Когда на УЗИ видно беременность?

Современным женщинам очень повезло. Ведь сравнительно недавно у представительниц слабого пола в положении не было возможности увидеться с малышом до родов. С развитием медицины сейчас это вполне реально.
На каком сроке УЗИ показывает беременность? Этот вопрос волнует каждую девушку, у которой случилась задержка или проявились иные симптомы, склоняющие ее к мысли о возможном случае оплодотворения. Сразу бежать на процедуру к врачам не стоит, все равно пока ничего видно не будет.
Поэтому стоит набраться терпения и немного подождать. Можно посетить гинеколога и у него поинтересоваться, когда УЗИ покажет беременность.
Для чего проводить исследование ультразвуком и в чем его важность?
При первых же признаках оплодотворения девушка должна обратиться в женскую консультацию для подтверждения своего положения и постановки на учет. Ведь врачебный контроль очень важен в этот период.
По разным причинам беременность может не подтвердиться: тест может показать ложные данные, цикл просто сбиться по любой другой причине.
Доктор, после осмотра, подтвердит или опровергнет этот факт, а вот наличие плода точно покажет первая процедура ультразвукового исследования.
Почему важно провести эту процедуру после задержки? Рассмотрим причины подробнее:
- При длительном отсутствии менструации можно выяснить истинную причину патологии, в случае если оплодотворение не подтвердилось. Ведь такое развитие событий способно сигнализировать о развитии гинекологического заболевания.
- На раннем сроке можно определить беременность посредствам ультразвука.
- С помощью УЗИ можно проверить, хорошо ли прикрепился плод, затем – оценить его состояние, исключить развитие любого рода аномалий.
- Процедура позволяет определить внематочную беременность и оградить женщину от риска навредить здоровью и жизни.
- Ультразвуковое обследование – единственный достоверный источник, с помощью которого можно увидеть замирание плода или несостоявшийся выкидыш.
- УЗИ может спасти ребенка, заранее показывая угрозу выкидыша вследствие повышенного тонуса или другой причины. Врач своевременно назначит нужную терапию.
Ультразвуковое исследование – абсолютно безопасная процедура, как для будущего малыша, так и для молодой мамочки. Все предрассудки о его вредоносности – сущий миф.
На каком сроке ультразвук способен распознать плодное яйцо?
Через сколько дней после зачатия можно распознать наступление интересного положения? Яйцеклетка оплодотворяется в день овуляции или пару дней спустя.
Но для этого важно, чтобы сперматозоид до нее добрался. По маточным трубам яйцеклетка добирается до матки, где прикрепляется к ее слизистой оболочке.
Женщина ощущает тянущую боль внизу живота, как перед началом месячных. С этого момента она – будущая мать.
Первое диагностическое УЗИ с целью подтверждения беременности
УЗИ для определения беременности покажет точный результат, если соблюдать ряд условий и рекомендаций:
- процедура может определить беременность и количество плодов на 90% точно только на 10 неделе, поэтому стоит соблюдать сроки визитов;
- отсутствие воспаления (из-за отека аппарат не различит крохотный зародыш);
- подбор самого подходящего вида исследования ультразвуком.
На каком сроке можно определить зарождение жизни? Сделать это можно и на первых неделях оплодотворения (на 3 неделе беременности), но результат может не оправдать ожидания. Поэтому лучше всего подождать и провести исследование согласно плану (на 10 неделе). Конечно, если на преждевременное обследование нет особых показаний по состоянию здоровья.
В современной медицине процесс определения беременности на ранних сроках представлен двумя вариантами ультразвукового исследования: трансвагинальным и абдоминальным.
С помощью первого вида определить беременность можно уже на 21 день после зачатия. Выполняется путем введения во влагалище специального датчика. Это достаточно точное обследование с наименьшей долей погрешностей.
Второй же вид исследования способен на определение беременности спустя 5 недель после оплодотворения.
Какое УЗИ делать для определения беременности на раннем сроке? На подобный вопрос ответит гинеколог после осмотра и оценки состояния здоровья матери.
Трансабдоминальные и трансвагинальный датчики УЗИ
Как подготовиться к процедуре выявления зачатия?
Определение беременности по УЗИ требует выполнения некоторых правил, чтобы результаты были достоверными. Газы в кишечнике мешают любому исследованию, поэтому стоит исключить бобовые и прочие газообразующие продукты из рациона. Хотя бы за два дня до процедуры.
Когда назначают трансабдоминальное обследование, необходимо наполнить мочевой пузырь. Желательно выпить достаточное количество воды за три часа до процедуры, если женщина способна столько вытерпеть. Из-за этого при проведении исследования возможен дискомфорт. Определить срок беременности по УЗИ на пустой мочевой пузырь точно не получится.
Если назначили трансвагинальную процедуру, опорожнитесь и откажитесь от секса за пару дней до исследования.
Нужно ли проводить обследование посредствам ультразвука на ранних сроках?
На УЗИ видно беременность начиная с 3 недели. Однако если нет особых назначений, тогда и проводить процедуру на столь раннем сроке по индивидуальному желанию будущей мамы не стоит. Как определить срок беременности, сколько недель прошло со дня зачатия, если не проводить процедуру? В этом девушке поможет разобраться врач при осмотре на гинекологическом кресле и по результатам анализов.
Трансвагинальным способом УЗИ беременность проверять не стоит в том случае, если женщину беспокоит боль ноющего характера и спазмы в области низа живота, а также в тот период, когда отмечаются периодические выделения коричневого либо красного цвета.
Можно ли с помощью данного метода выявить наличие плода на раннем периоде вынашивания младенца? Да, такой вид исследования определяет зачатие довольно точно, но врачи часто говорят о возможных рисках повреждения зародыша.
Поэтому процедуру должен проводить опытный врач.
Может ли ошибаться врач?
На раннем сроке увидеть беременность можно, но иногда неопытный диагност может спутать ее с гематомой или другим новообразованием. Определение срока беременности или пола ребенка бывает ошибочным. Причины тому следующие:
- маленький срок;
- наличие гематом и прочих образований;
- старое, плохо функционирующее оборудование;
- непрофессиональный медик, проводящий исследование.
Случаи ошибок достаточно редкие. Практически всегда с помощью ультразвука можно выделить наличие плода. Через сколько дней можно делать повторную процедуру? Об этом Вам сообщит специалист на приеме.
На каком сроке УЗИ покажет беременность? Первая плановая процедура проводится на 10 неделе интересного положения представительницы слабого пола. Но плодное яйцо можно рассмотреть уже спустя 5 дней отсутствия менструации. Какое УЗИ делают для распознания зачатия? Самый точный метод – трансвагинальный, но он проводится только при отсутствии противопоказаний.
Источник: https://CheckUpAdviser.ru/uzi/beremennosti/na-kakom-sroke-uzi-pokazyvaet-beremennost
На УЗИ не увидели беременность. Так бывает?

Очень волнительный момент – наступление ожидаемой беременности. Три дня задержки, две полоски на тесте, купленном в ближайшем супермаркете, и женщина уже уверена, что желанное зачатие осуществилось. Однако для точного подтверждения этого факта, а также чтобы убедиться, что плодное яйцо, из которого вырастет будущий малыш, находится именно там, где должно, необходимо сделать УЗИ матки.
Женщина обращается к своему гинекологу, тот назначает ультразвуковую диагностику, но по итогам в заключении указано, что результат отрицательный: на УЗИ раннюю беременность не видно. Иногда бывает так, что и через месяц или чуть больше после положительного теста, УЗИ беременность не покажет. Почему так случается?
6 причин, почему УЗИ не показывает беременность
- Современные аппараты ультразвуковой диагностики обладают высокой точностью. Благодаря этой технике, многие заболевания диагностируются на ранних стадиях, врач получает максимально возможную информацию об исследуемых органах. Но не нужно забывать, что на аппаратуре работаю люди.
Профессиональные навыки специалиста могут существенно влиять на конечный результат. Врач с недостаточным уровнем подготовленности или опыта может на УЗИ не увидеть беременность малого срока, или же принять плодное яйцо за кисту, миому, другое образование.
- Аппарат тоже может быть виной не диагностированной беременности.
Даже если врач весьма опытен, на устаревшем оборудовании он может не получить изображение достаточно высокой четкости для установки факта беременности.
- Слишком маленький срок беременности прошел между зачатием и обследованием УЗИ.
В самом начале эмбрион имеет размеры всего в несколько миллиметров, может еще находиться в процессе опускания в матку.
- Оплодотворенная яйцеклетка, путешествуя к месту своего прикрепления, может остаться в маточной трубе, имплантироваться в нее.
А определить внематочную беременность в первые недели ее существования в высшей степени затруднительно.
- Воспалительные и другие заболевания органов малого таза у женщины могут скрыть от врача факт наступившей беременности.
Также играет роль строение матки: в случае, если у женщины есть какие-либо особенности в анатомии (необычное положение органа, седловидная матка и др.), результаты УЗИ могут быть расшифрованы неверно.
- Вероятно, что беременности действительно нет, а предыдущие тесты показали ложноположительный результат от того, что у женщины развилось новообразование, гормонально активное.
Когда делать УЗИ после положительного теста?
Чтобы быть уверенной в правдивости исследования, женщине нужно понимать, с какого срока на УЗИ видно беременность. Тест, как правило, проводится в первые дни задержки менструального цикла.
Этот срок соответствует приблизительно от двух до четырех недель беременности. Поэтому не стоит бежать на УЗИ сразу после проведенного теста, 2 недели – слишком рано для качественной диагностики.
А более-менее достоверными результаты УЗИ будут к концу второго месяца, то есть к 8 неделе.
Что делать, если на УЗИ не видно беременность?
Поводов для беспокойства нет. Врач в такой ситуации непременно предложит пройти тест на специфический гормон, который называется ХГЧ. В первые недели беременности его концентрация в крови женщины быстро растет, ежедневно удваивая свои показатели. После анализов крови и осмотра, врач подскажет женщине, через сколько дней будет видно беременность на УЗИ.
Если же положительными будут оба теста – проведенный в домашних условиях и анализ на ХГЧ, — а на УЗИ все еще не будет показывать беременность, то имеет смысл пройти обследование в другом медицинском учреждении у другого специалиста. Возможно, дело действительно в аппарате недостаточно экспертного уровня.
Как проводят УЗИ на маленьком сроке?
В первые недели развития эмбриона имеет смысл выполнять только трансвагинальное УЗИ.
Это обследование предполагает, что датчик вытянутой формы небольшого диаметра вводят во влагалище женщины и получают с его помощью изображение матки на мониторе аппарата.
В связи с тем, что датчик максимально приближен к изучаемой зоне, тонность исследования очень высокая. Специфической подготовки такое УЗИ не требует. Оно безопасно и не приносит осложнений.
Можно ли определить срок беременности по УЗИ?
Можно, но приблизительно. Примерный срок врач определяет на УЗИ до 12 недель беременности, измеряя размеры зародыша:
| неделя беременности | диаметр плодного яйца, мм |
| 3 | 3 |
| 4 | 6 |
| 5 | 8 |
| 6 | 14 |
| 7 | 20 |
| 8 | 27 |
| 9 | 34 |
| 10 | 40 |
| 11 | 47 |
| 12 | 53 |
| 13 | 60 |
С четвертой-пятой недель беременности дополнительно используется такой показатель, как копчико-теменной размер. Величины данного показателя являются более точными для определения срока беременности при помощи УЗИ. С некоторыми из этих величин можно познакомиться в таблице:
| КТР по УЗИ, см | неделя/день беременности |
| 0,3 | 4 |
| 0,4 | 5/2 |
| 0,5 | 6/1 |
| 0,6 | 6/3 |
| 1,0 | 7/2 |
| 1,2 | 7/5 |
| 1,4 | 8/1 |
| 2,0 | 9 |
| 2,7 | 10 |
| 3,6 | 11 |
| 4,7 | 12 |
| 5,9 | 13 |
| 7,3 | 14 |
| 7,6 | 14/2 |
| 8,0 | 14/4 |
| 8,7 | 15 |
И хотя показатель КТР более информативен, чем размер плодного яйца, оба метода обладают недостаточной точностью, являются лишь ориентировочными. Особенно в тех случаях, когда женщина не помнит точные даты последней менструации.
Заключение
Если так случилось, что несмотря на наличие множества признаков, указывающих на наступление зачатия, а также при положительном тесте, УЗИ не смогло показать беременность, не стоит отчаиваться.
Нужно сдать кровь на ХГЧ, выполнить другие анализы, если их назначит врач, и снова пройти ультразвуковую диагностику.
Специалист подскажет на приеме, через какое время можно будет точно впервые увидеть на мониторе своего будущего малыша.
Источник: https://neurourologist.ru/blog/na-uzi-ne-uvideli-beremennost-tak-byvaet/
На каком сроке УЗИ покажет беременность – когда проходить обследование

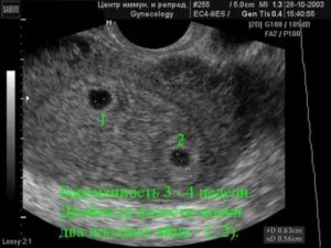
Ультразвуковое исследование с помощью трансвагинального датчика позволяет оценить развитие беременности на совсем маленьких сроках. В процессе его выполнения можно выявить всевозможные отклонения и проблемы, рассмотреть плодное яйцо, его месторасположение в матке и другие нюансы. В результате обследования врач определяет присутствие физиологической беременности и возможные проблемы.
Трансвагинальная методика предполагает введение во влагалище беременной женщины специального датчика, на который надевают презерватив. К 5 акушерской (3 гестационной) неделе вынашивания ребенка уже сформированы желточный мешок, который обеспечивает кроветворную функцию и питание эмбриона и амнион (амниотический пузырек с эмбрионом внутри). На УЗИ можно их отчетливо увидеть на данном сроке.
Таким образом, на третьей гестационной неделе беременности на УЗИ видно плодное яйцо, хотя его размеры в это время очень маленькие. Получается, что если у женщины наблюдается уже 6 дней задержи, а она не знает на каком сроке можно определить беременность на УЗИ, то смело можно обращаться к своему гинекологу, который направит ее на такую диагностику.
Как правило, на таком маленьком сроке УЗИ назначают не всем. Для этого нужны серьезные основания:
- женщина проходила процедуру ЭКО — определяется насколько прижилось плодное яйцо в матке;
- существует серьезное подозрение на внематочное имплантирование оплодотворенной яйцеклетки;
- у беременных имеются жалобы на тянущие боли в нижней части живота, а также различные выделение из влагалища;
- неудовлетворительные результаты анализов на ХГЧ или другие гормоны;
- в прошлом у женщины были диагностированы выкидыши, замирание плода или внематочная беременность.
Трансвагинальное УЗИ может спровоцировать спонтанный выкидыш
Как правило, само по себе ультразвуковое исследование не провоцирует появление кровотечения или выделений из влагалища.
Но если беременная испытывает стресс, то это может привести к возникновению маточного тонуса и появится серьезная угроза выкидыша.
Если после проведения УЗИ женщина замечает различного рода выделения из влагалища, в том числе и кровяные, то умалчивать об этом нельзя — необходима консультация акушера-гинеколога.
Обследование беременной с помощью вагинального датчика эффективно до тех пор, пока матка не выйдет за пределы малого таза (до 12 акушерских недель). На более поздних сроках внутриутробного развития плода практикуют использование стандартного УЗИ (через переднюю стенку живота).
Когда врач может увидеть эмбрион?
На каком сроке диагност может увидеть эмбрион? Распознать его движения и обнаружить сердечную деятельность? Трансабдоминальный метод и в этом случае уступает трансвагинальному, примерно на неделю. Осматривая пациентку через влагалище, врач сможет:
- увидеть эмбрион на 5 неделе;
- распознать его движения – между 5 и 6 неделей;
- услышать биение сердца на 5-6 неделе.
Если УЗИ проводится через брюшину, эмбрион можно визуализировать в конце 6-10 неделе беременности. Как двигается эмбрион, врач увидит к 7-8 неделе, а услышит биение его сердца чуть раньше, к 6-7 неделе вынашивания.
На каком сроке можно определить внематочную беременность
Не менее часто женщин волнует вопрос — во сколько недель УЗИ покажет внематочную беременность? Не каждая представительница слабого пола думает, что у нее развивается беременность за пределами матки и обследуется на предмет этого. Но тревогу следует бить, если появилась такая симптоматика:
- болезненные ощущения внизу живота и в области прямой кишки, преимущественно в виде спазмов или тянущие;
- во влагалищных выделениях наблюдаются прожилки крови;
- женщина чувствует усиление боли во время физической активности;
- наблюдается общий упадок сил.
Считается, что отчетливо видно эмбрион на УЗИ начиная с 6-7 акушерской недели
При этом, если аптечный тест дает негативный результат или вторая полоска еле заметна, но присутствует вышеописанная симптоматика, то не следует гадать на какой день идти к врачу и когда на УЗИ уже видно будет патологическую беременность. Делать это следует сразу же не откладывая.
Трансвагинальное УЗИ может показать внематочную беременность начиная с 4 недели, но многое зависит от возможностей оборудования и квалификации врача-диагноста. Беременность за пределами матки определяется по таким признакам:
- внутри полости матки не обнаруживается плодное яйцо и не визуализируется эмбрион;
- сама матка имеет меньший, чем положено на диагностируемом сроке, объем;
- около одного из придатков располагается объемное образование;
- при брюшном варианте обнаруживается плодное яйцо, а визуализация стенки матки отсутствует;
- большое количество жидкости позади матки (же после надрыва трубы).
Во время третьей недели беременности начинается эмбриональная закладка важных органов (почек, печени, легких) и систем плода.
Трансвагинальное УЗИ считается самым информативным и точным методом, во время которого можно увидеть внематочную беременность. Однако и от него не приходится ожидать 100% результата. У 10 женщин из 100 УЗИ может не показать ее, поскольку за плодное яйцо иногда принимается скопление патологической жидкости или сгусток крови в маточной полости.
На какой неделе и через сколько дней после предполагаемого зачатия делать УЗИ, безусловно, решают будущие родители.
Но, если для того чтобы увидеть эмбрион на совсем ранних сроках, нет серьезных оснований, то лучше в этом вопросе не спешить. Вынашивание ребенка — это удивительный процесс.
И хотя УЗИ можно делать неограниченное число раз — идти на такую процедуру ради праздного любопытства не лучший мотив.
Для чего нужно обследование, на каком сроке УЗИ показывает беременность? Вопросы, возникающие у каждой будущей мамы, вполне обоснованы. Чтобы подтвердить уверенность, что зачатие наступило, после проведения экспресс-теста с положительным результатом в некоторых спорных случаях врач назначает прохождение УЗИ.
Сделать исследование можно уже после 5-6 дней задержки месячных, когда видно плодное яйцо на УЗИ, но при таком маленьком сроке эмбрион будет виден только при диагностике путем введения датчика во влагалище.
Через живот (трансабдоминальным способом) невозможно будет рассмотреть небольшие изменения в матке.
Для большей достоверности его лучше сделать с 7-8 недели, когда УЗИ покажет беременность любым проведенным способом.
УЗИ, сделанное с помощью трансвагинального датчика, считается самым достоверным.
Прибор, защищенный презервативом и вводимый во влагалище, расположен очень близко от органов малого таза женщины, которые подлежат исследованию.
При начальных сроках от 3 до 6 недель диагностику проводят только если есть подозрение, что эмбрион закрепился в неположенном месте, и могла наступить внематочная беременность.
Более точные данные, полученные с помощью датчика, помогают врачу не ошибаться в сроках наступления зачатия с погрешностью в пару дней.
Иногда нужно учитывать особенности строения органов женщины, чтобы поставить правильный диагноз. Исследование должно проводиться на пустой мочевой пузырь, чтобы избежать искажения данных.
Посетить туалет рекомендуется непосредственно перед входом в кабинет и началом процедуры.
Данные, которые позволяет увидеть результаты трансабдоминального обследования, могут быть получены позже, при наступлении 5-6 недели. В наступившем периоде уже возможно распознать сердцебиение ребенка.
Датчик, смазанный специальным гелем, располагают и двигают по поверхности живота. Монитор в это время показывает результат состояния органов.
Расстояние до матки больше, чем при трансвагинальном исследовании, поэтому распознать беременность по срокам можно с разницей около 10-15 дней.
У женщины, имеющей лишний вес, сложнее определить причину задержки, а при зачатии установить точный срок. Чем больше прослойка клетчатки и жира, тем позднее будет проведено точное диагностирование. Проводят исследование на наполненный мочевой пузырь. Для этого предварительно, не менее чем за пару часов, необходимо выпить от одного до двух литров негазированной воды.
К большому сожалению, не так редко встречается и внематочная беременность, которая грозит женщине оперативным вмешательством, а в некоторых случаях невозможностью иметь детей в будущем. Плодное яйцо возможно увидеть уже с двадцатого дня оплодотворения. Более точные результаты с помощью вагинального датчика получают, начиная с 5-й недели.
Аппарат УЗИ определит наличие данной патологии уже на четвертой неделе. Обследование позволяет узнавать, что эмбрион закрепился не внутри матки, поскольку орган имеет меньший объем, чем положено на предполагаемом сроке.
Аппарат может показать, что плодное яйцо находится в брюшной полости. Специалист иногда видит наличие определенных образований в районе одного из придатков.
На каком сроке УЗИ наверняка покажет беременность? Сразу после оплодотворения УЗИ-обследование не информативно. Развивающийся эмбрион еще слишком мал.
Клетки, получившиеся в результате слияния яйцеклетки и сперматозоида, должны внедриться в маточную ткань и образовать новую жизнь.
Для однозначного определения беременности эмбрион должен просматриваться так, чтобы его можно было отличить от полипов на слизистой. Помешать разглядеть плод может воспаление, сопровождающееся отеком.
Когда УЗИ покажет беременность? На ультразвуковом аппарате с высоким разрешением опытный врач может увидеть 3-5 миллиметровый эмбрион. Таких размеров он достигает на 21 день своего существования – этот срок соответствует нескольким дням задержки менструального цикла.
На 7-8 неделе любой из методов УЗИ-диагностики покажет наличие эмбриона. При трансабдоминальном (наружном) способе изменения в тканях матки также будут видны. К этому времени должно прослушиваться сердцебиение плода. Если его нет, диагностируется замершая беременность.
При хорошем самочувствии женщины УЗИ надо сделать не раньше пятой недели. При болях, кровянистых выделениях обследование проводят на 8-15 день задержки.
Возможности диагностики при определении срока беременности
Овуляция приходится на середину менструального цикла, а подозревать о беременности женщина может начинать только тогда, когда у нее наступает задержка, то есть, под конец второй или с началом третьей недели.
Даже если вы точно знаете, в какие примерно дни могло произойти зачатие, рассмотреть сейчас будущего малыша внутри вас можно будет лишь с помощью микроскопа, ведь его вес вряд ли превысит треть грамма.
Эмбрион немного увеличится до конца второй недели беременности (не больше миллиметра), однако все равно его не сможет увидеть даже сверхзвуковая аппаратура.
На какой неделе УЗИ показывает беременность?
Существует несколько основных видов диагностики, которые врачи выбирают и применяют, в зависимости от целей или функций, требуемых от процедуры. Узи на ранних сроках делают двумя способами.
Наиболее точный вариант исследования, применяемый именно на ранних сроках беременности. Чтобы провести процедуру, на датчик аппарата одевают презерватив и вводят его во влагалище женщины. Уже с третьей недели (от дня зачатия), то есть, на 3-5 день задержки опытный доктор при помощи современного сканера УЗИ сможет зафиксировать факт вашей беременности.
Однако учитывайте, что по результатам анализов крови уровень ХГЧ должен превышать 1800-2000 ед.
Если врач не видит плодного яйца при таких показателях, существует большой риск внематочной беременности, поэтому исследования будут проводиться повторно.
Источник: https://diagnost-mk.ru/uzi/na-kakom-sroke-pokazhet-beremennost.html
На каком сроке УЗИ показывает беременность

Если женщина, которая мечтает стать матерью, внимательно следит за состоянием своего здоровья и контролирует менструальный цикл, то уже с первых дней задержки она может надеяться, что наступила беременность. Как правило, они спешат сделать тест, который можно приобрести в любой аптеке.
Но следует помнить, что уровень ХГЧ растет у всех по-разному, поэтому тест-полоска может давать ложноотрицательный или ложноположительный результат. Когда экспресс-тест дает положительный результат некоторые беременные по собственному желанию или по рекомендации врача в некоторых спорных случаях отправляются на ультразвуковую диагностику.
На каком сроке УЗИ показывает беременность — это довольно популярный вопрос у будущих мамочек. Кроме того, особенно мнительные могут интересоваться тем, когда УЗИ покажет беременность за пределами матки? Может ли определить беременность на самом раннем сроке абдоминальное УЗИ или в этом случае актуально только вагинальное?
Трансвагинальное УЗИ
Ультразвуковое исследование с помощью трансвагинального датчика позволяет оценить развитие беременности на совсем маленьких сроках. В процессе его выполнения можно выявить всевозможные отклонения и проблемы, рассмотреть плодное яйцо, его месторасположение в матке и другие нюансы. В результате обследования врач определяет присутствие физиологической беременности и возможные проблемы.
Трансвагинальная методика предполагает введение во влагалище беременной женщины специального датчика, на который надевают презерватив. К 5 акушерской (3 гестационной) неделе вынашивания ребенка уже сформированы желточный мешок, который обеспечивает кроветворную функцию и питание эмбриона и амнион (амниотический пузырек с эмбрионом внутри). На УЗИ можно их отчетливо увидеть на данном сроке.
Таким образом, на третьей гестационной неделе беременности на УЗИ видно плодное яйцо, хотя его размеры в это время очень маленькие. Получается, что если у женщины наблюдается уже 6 дней задержи, а она не знает на каком сроке можно определить беременность на УЗИ, то смело можно обращаться к своему гинекологу, который направит ее на такую диагностику.
Как правило, на таком маленьком сроке УЗИ назначают не всем. Для этого нужны серьезные основания:
- женщина проходила процедуру ЭКО — определяется насколько прижилось плодное яйцо в матке;
- существует серьезное подозрение на внематочное имплантирование оплодотворенной яйцеклетки;
- у беременных имеются жалобы на тянущие боли в нижней части живота, а также различные выделение из влагалища;
- неудовлетворительные результаты анализов на ХГЧ или другие гормоны;
- в прошлом у женщины были диагностированы выкидыши, замирание плода или внематочная беременность.
Трансвагинальное УЗИ может спровоцировать спонтанный выкидыш
Как правило, само по себе ультразвуковое исследование не провоцирует появление кровотечения или выделений из влагалища.
Но если беременная испытывает стресс, то это может привести к возникновению маточного тонуса и появится серьезная угроза выкидыша.
Если после проведения УЗИ женщина замечает различного рода выделения из влагалища, в том числе и кровяные, то умалчивать об этом нельзя — необходима консультация акушера-гинеколога.
Обследование беременной с помощью вагинального датчика эффективно до тех пор, пока матка не выйдет за пределы малого таза (до 12 акушерских недель). На более поздних сроках внутриутробного развития плода практикуют использование стандартного УЗИ (через переднюю стенку живота).
Абдоминальное УЗИ
Некоторые женщины довольно скептически относятся к трансвагинальному методу и не хотят делать такое УЗИ. Им больше интересно знать на каком сроке видна беременность на обычном (абдоминальном) УЗИ. Сколько дней после зачатия должно пройти чтобы можно было увидеть плодное яйцо?
Может ли УЗИ не увидеть двойню?
Начиная с 7–8 акушерской недели некоторые сонологи выполняют абдоминальное ультразвуковое исследование. В это время видно беременность на УЗИ, но все зависит от качества аппаратуры и опыта диагноста. Но все же врачи настаивают на том, что на маленьком сроке лучше отдавать предпочтение трансвагинальному УЗИ для определения беременности.
Стандартно через живот смотрят беременную начиная с 10–12 недели. В это время не только видно плодное яйцо на УЗИ, но и хорошо виден эмбрион. В конце первого триместра можно уже качественно оценить генетические параметры зародыша. В это время, рассматривая эмбрион на УЗИ, диагност может определить таки отклонения в развитии:
- пороки центральной нервной системы плода;
- синдром Дауна, трисомия 13, синдром дополнительной 18 хромосомы, синдром Смита-Опитца, синдром Корнелии де Ланге;
- физиологическая пупочная грыжа у плода.
У женщины с избыточным весом намного сложнее определить причину задержки и сколько точно прошло с момента оплодотворения. Чем прослойка жира больше, тем позднее будет точно видно на УЗИ беременность.
Не менее часто женщин волнует вопрос — во сколько недель УЗИ покажет внематочную беременность? Не каждая представительница слабого пола думает, что у нее развивается беременность за пределами матки и обследуется на предмет этого. Но тревогу следует бить, если появилась такая симптоматика:
- болезненные ощущения внизу живота и в области прямой кишки, преимущественно в виде спазмов или тянущие;
- во влагалищных выделениях наблюдаются прожилки крови;
- женщина чувствует усиление боли во время физической активности;
- наблюдается общий упадок сил.
Считается, что отчетливо видно эмбрион на УЗИ начиная с 6-7 акушерской недели
При этом, если аптечный тест дает негативный результат или вторая полоска еле заметна, но присутствует вышеописанная симптоматика, то не следует гадать на какой день идти к врачу и когда на УЗИ уже видно будет патологическую беременность. Делать это следует сразу же не откладывая.
Трансвагинальное УЗИ может показать внематочную беременность начиная с 4 недели, но многое зависит от возможностей оборудования и квалификации врача-диагноста. Беременность за пределами матки определяется по таким признакам:
- внутри полости матки не обнаруживается плодное яйцо и не визуализируется эмбрион;
- сама матка имеет меньший, чем положено на диагностируемом сроке, объем;
- около одного из придатков располагается объемное образование;
- при брюшном варианте обнаруживается плодное яйцо, а визуализация стенки матки отсутствует;
- большое количество жидкости позади матки (же после надрыва трубы).
Во время третьей недели беременности начинается эмбриональная закладка важных органов (почек, печени, легких) и систем плода.
Трансвагинальное УЗИ считается самым информативным и точным методом, во время которого можно увидеть внематочную беременность. Однако и от него не приходится ожидать 100% результата. У 10 женщин из 100 УЗИ может не показать ее, поскольку за плодное яйцо иногда принимается скопление патологической жидкости или сгусток крови в маточной полости.
На какой неделе и через сколько дней после предполагаемого зачатия делать УЗИ, безусловно, решают будущие родители.
Но, если для того чтобы увидеть эмбрион на совсем ранних сроках, нет серьезных оснований, то лучше в этом вопросе не спешить. Вынашивание ребенка — это удивительный процесс.
И хотя УЗИ можно делать неограниченное число раз — идти на такую процедуру ради праздного любопытства не лучший мотив.
Источник: https://apkhleb.ru/uzi/kakom-sroke-pokazyvaet-beremennost
На каком сроке УЗИ показывает беременность, когда после зачатия идти на обследование, может ли аппарат показать плод до задержки

Начало беременности 18:41, 25 марта 2017
Ожидание беременности – трепетное время для пар, которые днем и ночью грезят о малыше. Даже если тест показал две полоски, будущей маме хочется знать наверняка. Когда видно беременность на УЗИ – вопрос, который волнует многих будущих мам.
Когда ультразвук увидит беременность
Увы, определить беременность при помощи УЗИ до задержки не получится. Эмбрион, хоть и развивается очень быстро, пока еще слишком мал.
А на каком сроке УЗИ будет информативным? Забеременеть можно в день овуляции либо в течение нескольких следующих дней. После этого оплодотворенная яйцеклетка проникает в слизистую матки и закрепляется.
Специалист должен обладать достаточной квалификацией, чтобы провести такую тонкую диагностику. Чтобы узнать, на каком сроке показывает беременность УЗИ, лучше обратиться в специализированную клинику. Разумеется, клиника должна быть оснащена современным оборудованием – нужен ультразвуковой сканер с высоким разрешением.
Высококлассный специалист, работающий на качественной аппаратуре, может использовать УЗИ для определения беременности уже на 5-6 день после задержки. На этом сроке размер эмбриона составляет около 3-5 мм в диаметре.
Соответственно, пройдет примерно 3 недели (21 день после зачатия). Конечно, перед исследованием рекомендуется сделать тест на беременность.
Четкость второй полоски зависит от уровня ХГЧ, который растет вместе со сроком беременности.
Оплодотворение могло произойти и за день до овуляции, и за несколько дней – позднее врач сможет сказать точную дату. В зависимости от того, на какой день после овуляции или до нее произошло зачатие, и будет зависеть информативность исследования в ближайшие дни после задержки.
А можно ли делать узи так рано?
Если вы собираетесь идти на ультразвуковое исследование по собственной инициативе только для того, чтобы узнать, «да или нет», то лучше сдать кровь на анализ ХГЧ. Этот метод информативен и абсолютно безопасен. В некоторых случаях он даже показывает «интересное положение» за 1-2 дня до задержки.
Почему не стоит торопиться на ультразвук?
- Воздействие ультразвука на плод пока не изучено до конца. Официально утверждается, что нет данных о том, что ультразвук может навредить плоду. Однако и его полная безопасность не доказана. Есть данные российских и зарубежных ученых о том, что такое исследование все же воздействует на эмбрион. Мы, конечно, не призываем к тому, чтобы полностью отказаться от УЗИ при беременности. Умные врачи рекомендуют проводить исследование четыре раза за весь период вынашивания малыша. Больше – только по строгим показаниям. А не для того, чтобы удовлетворить свое любопытство.
- На таком маленьком сроке (3-4 недели после зачатия), плодное яйцо видно не всегда. И это может стать дополнительным поводом для волнений. Чтобы во время исследования было видно беременность, необходимо отсутствие воспаления слизистой матки. Из-за него возникает отечность, и плодное яйцо будет незаметно. Существуют и другие причины, по которым врач может не увидеть будущего малыша, хотя на самом деле он есть.
- На этом сроке врач может лишь подтвердить ваше положение и исключить внематочную беременность. Правильно ли развивается плод, судить пока рано.
Когда назначают ультразвук
Нужно знать, на каком сроке УЗИ считают правильным проводить врачи. Существуют периоды, в которые всем беременным проводят ультразвуковой скрининг. Исследование помогает выявить возможные пороки развития. Врач определяет, соответствует ли размер плода сроку беременности, осматривает плаценту, матку, измеряет сердцебиение.
Оценивает параметры развития плода, исключает развитие патологий. Скрининг впервые проводят в 11-14 недель, потом в 20-24, в 30-32 и в 36-37 недель. Именно на этих сроках исследование наиболее информативно. В процессе первой диагностики определяются такие важные данные как размер плодного яйца, то, как оно прикреплено к матке.
УЗИ на протяжении беременности позволяет исключить отклонения в развитии ребенка.
Делать его на сроке до 10 недель нужно только в особых случаях. Специалисты не советуют проводить диагностику на ранних сроках беременности, если врач не говорит о такой необходимости.
Показания к раннему исследованию
В некоторых ситуациях гинеколог может назначить процедуру, не дожидаясь 10 недель. Вот некоторые показания:
- Если при задержке и появившейся второй полоске на тесте гинеколог во время осмотра не наблюдает признаков беременности;
- При наличии болезненных ощущений в нижней части живота (чтобы исключить внематочную и угрозу выкидыша);
- При задержке менструации на 2 недели, после которой начались кровянистые выделения. Это может означать угрозу прерывания;
- Если есть подозрение на замершую беременность;
- Недавние инфекционные заболевания и воздействие тератогенных факторов;
- Если зачатие наступило с внутриматочной спиралью;
- Невынашивание в анамнезе.
УЗИ раннего срока беременности проводят не только для подтверждения зачатия. Иногда бывают случаи, когда возникает длительная задержка, однако гинеколог утверждает, что оплодотворения не произошло. Тогда УЗИ необходимо, чтобы выявить причину – это могут быть различные гинекологические патологии (образование кист, наличие воспалений и т.д.). Выявить их следует как можно раньше.
Как проводится процедура
Виды УЗИ раннего срока беременности:
- Трансвагинальное УЗИ – беременность подтверждается в процессе исследования с использованием специального датчика, на который надевают презерватив для УЗИ и вводят во влагалище. Этот метод является наиболее точным и применяется для самой ранней диагностики. УЗИ показывает беременность уже к 21-22 дням от зачатия.
- Трансабдоминальное. Датчик прикладывается к области живота. Таким образом, сигналу от матки необходимо пройти большее расстояние. Поэтому необходимые данные можно получить еще через 2 недели – примерно на 5-й неделе. В случаях, когда присутствует толстый слой подкожной клетчатки, этот период увеличивается.
Не следует проводить трансвагинальное УЗИ при наличии болевых и тянущих ощущений в нижней части живота, а также если беспокоят коричневые или кровянистые выделения.
На раннем сроке можно определить беременность на УЗИ с точностью до нескольких дней, ведь все малыши в этот период развиваются одинаково.
В течение беременности может проводиться двух-, трех-, четырехмерное ультразвуковое исследование. Однако на ранних сроках применяют только двухмерное как наиболее безопасное.
Как подготовиться к исследованию? На четкости получаемых данных может сказаться метеоризм – газы могут помешать рассмотреть структуру матки. Чтобы избежать этого, рекомендуется придерживаться диеты перед исследованием. За 3 дня до УЗИ исключают из рациона:
- бобовые продукты;
- капусту;
- сдобную выпечку;
- газировку;
- свежие фрукты.
При трансабдоминальном УЗИ необходимо, чтобы мочевой пузырь был наполнен. Следует за час до процедуры выпить несколько стаканов минеральной воды без газа.
Если беременность не подтверждена
Нужно знать не только когда УЗИ покажет беременность, но и причины, по которым она не подтверждается. Иногда тест говорит о том, что беременность есть, а при проведении ультразвукового исследования эмбрион не обнаруживают.
Например, при слишком раннем проведении процедуры. При задержке в несколько дней тест уже может показывать вторую полоску, однако на УЗИ можно не заметить эмбрион – его размер меньше одного миллиметра. Поэтому сразу бежать на УЗИ не надо.
Даже если не терпится, следует подождать 2 недели.
Хорионический гонадотропин может повышаться вследствие опухолевых образований в печени, а также при пузырном заносе при беременности – это опасная аномалия, поэтому возникает необходимость в дополнительном исследовании.
Вероятность ошибки при проведении УЗИ на ранних сроках составляет примерно 1:10. Она может быть обусловлена некачественной аппаратурой или недостаточной квалификацией специалиста. Однако такие случаи становятся все более редкими. Как правило, даже на раннем сроке врач может определить точную дату зачатия.
Интересно, конечно, узнать, через сколько дней можно увидеть пол ребенка. Но на ранних сроках этого никто не сообщит. Поэтому с уверенностью выбирать розовое или голубое можно будет только после 15-18 недели.
Источник: https://MyZachatie.ru/nachalo-beremennosti/na-kakom-sroke-pokazyvaet-beremennost-uzi.html
Показывает ли беременность на ранних сроках до задержки на УЗИ: диагностика, расшифровка, определение на первых неделях

Желание поскорей узнать о беременности, заставляет женщин обращаться к специалистам ультразвуковой диагностики, чтобы подтвердить свои догадки.
Необходимость узнать о новом положении на раннем сроке может быть вызвана не только любопытством, но и необходимостью принимать определенные препараты.
УЗИ рекомендуется проводить одновременно с другими методами диагностики, что повысит точность результата.
Узи на ранних сроках беременности: видно ли эмбрион
Проведение исследования на ранних сроках необходимо женщинам при повторной беременности, если она стали мамой при помощи кесарева сечения не более года назад. Это позволит оценить риски и убедиться в прикреплении эмбриона на достаточном расстоянии от рубца.
Можно ли с помощью УЗИ определять беременность
УЗИ – достоверный способ убедиться в том, что произошло прикрепление оплодотворенной яйцеклетки к стенке матки. В зависимости от срока, врач увидит только плодное яйцо или развивающегося в нем эмбриона.
Плаценты на ранних сроках еще нет, зато присутствует желтое тело, которое также хорошо видно специалистам.
Врач может увидеть место прикрепления плодного яйца в матке, от которого в будущем зависят особенности течения беременности.
На какой неделе после зачатия можно увидеть беременность в полости матки
Зачатие происходит после овуляции, когда яйцеклетка выходит в полость матки. Обычно это происходит на 14 дней с начала цикла, именно в этот период возможно оплодотворение.
На УЗИ зарождение новой жизни можно увидеть только при прикреплении зиготы к стенке матки, что происходит только на 7-10 день после зачатия. Часто врач на маленьком сроке видит в матке плодное яйцо, но не наблюдает в нем эмбриона.
Это может говорить о замершей беременности или слишком раннем обращении к специалисту.
Для точного определения наличия эмбриона рекомендуется обращаться на УЗИ не ранее, чем на 4-5 неделе акушерского срока, который соответствует периоду от первого дня последней менструации. Именно в этот период уже точно произошло прикрепление, и врач увидит изменения в полости матки.
Если внематочная беременность, ее видно на УЗИ
При закреплении зиготы вне матки, определить это на УЗИ достаточно сложно. Даже самый чувствительный аппарат не способен идентифицировать зиготу в маточных трубах или других органах репродуктивной системы.
Подозрения на внематочную беременность возникает при одновременном выполнении следующих условий:
- положительный тест, растущий уровень ХГЧ;
- отсутствие эмбриона в матке;
- дискомфорт в брюшной полости.
Через 4-5 недель после зачатия врач может обнаружить увеличение органа, в котором прикрепился эмбрион. В первые 2-3 недели после оплодотворения яйцеклетки увидеть на УЗИ замершую беременность невозможно.
Закрепиться оплодотворенная яйцеклетка может в любом месте: маточная труба, яичник или прямо на тканях брюшины.
Это серьезная патология, которая требует оперативного вмешательства и может угрожать жизни женщины.
Когда можно определить беременность на ранних сроках по УЗИ
УЗИ для определения беременности на ранних сроках рекомендуется делать не ранее 6 недели. Это объясняется тем, что в этот период уже появляется сердцебиение у плода и его нахождение в полости матки видно на любом аппарате.
Примерно с 4 акушерской недели врач может отметить наличие плодного яйца, изменившуюся структуру миометрия и другие косвенные признаки, указывающие на наступившую беременность.
Специалист может обратить внимание на расширившиеся сосуды матки, что необходимо для полноценного питания и роста зиготы.
Как часто можно делать на ранних сроках
УЗИ на ранних сроках делают по мере необходимости, вреда на плод исследование не оказывает. При необходимости контроля за развитием эмбриона, врач может рекомендовать пройти процедуру несколько раз с промежутком в неделю, что поможет принять решение о дальнейших действиях. Проведение контроля УЗИ в динамике требуется в следующих случаях:
- обнаружение плодного яйца без эмбриона;
- отсутствие сердцебиения после 6 недели;
- видимые патологии желтого тела.
Точность
До появления сердцебиения точно определить наличие развивающейся беременности сложно. Именно в 4-5 недель акушерского срока чаще всего происходит самопроизвольное ее прерывание, вызванное патологиями эмбриона, несовместимыми с жизнью. На этом же сроке беременность замирает при нехватке гормонов, в частности прогестерона, которые помогают ей развиваться.
Когда покажет
Через 4-5 недель после зачатия, когда акушерский срок более 6-7 недель, у эмбриона появляется сердцебиение. Сердечные сокращения подтверждают наличие беременности и ее развитие.
В исключительных случаях сердцебиение может появиться чуть раньше или позже, это зависит от периода, когда была овуляция и произошло зачатие.
Именно на этом сроке можно точно определить наличие эмбриона при помощи ультразвукового исследования и сделать первые его замеры.
Показывает ли пол ребенка на УЗИ
Появление первичных половых признаков у плода начинается во втором триместре. Определяют пол ребенка обычно в 20 недель беременности и позже, когда вероятность ошибки минимальна. В первом триместре отдельные специалисты могут предположить половую принадлежность малыша по частоте сердечных сокращений, которая немного различается у плодов женского и мужского пола.
Для определения беременности существует много способов, помимо ультразвукового исследования. Они применяются не только по отдельности, но и в дополнение к УЗИ, когда результат кажется специалисту сомнительным. Признаки зарождения новой жизни могут быть прямые и косвенные. К прямым показателям наличия беременности относится:
- положительный тест на беременность;
- уровень хорионического гонадотропина человека в крови у женщины выше 25 и продолжает расти;
- на осмотре врач подтверждает увеличение размеров матки.
Косвенные признаки встречаются ни у каждой женщины, их появление не всегда связано с беременностью. Убедиться в развитии эмбриона можно, если вместе с одним из прямых признаков присутствуют следующие:
- сонливость;
- тошнота;
- резкая смена настроения;
- набухание груди и повышение ее чувствительности.
Определение беременности по УЗИ – достоверный способ узнать о своем новом положении. Для точных результатов необходимо дождаться подходящего срока, это позволит не только убедиться в наличии эмбриона, но и узнать о нормально развитии беременности. Исследование помогает определить зарождение новой жизни, а также предположить особенности течения беременности.
Источник: https://justmama.online/diagnostika/uzi-na-opredelenie-beremennosti-na-rannih-srokah.html