Во время развития пятна, которые вызваны жизнедеятельностью грибка, меняют свой цвет (начиная от жёлтого, розового до коричневого, красного). Поэтому лишай стали называть «цветным».
Пораженные хлопья короткие, толстые, изогнутые, могут образовывать кластеры.
Как передается лишай, возможно ли заражение от человека к человеку? Об этом ниже.
Места усиленного риска, в которых можно заразиться:
- общественные бани, бассейны, сауны;
- неухоженные пляжи, а также места отдыха;
- раздевалки, примерочные кабинки.
Инкубационный период «пляжной болезни» составляет в среднем от 2 недель до нескольких месяцев. Для человека это, как правило, проходит совершенно незаметно.
Среди наиболее частых причин появления разноцветного лишая выделяют:
- Индивидуальная предрасположенность к этому неприятному заболеванию.
- Повышенная потливость (гипергидроз).
- Выделение избыточного количества кожного сала.
- Заболевания эндокринной системы.
- Пониженная иммунная защита организма.
- Вегетососудистая дистония.
- Период заболевания туберкулёзом (лёгких, почек, мочеполовых органов, костной ткани).
- Протекание инфекционных заболеваний.
- Если пациент подвержен заболеваниям желудочно-кишечного тракта, печени.
- Сбой гормонального фона, особенно у женщин во время гинекологических заболеваний, менопаузы, вынашивания плода.
Симптомы проявления
Разноцветный лишай протекает практически бессимптомно, поэтому необходимо вовремя его обнаружить и начать лечение. Ниже приведены симптомы заболевания солнечным грибком:
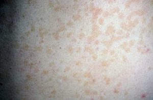
- Образование на верхнем (роговом) слое эпидермиса ассиметричных пятен жёлтого, розового или коричневого цвета. Со временем они увеличиваются и занимают всё большую площадь кожи. Чаще всего располагаются на уровне груди или спины, реже – на шее, лице, животе, боках, плечах и предплечьях. В некоторых случаях могут образоваться даже на волосистой части кожи головы.
- Со временем пятна становятся светло-коричневого цвета. Они плоские, новообразований нет.
- Могут вообще не беспокоить заболевшего на разноцветный лишай человека. В некоторых случаях начинают сильно чесаться.
- Характерный признак – постоянное шелушение поражённой грибком кожи (легко выявляется при соскабливании).
В подростковом возрасте обширность появления пятен может быть очень большой – в области подмышек, на спине, животе, на руках и ногах, на голове и т. д.
3 метода диагностики «пляжной болезни»
Разноцветный лишай очень просто выявить и начать эффективное лечение заболевания. В некоторых случаях используют дополнительные методы диагностики:
- Йодная проба Бальцера. Эпидермис смазывается 5% раствором йода на базе спирта. Обрабатываются поражённые лишаём участки. В локациях, где эпидермис более рыхлый, появляется интенсивная окраска. В некоторых случаях вместо спиртового раствора йода могут использовать раствор красителей на базе анилина.
- «Феномен стружки» (или симптом Бенье). Для начала отскабливаются шелушения с поражённого участка кожи, после чего ищут заражённые участки при помощи специального «фильтра Вуда». Диагностика должна проводиться в тёмной комнате, чтобы различить флуоресцентный окрас пятен солнечного грибка (коричневый, красноватый или желтоватый).
- Биохимический анализ. При помощи соскоба можно обнаружить споры микроскопического грибка в верхнем слое биологической ткани. Полученный образец обрабатывается при помощи раствора едкой щёлочи.
Если у вас появились вышеописанные симптомы, то не стоит затягивать с походом к дерматологу. Своевременное диагностирование (даже бессимптомных случаев) поможет обнаружить очаги заболевания разноцветного лишая, подтвердит диагноз. После лечения образуется ложная (вторичная) лейкодерма.
Этот вид лишая иногда путают со следующими заболеваниями:
- Розеолой сифилитической. Образование на коже розового цвета, которое при несильном надавливании исчезает.
- Розовым лишаём. Появление пятен розоватого оттенка, которые локализуются на эпидермисе вдоль линий натяжения Лангера. Особая примета – они имеют слегка удлинённую форму (в некоторых случаях ромбовидную), а по центру пятна обычно интенсивно шелушатся.
- Лейкодермой сифилитической. Появление белесых пятен, которые располагаются на коже в форме кружевной сеточки. Место локализации – шея, область подмышек, бока.
Вопрос — ответ
Категорически запрещается самостоятельно лечить проявления солнечного лишая (как первичные, так и вторичные). Самостоятельно точно выявить разноцветный лишай невозможно, как и назначить правильное лечение.
Это может только усугубить ситуацию, а также вызвать многочисленные рецидивы. Только квалифицированный врач сможет подобрать препараты и процедуры оптимальным образом, чтобы симптомы разноцветного лишая прекратились, а возбудитель был уничтожен.
Существует множество вариантов избавления от подобной проблемы. Одна из самых распространённых схем – лечение при помощи медицинских препаратов (например, жидкости Андреасяна, раствора салицилово-резорцинового спирта, специальной мази на основе серы, микозолона и пр.).
Не рекомендуется лечение симптомов разноцветного лишая народными средствами в домашних условиях.
Лечение проходит быстро – от 3 до 7 дней (в зависимости от степени «запущенности» проблемы и масштабов локализации грибка). После окончания курса лечения пациенту обычно назначают ванны с мылом и жёсткой мочалкой.
Суть лечения заключается в том, что с кожи удаляется шелушение, которое содержит в себе споры микроскопического грибка. Для того чтобы лишай не вернулся, во избежание повторных рецидивов, кожу нужно время от времени обрабатывать антигрибковыми препаратами и тщательно скрабировать.
К другим средствам лечения грибка относят специальные гели, шампуни, крема и лосьоны, которые содержат в себе салициловый спирт и лекарственные травяные экстракты. Может помочь озонотерапия.
Пользоваться ими надо от 2 до 3 курсов, делая небольшие перерывы. Обычно длительность курса составляет 2 недели. Пользоваться лечебной косметикой рекомендуется от 2 до 3 раз в сутки.
В некоторых случаях пациенту рекомендуется принимать противогрибковые таблетки.
Во время лечения лишая на теле необходимо следить не только за чистотой, но и гигиеничностью жилого помещения.
Раз в сутки нужно проводить тщательную влажную уборку, а также проветривание комнат. Постельное, нательное бельё нужно замачивать в кипятке, после чего уже простирывать как обычно.
В некоторых случаях после лечения на коже может образоваться псевдолейкодерма. Для её устранения доктор может порекомендовать процедуры с использованием излучения при помощи ультрафиолета.
Также существуют альтернативные схемы лечения, которые считаются самыми эффективными и современными. При этом вероятность повторного рецидива заражения сводится к абсолютному минимуму.
К таким схемам относится этиотропная терапия. Суть её заключается в том, что возбудитель-грибок полностью уничтожается.
Антигрибковый препарат накапливается в верхнем слое эпидермиса, и подавляет жизнедеятельность возбудителя. При этом процесс естественного обновления кожи приостановится.
Профилактика грибка (рекомендации экспертов)
Несмотря на то, что заболевание этим видом лишая считается практически не заразным, все члены семьи пациента подлежат обследованию у врача-дерматолога. Также это касается тех лиц, которые находились с больным в тесном контакте.
Диагностика проводится при помощи специальной люминесцентной лампы (см. виды диагностики выше).
Для профилактики появления солнечного грибка на коже рекомендуется носить одежду только из натуральной гигроскопичной ткани (особенно это касается нижнего белья). Не стоит забывать о тщательной гигиене эпидермальных покровов, нужно принимать частые ванны с мылом и жёсткой мочалкой.
Раз в 7 дней также можно смазывать кожу обычным аптечным салициловым спиртом. При появлении первых признаков повышенной потливости, в некоторых случаях – зуда, стоит немедленно обратиться за консультацией к врачу.
Ниже приведены некоторые рекомендации по предотвращению заражения грибком:
- Избегайте неухоженных грязных пляжей.
- Если вы посещаете общественные бассейны, водоёмы, сауны, бани, то не забывайте во время купания тщательно мыть кожу мочалкой и мылом.
- После купания дайте своей коже подсохнуть, и только после этого начинайте загорать на солнце.
- Обязательно используйте солнцезащитные средства для лица и тела. Причём покупать их лучше в проверенных аптеках.
- Не давайте никому пользоваться своими личными гигиеническими принадлежностями – банным полотенцем, а также полотенцами для лица и ног. Подвергайте эти вещи частой стирке. Сами также не пользуйтесь чужими принадлежностями.
- После занятий спортом, активности на природе принимайте гигиенический душ или ванну.
Хорошим методом профилактики также считается усиление иммунной защиты организма. Начните закаляться, принимайте ванны с морской солью и периодически смазывайте кожу растворами салицилового спирта или уксуса.
практикующий косметолог
Разноцветный лишай замечательно лечится, но не стоит проводить лечение самостоятельно. Для успешной терапии нужны определенные медикаменты, мази. В некоторых случаях борьба с недугом затягивается до 2-3 месяцев. Помимо этого, болезнь способна обостриться снова.
пластический хирург
При таком виде лишая часто назначаются такие мази, как Бифоназол, Клотримазол. Помимо этого, полезно осуществлять протирание кожного покрова салициловым раствором, в который добавляется ромашка.
В итоге происходит отшелушивание поверхности эпидермы, где находятся грибковые споры. Также часто используется спрей Ламизил, который отлично борется с грибковыми поражениями.
Не стоит недооценивать и народные методы, так как различные примочки, например, из зверобоя, хорошо себя зарекомендовали.
Всегда старайтесь соблюдать элементарные правила гигиены и ухода за своим телом – это поможет избежать неприятного заболевания. Стоит посмотреть фото разноцветного лишая у человека, чтобы увидеть его симптомы, почитать о схеме лечения.
Но не стоит заниматься самолечением, так как это может не только не устранить проблему, но и усугубить её. При первых проявлениях обязательно сходите к врачу-дерматологу на консультацию.
Источник: https://plastichno.com/cosmetology/raznotsvetnyj-lishaj
Разноцветный лишай у человека: 6 фото, лечение, причины, симптомы

Разноцветный лишай – хроническое заболевание верхних слоев дермы у человека, вызванное грибками. Разноцветный лишай это разновидность отрубевидного лишая. Грибки, которые вызывают данное заболевание, все время обитают на коже человека, но вызвать их патогенную активность может ряд факторов.
Заболеванию в основном подвержены люди молодого возраста, разноцветный лишай очень редко появляется у детей, и никогда у людей преклонного возраста, связано это с возрастными особенностями кожи.
Этот вид лишая заразен, но если у человека нормальный уровень иммунитета, то организм сможет контролировать развитие грибков, и заболевание не проявиться.
Причины разноцветного лишая
Существует ряд факторов, которые в совокупности со сниженным иммунитетом могут стать причинами развития заболевания.
Внешние факторы:
- Жаркое время года, тропический климат, частые перегревы, частое посещение солярия – высокие температуры являются благоприятной средой для развития грибковых инфекций;
- Ношение одежды из синтетических тканей;
- Злоупотребление антибактериальными средствами, средствами по усилению загара, использование бытовой химии без перчаток – все это снижает барьерные функции кожи;
- Прием антибиотиков и других сильных препаратов;
- Контакт с инфицированным человеком, использование чужих личных предметов (полотенце, мочалка, нательное бельё);
- Пренебрежение правил личной гигиены;
Внутренние факторы:
- Хронические заболевания;
- Повышенная потливость (гипергидроз);
- Гормональный дисбаланс – беременность, климакс;
- Аутоиммунные и эндокринные заболевания;
- Наследственность.
Наличие этих факторов не обязательно является причиной разноцветного лишая, но в совокупности со сниженным уровнем иммунитета, повышает риск развития недуга.
Узнать подробнее
Симптомы разноцветного лишая
Вне зависимости от вида и формы разноцветного лишая, заболевание имеет характерные симптомы:
- Образование на теле человека разноцветных пятен (поэтому заболевание имеет несколько названий: разноцветный, солнечный, цветной).
- Кожа, пораженная разноцветным лишаем сильно шелушиться.
- Может быть зуд, который не приносит особого дискомфорта.
Различают виды разноцветного лишая: желтый, черный, бесцветный. Кроме видов, разноцветный лишай может отличаться формами, они зависят от места расположения пятен и степени протекания заболевания:
- Эритематосквамозная форма – не имеет воспалительного процесса, пятна могут располагаться на любом участке тела.
- Фолликулярная форма – очаги могут воспаляться, вызывая болезненные ощущения, зуд. Образуются гнойнички не больших размеров в устьях корней волос. Зачастую возникает у людей на фоне приема сильных лекарственных препаратов, или при наличии острых заболеваний.
- Инвертная форма – пятна проявляются на естественных складках кожи (подмышечные впадины, паховая область).
Виды и формы разноцветного лишая не влияют на схему лечения. Заболевание начинается с появления нескольких пятен, которые отличаются от остальной кожи, пятна могут иметь овальную или ромбовидную форму, четкого края не имеют, над уровнем остальной кожи не выделяются.
С течением болезни образуется еще больше пятен, которые сливаясь между собой, поражают большие участки тела, кожа на пораженных местах не загорает, связано это с влиянием патогенных грибков на работу меланоцитов.
Располагаются очаги хаотично, в местах повышенного потоотделения и на верхней части тела, разноцветный лишай никогда не поражает ступни и ладони.
Разноцветный лишай не имеет таких признаков как жжение, боль или сильный зуд, появление таких симптомов говорит о присоединение инфекции, занести ее достаточно легко, т.к. кожа при данном заболевании теряет свои защитные свойства и становиться уязвимой.
Инкубационный период (время от инфицирования до проявления первых признаков болезни) заболевания от недели до трех месяцев.
Разноцветный лишай хроническое заболевание и имеет склонность к рецидивам.
С признаками и симптомами разноцветного лишая вы можете ознакомиться в разделе фото.
Лечение разноцветного лишая
Несмотря на то, что данный вид лишая вызывает лишь эстетический дискомфорт, следует посетить специалиста, потому что разноцветный лишай имеет схожую симптоматику с другими кожными патологиями – витилиго, розеола, розовый лишай и др. При визите к врачу, для постановки верного диагноза назначается диагностика:
- Лабораторные исследования – общий анализ мочи, кала и крови. Для выявления иных заболеваний и глистных инвазий, по мнению специалистов, гельминты могут стать причиной развития дерматологических заболеваний.
- Микроскопическое исследование – делают соскоб чешуек отделяемой кожи.
- Симптом Бенье – кожу на пораженном участке соскабливают, если чешуйки свободно отделяются — это свидетельствует о наличии лишая (симптом стружки);
- Лампа Вуда – при наличии лишая кожа под лампой примет характерный оттенок;
- Проба Бальзера – проводиться с применением спирта и йода, при нанесении йода, очаги пораженные лишаем изменят цвет;
На основании исследований и результатов анализов, дерматолог подтвердит диагноз и назначит подходящее лечение с учетом особенностей организма.
При игнорировании заболевания существует риск перехода лишая в хроническую форму, площадь поражения кожных покровов увеличивается, возникают гнойные патологии, что может привести к возникновению экземы.
После полного выздоровления от разноцветного лишая, возможно изменение оттенка кожи на бывших местах очагов (депигментация), со временем цвет кожи выравнивается, ускорить этот процесс может загар.
Лечение разноцветного лишая в домашних условиях (народными средствами)
Лечение разноцветного лишая проводиться в домашних условиях, стационарного наблюдения и постоянного контроля врача не требуется.
Существуют методы народной (альтернативной) медицины, применятся они могут как дополнение к основному медикаментозному лечению или беременными женщинами.
Разноцветный лишай может появиться у будущей мамы на фоне гормональной перестройки организма, заболевание не несет опасности для женщины или плода, но имеет нелицеприятный вид, прием многих препаратов не возможен во время беременности, из-за опасности развития патологий у плода.
Народные способы лечения разноцветного лишая:
- Березовый деготь – распространенное средство при лечении многих дерматологических заболеваний, входит в состав мази Вишневского. Имеет противовоспалительный, антисептический и подсушивающий эффект. Зачастую применяется в виде мыла, при выборе бруска стоит обращать внимание на цвет, чем темнее оттенок, тем выше его лечебные свойства.
- Борная кислота – обладает бактерицидным и антисептическим действием. Применять борную кислоту следует с аккуратностью.
- Чистотел – применяется в виде отвара или примочек. Популярное средство в лечении кожных заболеваний, имеет множество положительных отзывов. Обладает ранозаживляющими, противоопухолевыми свойствами.
- Календула – применяется в педиатрии и косметологии, оказывает успокаивающие действие на кожу, снимает зуд и отечность тканей.
- Эвкалипт – имеет антибактериальное и дезинфицирующее действие. На его основе изготавливают масло, распространено в косметологии.
Существует несколько малоэффективных способов, которые могут нанести вред здоровью – применение золы, лука, чеснока, уксуса, лимонной кислоты, данные средства могут образовать ожог и усилить болезненные ощущения, относитесь с осторожностью к таким советам.
Способы народной медицины не в силах пагубно влиять на инфекции и грибки, фитотерапия снимает лишь симптомы. Перед применением народных способов стоит обсудить их с лечащим врачом.
Лечение разноцветного лишая медикаментозными средствами
Лечение разноцветного лишая у человека подразумевает комплексный подход, основное воздействие направленно на угнетение грибков. Основное лечение обеспечивается приемом:
- Таблетки – помимо противогрибковых препаратов могут быть назначены витаминные комплексы и иммуномодуляторы для повышения иммунитета, антигистаминные препараты – при сильном зуде.
- Мази, крема – для местного воздействия на грибки, а так же мази, нацеленные на регенерацию тканей.
- Растворы – наружная обработка мест поражений перед наложением мазей.
- Шампуни, лосьоны – как дополнение к лечению и в целях профилактики.
При тяжелом течении заболевания могут быть назначены антибиотики и препараты для нормализации функционирования клеток дермы. Длительность лечения составляет две-три недели, ежедневно кожа обрабатывается растворами и мазями, таблетки применяются по схеме прописанной врачом.
Важно продолжать лечение до конца, что бы избежать повторного появления заболевания. Своевременное посещение врача позволит быстро избавиться от заболевания, снизит риск рецидива. Самостоятельный прием лекарственных препаратов не допустим.
Профилактика разноцветного лишая
Соблюдение простых профилактических мер позволит быстрее вылечить разноцветный лишай:
- После купания в открытых водоемах (море, озеро, речка) вытирать кожу насухо перед принятием солнечных ванн, загорать на подстилке;
- Ограничить применение средств по усилению загара и антибактериальных средств;
- При наличии гипергидроза, принять меры для его устранения;
- Поддерживать иммунитет – после перенесения ОРЗ, ОРВИ и в осенне-весенний период, практиковать закаливание;
- Не запускать хронические заболевания;
- Носить одежду из натуральных тканей, свободного покроя;
- Вести здоровый образ жизни, отказаться от вредных привычек;
- Не пользоваться чужими предметами личной гигиены;
- После контакта с инфицированным человеком принять душ с применением противогрибковых шампуней, одежду постирать в горячей мыльной воде;
- Подбирать косметику по уходу за кожей подходящую для вашего типа кожи;
- Использовать средства защиты от воздействия солнечных лучей;
Вышеприведенные советы помогут не только быстро избавиться от заболевания, но и уберечь себя от развития разноцветного лишая.
Источник: https://www.dermatit.net/lishaj/raznotsvetnyj-lishaj-u-cheloveka/
Цветной лишай на теле у человека: фото, симптомы, лечение

Цветной лишай – поражение кожи грибкового характера, проявляющееся пятнами на теле. Заболевание также называют солнечным грибком или отрубевидным лишаем.
Кожные покровы страдают от паразита и беспокоят человека только характерными пятнами, а не зудом, как при других видах грибков.
В группу риска попадают мужчины и женщины со сниженным иммунитетом, имеющие предрасположенность к заболеванию.
Определение проблемы
Дерматолог диагностирует разноцветный лишай по особенностям пятен.
Он выглядит по-разному: образования могут располагаться на любом участке тела, но чаще всего локализуются на боковых частях туловища, груди и плечах. Длительность лечения может затягиваться из-за способности грибов к образованию защиты к применяемым лекарствам.
Цветной лишай на теле
В редких случаях цветной лишай появляется на лице. Обнаружить наличие цветного лишая в волосистой зоне головы можно с помощью специального прибора.
Заразность заболевания минимальна, случаи заражения между людьми достаточно редки. Грибок может жить только на коже человека, поэтому от животных или использования чужих вещей заразиться нельзя.
Цветной лишай: причины возникновения
На сегодняшний день точная причина возникновения цветного лишая дерматологами не установлена, как и тот вопрос, он заразен или нет. Известны лишь факторы, влияющие на активность заболевания.
Основные причины и болезни, провоцирующие появление цветных пятен:
- резкое снижение иммунитета;
- туберкулез;
- себорея;
- хронические болезни легких;
- сахарный диабет.
Так как пятнистый лишай провоцирует сильная потливость, он часто встречается у людей, страдающих гипергидрозом. В этом случае пятна располагаются в зонах активного выделения пота.
Индивидуальная предрасположенность человека к грибку рода Pityrpsporum orbiculare в совокупности с особенностями работы организма могут спровоцировать возникновение лишая. Заболеванию способствуют особый химический состав пота, нарушение функционирования клеток эпидермиса, общее ослабление организма различными проблемами и неврозами.
Дополнительные факторы, приводящие к развитию разноцветного лишая:
- хроническая усталость, недосып; разноцветный лишай
- длительный стресс;
- смена климата;
- недостаток витаминов;
- бессистемное применение средств личной гигиены;
- одежда из синтетики;
- использование синтетического постельного белья;
- ионизирующее излучение;
- долгое употребление кортикостероидов.
В случае контактного заражения инкубационный период болезни может длиться от двух недель до полугода.
Признаки заболевания (симптомы)
Определить наличие грибка можно только у специалиста. Однако предположить появление грибкового поражения можно по наличию на коже розовых, коричневых или желтоватых пятен. Образования имеют неровные края и асимметричную форму.
У каждого отдельного пациента месторасположение, объем поражения, цвет пятен будут отличаться. Размер пятен в начальной стадии может быть до одного сантиметра в диаметре. По мере распространения заболевания пятна начинают увеличиваться в размерах и соединяться в одно.
Также меняется и форма пятен: она становится овальная или ромбовидная, с активным шелушением в центре.
Чаще всего пятна располагаются на грудной клетке, плечах, шее и животе. У подростков цветущий лишай может обнаружиться на ногах и руках.
При цветном лишае пятна появляются на теле в хаотичном порядке. Чтобы не перепутать пятна солнечного лишая с розовым, диагностику должен проводить специалист. Часто данные виды грибкового поражения похожи из-за одинаковой симптоматики – в некоторых случаях пятна цветного лишая имеют розовый оттенок.
Как выглядит цветной лишай: фото
Чтобы точно определить вид заболевания, специалист наносит на здоровые и зараженные участки тела пятипроцентную настойку йода. Грибы рода Pityposporum окрашиваются сильнее, чем на здоровой зоне.
Данная диагностика называется пробой Бальцера и помогает врачам поставить диагноз без соскоба.
В очагах поражения при цветном лишаеотсутствуют зуд и болевые ощущения. Определить цветной лишай можно по шелушению кожи на пораженных местах после смачивания их водой.
Для дополнительной проверки дерматолог может осмотреть пятна под специальной лампой. Под светом лампы Вуда пятна цветного лишая будут иметь желтоватый оттенок.
Лампа Вуда в действии при обнаружении лишая
Эффективнее всего определяет заболевание соскоб.
Для этого в местах локализации пятен соскабливают чешуйки кожи, которые затем отправляются на микроскопическое исследование. Подтвердив у человека симптомы, лечение начинается незамедлительно.
Дополнительные симптомы цветного лишая:
- в пораженной зоне наблюдается повышенное потоотделение;
- из-за нарушения синтеза меланина на участки с пятнами не ложится загар;
- шелушение меняет интенсивность от слабого к сильному;
- пятна светлеют под ультрафиолетом и темнеют в холодный период года;
- лишайные образования сливаются с кожей, редко выступая над поверхностью.
Последствия заболевания
Наличие цветного лишая не приводит к опасным осложнениям и не вредит здоровью. Прочие виды грибка могут затрагивать и негативно влиять на внутренние органы и системы человека.
Единственная неприятность, которая может быть вызвана лишаем – расчесывание пятен может вызвать воспаление и нагноение кожи.
Если постоянно трогать пятна, смачивать их водой или повреждать кожу в воспаленной зоне, это может вызвать возникновение себорейной экземы и других подобных заболеваний эпидермиса.
После того, как пациенту удалось вылечить цветной лишай, на коже долго держатся пигментные пятна белого цвета. Они постепенно сравниваются с тоном кожи под воздействием ультрафиолетового излучения.
:
Помимо нарушения эстетичного вида кожного покрова, цветной лишай может привести к социальным проблемам. Стресс и боязнь появления в общественных местах приводят к неврозам, бессоннице, потере трудоспособности. Если не задумываться о том, как лечить лишай, это может вызвать рецидив.
Способы лечения цветного лишая
Лечение образований проводится в домашних условиях. Исключения составляют редкие случаи развития осложнений, когда к грибку присоединяется бактериальная инфекция.
Комплекс мер, направленных на борьбу с цветным лишаем, включает в себя местные и системные препараты (мази и таблетки). Одна мазь от лишая не подействует в полной мере, так как наружное средство не может проникнуть глубоко под кожу и уничтожить главного возбудителя болезни.
Помимо приема лекарств и обработки зараженного участка кожи, для уничтожения грибка нужно:
- соблюдать диету, исключающую употребление жареной и жирной пищи, алкогольных напитков, дрожжевого хлеба, сладких блюд и кваса;
- принимать солнечные ванны (при условии, что лечение проходит в теплое время года);
- тщательно соблюдать гигиену тела;
- продезинфицировать квартиру, одежду, постельное белье и бытовые вещи больного.
При цветном лишае средней тяжести врач назначает системные антимикотики, которые предотвращают рецидив и максимально сокращают срок лечения. Препараты требуется принимать несколько дней.
К этим лекарствам относятся:
- Ламизил;
- Флуконазол;
- Клотримазол;
- Тербинафин и другие.
Запущенная форма заболевания трудно поддается лечению и часто провоцирует рецидив. Поэтому меры в этом случае будут более жесткими, понадобится лекарство Неотигасон, который нормализует функционирование клеток эпидермиса.
Если пятна поразили большую площадь кожи, не миновать сильной пигментации. В этом случае после базового курса лечения дерматолог пропишет препарат, который будет регулировать синтез пигментов кожи и восстанавливать цвет.
Так как в большинстве случаев грибковое поражение вызвано снижением иммунитета, параллельно с основным лечением врач может выписать препараты для повышения сопротивляемости организма. Это настойка эхинацеи, Иммунал, Левзеи и различные комплексы витаминов и минералов.
Наружная обработка пораженных участков проводится регулярно на протяжении двух-трех недель:
- протирание и аппликации зоны с грибком салициловым спиртом;
- покрытие участков серной мазью;
- обработка области, охваченной лишаем, противогрибковыми средствами в виде растворов, лосьонов, спреев;
- замена обычного шампуня на время лечения шампунем «Низорал» для гигиены тела.
Наружное применение средств показано до полного исчезновения элементов лишая.
Народные методы лечения
Дополнительно может использоваться лечение проверенными народными средствами:
- Борная кислота в количестве 10 г смешивается со стаканом кипятка. После остывания раствора им нужно обрабатывать кожу несколько раз в день с помощью ватного тампона.
Борная кислота
- Отвар чистотела: столовая ложка измельченных стеблей растения добавляется к двум стаканам кипятка. Настаивать средство нужно 15-20 минут. Остывшую массу прикладывают к грибковым пятнам два раза в день.
- Смесь череды и эвкалипта — в количестве две столовые ложки заливается кипятком и настаивается полчаса на водяной бане. Этот комбинированный раствор используют перед сном.
Четкое следование инструкциям врача поможет быстро избавиться от пятен на теле и забыть о цветном лишае навсегда. В профилактических целях рекомендуется пользоваться лечебными шампунями или лосьонами против грибка один раз в неделю. К мерам профилактики стоит добавить контроль потоотделения, своевременную гигиену тела.
Народные методы лечения: видео
Рекомендуется реже находиться в плохо проветриваемых помещениях, избегать стрессов, тяжелого физического труда и носить одежду из натуральных материалов.
Источник: https://ZdorovKozha.com/lishaj/tsvetnoj-lishaj
Отрубевидный, или разноцветный лишай — советы врача

Отрубевидный лишай (синоним — разноцветный лишай) – это грибковое поражение поверхностного рогового слоя кожи (эпидермиса) у человека.Латинское название: Pityriasis versicolor Код по МКБ10: B36.0
Другие синонимы: лишай желтый, лишай разноцветный, солнечный грибок, солнечный или пляжный лишай.
Лечение отрубевидного лишая – у дерматолога.
На фото: отрубевидный лишай на животе
На фото: отрубевидный лишай на спине
Причины
Единственная причина возникновения отрубевидного лишая у человека — дрожжеподобный грибок Pityrosporum (то есть он похож на дрожжевые грибки).
Этот возбудитель имеет три формы: Malassezia furfur (мицелиальная форма), Pityrosporum orbiculare (округлая форма) и Pityrosporum ovale (овальная форма грибка).
В норме у человека в коже могут находиться Pityrosporum orbiculare и Pityrosporum ovale, но лишай они не вызывают. Как только эти формы грибка переходят в форму Malassezia furfur, у человека развивается разноцветный лишай.
Заболевание хроническое, часто возникают рецидивы.
Контагиозность (то есть заразность) низкая. То есть грибок, конечно, передается от человека к человеку. Но заразиться от больного отрубевидным лишаем вам вряд ли удастся. Ведь с вероятностью 90% этот возбудитель есть у каждого человека на Земле.
Кроме главной причины, выделяют предрасполагающие факторы, которые способствуют развитию грибка в коже человека:
- сахарный диабет и другие эндокринные заболевания,
- ВИЧ и иммунодефицит в результате лечения рака крови,
- повышенная потливость тела человека,
- стрессы,
- наследственная предрасположенность, особенный состав пота и избыток кожного сала,
- заболевания органов ЖКТ,
- в целом – снижение иммунитета, который призван бороться с грибком.
Симптомы
На фото: белые пятна на коже спины
На голове
Если отрубевидный лишай располагается на волосистой части головы, это называется себореей, или перхотью.
Диагностика
Диагноз отрубевидного лишая у человека ставится на основании:
1) Основных симптомов: пятна на коже разного цвета, сливающиеся в конгломераты.
2) Отрубевидное шелушение пятен.
3) Пятна без воспаления.
4) Диагностика под микроскопом – главный инструментальный метод диагностики разноцветного лишая. Соскабливают отшелушенные частички кожи с поверхности пятен, обрабатывают калиевой щелочью и смотрят под микроскопом. Видны как сами грибы, так и их мицелий.
Как выглядит отрубевидный лишай под лампой Вуда
6) Йодная проба, или проба Бальцера – важный диагностический симптом. Ее можно провести в домашних условиях и если не поставить, то заподозрить диагноз разноцветного лишая самому.
Берут настойку йода, смазывают пятна и окружающую здоровую кожу. Через несколько секунд протирают, чтобы не было капель йода на коже.
Здоровая кожа становится желтоватой, а пятна отрубевидного лишая избыточно впитывают йод и становятся коричневыми.
7) Симптом Бенье, или муковидное шелушение. При поскабливании очагов поражения кожи, например предметным стеклом или скальпелем, появляется мелкое муковидное шелушение.
Симптом Бенье — муковидное шелушение
Дифференциальная диагностика проводится:
Лечение
Лечение отрубевидного лишая имеет лишь косметические показания, так как ни воспаления, ни поражения других органов при этой болезни нет. Такие больные незаразны, так как грибок присутствует практически у всех людей, дело лишь в иммунитете.
Как надо лечить отрубевидный лишай:
1) Коррекция основного заболевания (если такое есть), приведшего к появлению отрубевидного лишая. Нельзя забывать об этом направлении. Обязательно надо избавиться от провоцирующего фактора.
2) Местное лечение кожи.
Точно такая же схема лечения при использовании следующих местных противогрибковых средств:
- клотримазол (крем или раствор),
- миконазол (крем),
- тербинафин (ламизил) – крем,
- фунготербин (спрей или гель),
- оксиконазол (крем),
- термикон (спрей или крем).
На фото: спреи и мази для лечения
Если разноцветный лишай поражает участки с ростом волос (на голове, в паху, на половых губах или члене), лучше использовать не мази или кремы, а спреи или растворы вышеназванных препаратов.
3) Общее лечение.
Обязательно проводится:
- при распространенных поражениях на больших участках кожи,
- при ослабленном иммунитете,
- при неэффективности местного лечения спустя 2 недели.
Но ряд дерматологов советует всегда использовать системные противогрибковые препараты одновременно с кремами или мазями. Эффективность такого лечения выше благодаря воздействию на грибы в волосяных луковицах.
Внимание: общее лечение без местного лечения неэффективно!
Назначаются противогрибковые препараты в таблетках или капсулах, которые надо принимать внутрь.
- Флуконазол (в капсулах по 150 мг). Как принимать: по 2 капсулы 1 раз в неделю – на курс 2 недели. То есть приняли в понедельник 2 капсулы, через неделю – еще 2 капсулы. Быстро, дешево и эффективно.
- Итраконазол – по 200 мг один раз в день – в течение 1 недели.
- Кетоконазол – по 200 мг один раз в день – в течение 3-4 недель.
На фото: капсулы для лечения
Примерная схема лечения отрубевидного лишая
- Флуконазол – по 2 капсулы 1 раз в неделю – курс 2 недели.
- Шампунь Низорал – мыть голову и тело ежедневно вечером первую неделю. И через день – 2 и 3 неделю.
- Вместо Низорала для тела можно использовать спрей Термикон – 1 раз в день наносить на пораженные участки – 3 недели.
- Салициловая кислота – смазывать пораженные участки 1 раз в день утром.
- Прием поливитаминов (Компливит, Селмевит и другие).
- Комплекс мероприятия для повышения иммунитета. Читать статью — как повысить иммунную систему.
Лечение отрубевидного лишая при беременности
Особенности:
- Нельзя принимать никакие противогрибковые средства внутрь, так как они могут отрицательно подействовать на плод.
- Наружно, местно лучше всего использовать шампунь Низорал. И только в тех случаях, когда польза для тела матери превышает риск для плода. Лечение следует согласовать со своим гинекологом.
- В большинстве случаев лучше дождаться родов и потом провести полноценный курс лечения.
- Запомните: возбудитель никак на плод не действует и на роды не влияет.
При грудном вскармливании
- Не принимать препараты внутрь.
- Не обрабатывать мазями и кремами грудь.
Как оценить эффективность лечения?
- Должен исчезнуть первый симптом — шелушение на пятнах.
- Должны пройти пятна, по крайней мере розовые и коричневые. Белые пятна еще какое-то время могут сохраняться, пока кожа равномерно не загорит на солнце.
- Должны отсутствовать грибы и нити мицелия грибов в соскобе с кожи.
Профилактика
Запомните: если пятна прошли, это не значит, что они не вернутся. Болезнь хроническая, навсегда вылечить не удается. Поэтому обязательна профилактика!
- Прием кетоконазола – 400 мг один раз в месяц – каждый месяц. Либо прием другого противогрибкового препарата.
- В мае месяце, перед тем, как начнется летний период: шампунь Низорал – мыться один раз в день – 3 дня подряд.
- Одежду стирать при 95% на весь период лечения.
- Одежду проглаживать горячим утюгом на весь период лечения.
- Не носить синтетическую одежду – она не впитывает пот.
- При избыточной потливости: применение антиперспирантов и одежду часто менять!
- Лечение всех заболеваний и коррекция состояний, которые привели к появлению отрубевидного лишая.
- Укрепление иммунной системы разными методами – обязательно!!!
- Можно ли ходить в солярий и загорать? На время лечения – нельзя. После лечения – можно и даже нужно слегка загорать на солнце, так как солнечный свет убивает возбудителя — грибок.
Отзывы
Отзывы пациентов: чаще всего проводимые курсы лечения современными препаратами дают положительный эффект. Признаки болезни исчезают быстро. Но спустя несколько месяцев они могут вернуться. Болезнь хроническая и как ее вылечить раз и навсегда – никто не знает.
Отзывы и рекомендации врачей-дерматологов: необходимо проводить самостоятельную профилактику рецидивов болезни, а один раз в 3 месяца показываться дерматологу.
Армия
С отрубевидным лишаем служат в армии. Правда, если у парня рецидив заболевания и есть жалобы (зуд, шелушение), то ему могут дать отсрочку от призыва с направлением на лечение в кожно-венерический диспансер. К следующему призыву в армию он должен вылечить рецидив болезни.
Рекомендую также прочесть эти материалы:
- Как работает иммунная система человека?
Внимание: если доктор на ваш вопрос не ответил, значит ответ уже есть на страницах сайта. Пользуйтесь поиском на сайте.
Источник: http://www.DermatologVenerolog.ru/dermatomikoz/49-otrubevidnyj-raznotsvetnyj-lishaj