Когда на УЗИ видно эмбрион: исследование в 5-6 недель беременности

УЗИ — важная диагностическая процедура при гинекологическом обследовании. Особенно она важна для наблюдения за развитием плода. Благодаря ультразвуковой диагностике появилась возможность визуальной оценки эмбрионального развития ребенка, определения соответствия развития малыша расчетным срокам гестации.
Врач может определить не только уровень развития плода, его размеры, но и выяснить в каком он состоянии, т.е. выявить его возможные страдания (например, гипоксию). Это помогает акушерам-гинекологам сформировать верную стратегию ведения беременности.
УЗИ, как метод диагностики, позволяет подтвердить и сам факт беременности.
УЗИ-диагностика может практически со стопроцентной вероятностью подтвердить или опровергнуть факт беременности
Когда можно подтвердить беременность с помощью УЗИ?
Бежать на УЗИ на следующий день после незащищенного секса смысла нет. Размеры яйцеклетки, даже оплодотворенной, не позволяют видеть ее при ультразвуковой визуализации.
Какой срок позволяет увидеть плодное яйцо и определить его размеры? Увидеть эмбрион можно, когда плодное яйцо будет не менее 1 см. Если произошла задержка менструального кровотечения на неделю, к этому времени процесс гестации ориентировочно достиг 6 недель.
К этому периоду при диагностике высокоточным аппаратом плодное яйцо уже видно. Определить наличие сердцебиение эмбриона и рассмотреть его строение пока невозможно.
Могут быть и иные соображения, исходя из которых гинеколог предлагает женщине эту процедуру.
Когда квалифицированный многоопытный специалист на хорошем аппарате, дающем качественную визуализацию, способен распознать признаки беременности? После 3-х недель.
Внематночное расположение и закрепление плодного яйца УЗИ диагностирует после 2 недель (трансвагинально) и на 20-й день после зачатия (через брюшину). В помощь данным УЗ-диагностики обычно назначают анализ крови. Показатели ХГЧ позволяют судить об имплантации эмбриона.
На 7-8 неделе (примерно с 10 дня задержки) хороший УЗ-диагност определяет беременность практически со 100% достоверностью.
Почему УЗИ не «показывает» беременность?
Если в наличии все признаки гестации, уровень гонадотропина свидетельствует об удачной имплантации эмбриона, а данные УЗИ не показывают плодное яйцо и не подтверждают факта беременности у конкретной пациентки, это не значит, что беременность не состоялась. Причины того, что на УЗИ не видно эмбриона, могут быть следующими:
- использован трансабдоминальный датчик;
- низкая точность аппаратуры;
- неправильный расчет сроков гестации, УЗИ диагностику проводить рано, плодное яйцо не визуализируется;
- гинекологическая патология (киста желтого тела, например).
Для будущей мамы в этой ситуации главное — не паниковать. Нужно повторить тест ХГЧ (его показатели должны удвоиться за 2 суток – это показатель нормально развивающейся беременности) и повторно посетить УЗ-кабинет через неделю.
Использование трансвагинального датчика гораздо более информативно для выявления нормально расположенного зародыша, чем трансабдоминальное исследование
Чем обоснована потребность в ранней УЗ-диагностике
При результате по ХГЧ в 1000-2000 мЕд на литр УЗИ может быть результативным. Это исследование поможет акушеру-гинекологу распознать возможные ранние проблемы беременности и ее норму. Это может быть:
- внематочная беременность;
- подтверждение факта имплантации эмбриона;
- выяснение причин задержки месячных в случае отсутствия беременности;
- установления срока гестации (чем он меньше, тем точнее данные);
- определение плодности беременности (не всегда возможно);
- установление угрозы срыва.
УЗ-диагностику в раннем периоде проводят только в исключительных случаях, но все-таки лучше дождаться 5-8 недели. В это время эмбрион виден и уже можно определить скорость его развития.
Какой срок показывает УЗИ и его точность?
Возраст плода определяют акушерским методом и эмбриональным. Первый отсчитывается от 1-го дня последнего менструального кровотечения, второй отсчитывает время гестации от дня зачатия (этой датой считается день овуляции). Эмбриональный срок на 2 недели короче акушерского.
При процедуре УЗИ основой считается акушерский способ отсчета. Сама процедура не является вычислительным механизмом для расчета периода гестации. Она заключается в определении степени развития плода и соотнесения данных с акушерским сроком.
Точность УЗИ (по определению количества недель беременности) прямо зависит от самого срока гестации:
- до 12 недель – точность составляет 1-2 дня;
- с 12 по 28 недель – погрешность составляет неделю в обе стороны;
- после 28 недели погрешность увеличивается.
После 12 недели точность определения срока беременности существенно снижается
Срок УЗИ не совпадает с акушерским: причины
Отклонение на 14 дней в обе стороны не считается патологией, акушерская практика это допускает.
Например, если сроки по УЗИ превосходят акушерские расчеты в начальном периоде гестации, причиной может быть ошибка в определении акушерского срока, связанная с тем, что практически сразу после оплодотворения были небольшие кровянистые выделения, которые женщина приняла за месячные. Второй причиной могут быть крупные размеры плода.
Нужно при исследовании учитывать наследственность малыша. У крупных родителей могут быть дети больших размеров, у низкорослых миниатюрных пар и детки могут иметь маленький размер. Также плод на УЗИ может быть меньше по размеру, чем должен быть по расчетному сроку, если врач записал эмбриональный срок. На этом естественные причины заканчиваются.
Что делать при несоответствии размеров плода акушерскому сроку?
Посоветоваться с лечащим врачом. Он проведет осмотр, определит высоту матки и измерит окружность живота, оценит показания состояния матери и предложит либо госпитализацию, либо повторное обследование через неделю.
От госпитализации и повторного обследования не нужно отказываться, потому что от этого зависит не только состояние будущей мамы, но и жизнь ее чада.
В стационаре могут провести дополнительные обследования, которые либо покажут, что все нормально, либо помогут назначить адекватное лечение.
Ультразвуковая диагностика – это искусство. Многое зависит от квалификации врача. Хороший специалист на точной аппаратуре способен определить беременность вагинальным датчиком на сроке от 3 недель (по акушерскому методу). Но фактически, во сколько недель врач сможет подтвердить беременность, зависит от конкретного случая.
Источник: https://vedmed-expert.ru/prenatal/kogda-na-uzi-vidno-embrion.html
Узи в 6 недель беременности

На 6 неделе беременности почти каждая женщина знает или догадывается о своём положении.
Кроме задержки менструации ее начинают беспокоить слабость, вялость, сонливость, тошнота и другие признаки, характерные для этого периода вынашивания плода.
Ультразвуковое исследование может подтвердить возникшие догадки. В каких случаях выполняют УЗИ на 6 неделе беременности? На какие вопросы оно может ответить?
Цель
Проведение УЗИ в 6 акушерских недель соответствует возрасту эмбриона 4 недели. Зародыш ещё очень мал, поэтому с помощью ультразвуковой диагностики ещё невозможно выявить аномалии и особенности его развития.
Одновременно в этот период идут процессы закладки органов и систем, интенсивно делятся клетки. Поэтому нежелательно без причин вмешиваться в процесс развития эмбриона.
Хотя вред ультразвука не был доказан, лучше повременить с обследованием до момента первого скрининга.
Однако в некоторых ситуациях выполнение УЗИ на сроке 6 недель необходимо. Целями проведения ультразвуковой диагностики в этот период являются:
- подтверждение факта беременности;
- установление возраста эмбриона;
- определение количества плодов в матке;
- оценка жизнеспособности эмбриона;
- диагностика внематочной беременности;
- выявление признаков угрожающего выкидыша;
- обнаружение патологии и особенностей репродуктивных органов матери.
Что представляет
УЗИ на шестой неделе беременности проводится в большинстве случаев трансвагинальным способом. Женщине в положении лёжа на спине с согнутыми ногами в коленях вводят датчик во влагалище. Бояться передачи инфекций таким образом не стоит, так как на датчик надевают презерватив.
Беременной за 2-3 дня до осуществления ультразвукового исследования рекомендуется избегать употребления продуктов, вызывающих повышенное газообразование в кишечнике (бобовые, сдоба, сырые овощи и фрукты и др.) Непосредственно перед процедурой УЗИ необходимо освободить мочевой пузырь.
При невозможности проведения обследования трансвагинальным способом используют трансабдоминальное УЗИ. При этом датчик с использованием специального геля водится по животу.
За пару дней до обследования необходимо соблюдение диеты для того, чтобы не допустить усиленного скопления газов в кишечнике. Это может помешать ультразвуковому исследованию и дать нечёткое изображение.
За 30-60 минут до УЗИ необходимо выпить 1-1,5 литра воды до возникновения среднего желания к мочеиспусканию.
Что можно увидеть
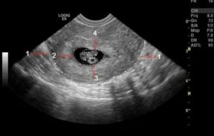
В 6 недель вынашивания эмбриона при проведении ультразвукового исследования на фоне утолщенного гиперэхогенного эндометрия определяется плодное яйцо. Оно представляет собой округлое или овальное анэхогенное образование с гиперэхогенным ободком.
Внутренний диаметр плодного яйца в этом сроке составляет порядка 22 миллиметров. Начиная с 5 недель беременности его размер увеличивается на 1-2 мм.
При несоответствии его размеров с предполагаемым акушерским сроком производят контрольное ультразвуковое исследование через 3-5 дней.
В плодном яйце уже должны визуализироваться эмбрион и желточный мешок. Располагаясь эксцентрично, они формируют изображение на мониторе в виде двойного пузырька. Желточный мешок определяется как округлое тонкостенное образование с анэхогенным содержимым внутри.
Его нормальная величина составляет 3-5 мм в диаметре. Функцией этого образования является питание эмбриона до тех пор, пока не сформируется плацента, которая займётся этим.
Отсутствие желточного мешка или его увеличение более 6 мм может говорить о неразвивающейся беременности.
Эмбрион определяется через 3 недели после зачатия. На шестой неделе он имеет вид головастика. Хотя многие органы уже закладываются, выявить пороки и аномалии развития эмбриона не представляется возможным.
Главным и пока единственным измеряемым размером плода является копчико-теменной размер. В 6 недель он составляет 6 миллиметров. КТР равен длине эмбриона от головки до копчика.
Основываясь на его значении, устанавливают срок беременности и возможную дату родов.
В одном из яичников обнаруживается желтое тело на месте вышедшей яйцеклетки. Его величина составляет в среднем 16-20 мм. При проведении допплерометрии регистрируется повышенный кровоток в нем.
Желтое тело продуцирует прогестерон, который способствует сохранению беременности.
По мере формирования и роста плаценты функцию выработки этого гормона берет на себя плацента, и желтое тело рассасывается.
Диагностика внематочной беременности
Одним из показаний для проведения ультразвукового исследования на 6 неделе беременности является подозрение на внематочное расположение плодного яйца. Подобный диагноз зачастую устанавливается именно в этом сроке. Плодное яйцо может обнаруживаться в одной из маточных труб, в цервикальном канале, в брюшной полости.
В случае если возникает вопрос о сроке беременности, можно определить уровень хорионического гонадотропина. При его значении 1500 ед/мл и больше плодное яйцо должно быть обнаружено в матке. Если этого не происходит, то говорят о внематочной беременности.
При выполнении УЗИ следует учитывать, что при эктопическом расположении эмбриона в центре матки может визуализироваться ложное плодное яйцо. Оно представляет собой анэхогенное образование округлой или неправильной формы диаметром до 10 мм.
Образуется оно из децидуально изменённого эндометрия.
При выявлении жидкости в малом тазу необходимо исключить нарушенную маточную беременность с развитием внутрибрюшного кровотечения.
Неразвивающаяся беременность
В сроке 6 недель при проведении ультразвукового исследования подозрение на неразвивающуюся беременность может возникнуть при несоответствии размеров плодного яйца акушерскому сроку. В таком случае проводят контрольное обследование с оценкой динамики его роста через неделю. Прирост плодного яйца каждый день должен составлять 1-2 мм.
При диаметре плодного яйца 20 мм и больше должны визуализироваться эмбрион и желточный мешок. В обратном случае говорят об анэмбрионии. Жизнеспособность зародыша оценивают по его сердцебиению.
При копчико-теменном размере эмбриона 6 мм и более в обязательном порядке должно регистрироваться его сердцебиение. Если оно отсутствует, то это свидетельствует о гибели плода.
Если сердцебиение оказывается меньше 100 или больше 200 ударов в минуту, то такое состояние эмбриона считается угрожающим и требует срочной терапии.
Дополнительно можно выявить
На малом сроке вынашивания эмбриона при выполнении ультразвуковой диагностики можно выявить признаки угрозы прерывания. Это может быть обнаружение субхориальной гематомы, отслойки хориона или раскрытие цервикального канала шейки матки. Также может быть выявлен локальный тонус матки.
УЗИ в малом сроке вынашивания эмбриона имеет большую информативную значимость при диагностике патологии и особенностей половых органов женщины. Могут быть обнаружены миома матки, двурогая матка, новообразования яичников и др.
Заключение
Осуществление ультразвуковой диагностики на 6 неделе вынашивания плода имеет большую значимость для диагностики жизнеспособности эмбриона и внематочного расположения плодного яйца. Однако вынести адекватное заключение после УЗИ может только врач, оценив все результаты в совокупности с жалобами и анамнезом беременной.
Источник: https://UziKab.ru/prenatalnaya/uzi-na-6-nedele-beremennosti.html
Могут ли на УЗИ не увидеть беременность

При наступлении желанной беременности, все будущие мамы хотят достоверно убедиться в том, что плодное яйцо прикрепилось к стенке матки и формирование будущего младенца происходит нормально. Самым достоверным и удобным способом подтвердить положительный тест на беременность считается ультразвуковое исследование.
Несмотря на тот факт, что высокоточная тест-полоска, легкодоступная в аптечной сети, показывает наступление беременности, а квалифицированный акушер-гинеколог способен распознать симптомы «беременной матки», только итоговые данные УЗИ подтверждают факт гестации. Именно поэтому, в том случае, когда женщина считает, что ей удалось забеременеть, а на УЗИ не видно плодного яйца, будущие родители приходят в недоумение.
В связи с этим явлением у них возникает вопрос – может ли диагност не увидеть беременность на УЗИ? В нашей статье мы хотим предоставить информацию о том, на каком сроке задержки менструации возможно подтвердить завершение процесса зачатия, когда ультразвуковой сканер позволит врачу разглядеть эмбрион и можно ли на УЗИ не увидеть беременность.
Как обследуют будущих мам?
Если тест на беременность оказался положительным, подтвердить это можно на ультразвуковом исследовании – диагностику осуществляют в коммерческом центре или в женской консультации. Важно знать, что немаловажную роль в получении достоверных результатов обследования играет аппаратура, имеющая высокий уровень разрешения и функциональных возможностей, а также квалификация специалиста.
До 9 акушерских недель для обследования беременных женщин используют два способа:
- Трансабдоминальный – через область передней брюшной стенки.
- Трансвагинальный – с помощью трансдьюсера, который вводят во влагалище.
До 5 недель сформированное плодное яйцо очень мало – его размер составляет всего около двух миллиметров. Результативным методом диагностики эмбрионального периода считается именно трансвагинальный – его высокочастотный датчик дает возможность максимально приблизиться к маточной полости и передать на экран монитора мельчайшие размеры исследуемых органов.
Методика обследования будущей мамы с помощью высокочастотных волн неинвазивная и абсолютно безвредная – она позволяет врачу безопасно наблюдать за развитием плода
За весь период гестации женщине выполняют не менее трех ультразвуковых сканирований. Сеанс исследования кратковременный, врач старается не задерживать датчик долго на одном месте, особенно в период формирования важнейших органов и систем будущего младенца.
Что смотрят на ультразвуковом исследовании?
Основной целью проведения УЗИ в эмбриональном периоде является подтверждение наступления беременности, особенно актуален этот вопрос в случае экстракорпорального оплодотворения. Перед врачом-диагностом ставится несколько задач:
- Подтверждение фиксации плодного яйца в матке.
- Исключение наличия новообразования в маточной полости, которое может «маскироваться» под беременность.
- Оценивание жизнеспособности эмбриона.
- Исключение внематочной беременности.
- Определение наличия второго плода.
- Изучение локализации плаценты и зародыша.
- Уточнение сроков гестации.
В гинекологической практике существует один важный момент, который должны знать все будущие мамочки: врач измеряет сроки периода беременности в акушерских неделях – от первого дня последней менструации.
Именно поэтому разница между реальным и акушерским сроком зачатия ребенка составляет две недели. У женщины репродуктивного возраста с нормальным менструальным циклом распознавание беременности при трансвагинальном исследовании происходит не позже пяти недель.
Если цикл нерегулярный – определение точного срока по месячным затруднительно.
В какие сроки на узи не видно эмбриона?
Признаками жизнеспособной беременности являются следующие факторы, которые фиксирует ультразвуковой сканер:
- наличие различимых очертаний зародыша в яйце;
- прослушивание сердцебиения плода;
- фиксация малейших движений эмбриона.
У каждой женщины период вынашивания ребенка протекает индивидуально и точно сказать – сколько времени должно пройти, чтобы врач смог рассмотреть плод в виде точки и услышать ритм его сердца, очень сложно.
В акушерской практике существуют определенные нормативные сроки проведения ультразвуковой диагностики беременным женщинам. При этом учитывается, что трансвагинальное сканирование позволяет изучить происходящие изменения раньше трансабдоминального. Чтобы наши читатели смогли оценить качество этих методик, мы предоставляем сравнительную таблицу.
| Измерение (недель) | Вагинальное УЗИ | Поверхностное УЗИ |
| Диагностирование эктопической беременности (вне полости матки) | 4–5 | 5–6 |
| Срок визуализации эмбриона | 5 | 6 |
| Шевеление плода | 5–6 | 7–8 |
| Мониторинг сердечной деятельности | 5–6 | 6–7 |
Начало сокращений сердечной мышцы будущего малыша приходится на срок с 3 до 4 недель и уловить его возможно только с помощью трансдюсера (специального узкого вагинального датчика). Случается, что врач-узист не может ничего разглядеть в плодном яйце и рекомендует прийти на обследование через 7–14 дней.
Именно частота сокращений мышцы сердца эмбриона позволит врачу уточнить срок гестации:
- в 5 акушерских недель частота сердечных сокращений составляет до 85 уд/мин;
- в 6 – от 102 до 126;
- в 7 – от 127 до 149;
- в 8 – от 150 до 172;
- в 9 – 175.
Если в 7 акушерских недель в плодном яйце не будет наблюдаться параметров эмбриона и не будет прослушиваться сердечный ритм, ставится предварительный диагноз анэмбрионии – отсутствия эмбриона в плодном яйце. Однако и в этом случае женщине рекомендуется прийти на дополнительное УЗИ спустя еще 7 дней.
Параметры эмбриона
В норме плодное яйцо имеет овальную форму и темно-серый оттенок. Для полноценного наблюдения за формированием плода на УЗИ измеряют следующие показатели.
| Параметр (мм) | Акушерские недели | |||||
| 4 | 5 | 6 | 7 | 8 | 9 | |
| Внутренний контур диаметра плодного яйца | 10 | 18 | 22 | 24 | 30 | 33 |
| Величина копчико-теменного размера | 2–3 | 4–5 | 7–9 | 11–15 | 16–22 | 23–30 |
На отчетливую видимость плода на мониторе ультразвукового аппарата оказывают влияние многие факторы и, если эмбрион не видно, не стоит паниковать – следует подождать две недели и повторить исследование.
В начале беременности эмбрион напоминает букву «С», по мере его роста внешний вид изменяется – в 8 недель уже можно рассмотреть и голову, и выделенные конечности
Почему при растущем уровне ХГЧ на УЗИ не видно плода?
Плодные оболочки формирующегося младенца производят особое вещество – хорионический гонадотропин человека, свидетельствующий о состоявшемся зачатии. В I триместре показатели количества этого протеина-гормона в циркулирующей крови женщины растут очень быстро – в первые недели его концентрация удваивается в течение каждых вторых суток.
На каком сроке прослушивается сердцебиение плода на УЗИ?
Контроль динамики роста уровня ХГЧ позволяет акушер-гинекологам сделать точный вывод о развитии беременности.
Если при оценивании количества данного биологически активного вещества, наблюдается возрастание его количества, врач с точной уверенностью подтверждает наступление и благополучное развитие беременности. Каждая женщина хочет узнать о наступлении беременности пораньше, однако точность результатов УЗИ на второй неделе задержки месячных очень невысокая – лучше подождать до пятой недели.
Если при положительных тестах ХГЧ (в случае, когда количественные итоговые данные анализов соответствуют предположительному сроку гестации) на УЗИ беременность не определяется, то нужно прийти на дополнительное обследование. Уровень ХГЧ более 1800 мЕД/мл соответствует третьей неделе беременности и, если ультразвуковой сканер не наблюдает в маточной полости плодное яйцо, врач предполагает развитие эктопической беременности.
Отсутствие роста показателей ХГЧ (отрицательный тест) может указывать на тот факт, что развитие эмбриона не происходит – либо он погиб, либо оплодотворения яйцеклетки в этом цикле не произошло.
Далеко не всем женщинам известно такое явление, как биохимическая беременность или преклинический спонтанный выкидыш.
В этом случае зачатие происходит, плодное яйцо прикрепляется к маточной стенке, однако при наступлении срока очередных месячных – беременность прерывается.
Следует также сделать акцент на тех ситуациях, когда на УЗИ беременность не видно, а тест положительный – особенное значение имеет мониторинг уровня ХГЧ, необходимо сдавать анализ крови несколько раз, с интервалом в несколько дней. Итоговые данные лабораторных исследований позволяют определить соответствие концентрации гормона норме и его повышение.
Практикующие специалисты советуют будущим родителям постараться не форсировать события, исключение возможно лишь тогда, когда необходимо как можно срочно подтвердить или опровергнуть наступившую беременность
Как поступить, если при ультразвуковом сканировании беременность не обнаружена?
В случае возникновения ситуации, когда врач-узист не может увидеть очертания эмбриона, а иногда и самого плодного яйца, необходимо постараться сохранить спокойствие и не поддаться на ложные убеждения! Это возможно в случае отсутствия гестации или ее срок очень мал, чтобы заметить на мониторе. Без наличия абсолютных доказательств прервавшей развитие беременности проводить выскабливание полости матки нельзя!
Следует обратиться в другую клинику и пройти обследование повторно – лучше это сделать на аппаратуре экспертного класса, обладающей высокой разрешающей способностью.
Также необходимо, чтобы УЗИ сопровождалось исследованиями крови на уровень ХГЧ. Возможно, обследование потребуется пройти несколько раз.
Будущие родители должны приложить все усилия, чтобы ошибки диагностических методов не стоили жизни ребенка!
Источник: https://apkhleb.ru/uzi/mogut-ne-uvidet-beremennost
На узи не видно эмбриона: причины

Когда наступает долгожданная беременность, оплодотворенная яйцеклетка опускается в маточную полость и прикрепляется к ее стенке. Таким образом, происходит развитие эмбриона, окруженного плодным яйцом.
Первый месяц, с даты произошедшего оплодотворения, эмбрион такой маленький, что визуализировать его очень сложно.
Именно поэтому первое УЗИ делают в 6-7 недель, чтобы можно было рассмотреть эмбрион и подтвердить наступление беременности.
Почему на УЗИ не видно эмбриона?
Бывает, что женщина, которая увидела долгожданные две полосочки на тесте, приходит к врачу и слышит: «Плодное яйцо пустое, на УЗИ не видно эмбриона». Это явление имеет название анэмбриональная беременность.
Если беременной женщине ставят анэмбрионию, это означает что при росте уровня ХГЧ в составе крови в плодном яйце отсутствует эмбрион. Точно сказать сложно, на какой именно неделе специалисты смогут увидеть эмбрион на УЗИ. Этот срок колеблется от 5 до 9 недель, в зависимости от определенных факторов:
- Особенности организма каждой конкретной женщины.
- Правильность подсчета срока от даты зачатия.
- Какая именно беременность по счету. С каждой последующей беременностью вероятность выявить эмбрион раньше существенно растет.
Среднестатистически определено, что визуализация эмбриона осуществима в 7 недель от даты зачатия, при активном проходящем росте уровня ХГЧ в крови.
Однако, если даже на таком сроке специалисты не увидели эмбрион в плодном яйце, впадать в панику нужно только если остановился рост уровня ХГЧ или же он пошел на спад. Такая картина свидетельствует о том, что беременность замершая.
Однако, удостовериться в этом лишний раз не помешает, поэтому стоит перепроверить все у другого врача или же сделать УЗИ трансвагинально.
Женщине нужно обратиться к врачу, если через несколько недель после остановки роста уровня ХГЧ эмбрион не видно в плодном яйце даже при исследовании трансвагинально, при этом срок беременности близиться к девяти неделям. Остановка роста эмбриона и начало его разложения может сопровождаться такими сопутствующими симптомами:
- Беспричинный скачек температуры тела.
- Появление тошноты и рвоты.
- Постоянная слабость, мышечная боль.
- Боль внизу живота.
- Появление выделений с кровяными примесями или же открывшегося кровотечения.
Не стоит затягивать с визитом к врачу и откладывать процедуру выскабливания. Разложение эмбриона может грозить женщине появлением серьезных проблем со здоровьем.
На каком сроке должно быть видно эмбрион на УЗИ?
В период ожидания появления на свет малыша женщина задается вопросом, на каком сроке эмбрион смогут рассмотреть на УЗИ? Во время диагностики на сроке 5-6 недель плодное яйцо в диаметре около семи миллиметров. На этом сроке в большинстве случаев врач уже визуализирует эмбрион. Примерно в это время также удается услышать, как бьется его сердечко.
При наличии регулярного цикла менструации в конце шестой недели должен быть виден эмбрион. Если на УЗИ не видно эмбриона, рекомендуется пройти повторное исследование через неделю, чтобы исключить все возможные отклонения.
Бывают также случаи, когда плодное яйцо находится за пределами матки. Во время УЗИ яйцо просматривается недостаточно хорошо, или его вовсе не видно. При этом биение сердца прослушивается вне стенок матки.
Что делать, если на УЗИ не видно плод и что это может значить?
Бывают ситуации, что в процессе проведения УЗИ эмбрион не визуализируется внутри плодного яйца, а иногда и само плодное яйцо. Нужно, в первую очередь, постараться не паниковать. Может быть беременности и вовсе нет, или же произошла ошибка с подсчетом ее срока, поэтому еще сложно проводить диагностику.
Если замершая беременность точно не подтвердилась, не нужно спешить с проведением чистки. Сначала лучше пройти УЗИ еще раз, в другой клинике. Может быть возникнет необходимость проводить еще одно или несколько исследований. Оптимальный вариант – когда параллельно диагностике контролируют уровень ХГЧ в крови. Если беременность развивается без отклонений, то его уровень растет.
Это помогает специалистам исключить возможную замершую беременность.
Если на УЗИ в плодном яйце не видно эмбриона — что это значит?
Очень часто плодное яйцо без эмбриона диагностируют в полости матки у молодых и здоровых девушек. Почему не видно плод на УЗИ, и можно ли избежать замершей беременности?
Причин такого явления существует огромное множество. К этому могут привести инфекции различной этиологии, воздействие на организм токсических веществ и т.д.
Снизить к минимуму возможность того, что на УЗИ не будет видно эмбриона, можно, заранее планируя свою беременность, чтобы точно рассчитать гестационный срок. Также, нужно проходить обследования и перед тем, как планировать зачатие малыша, вылечить все имеющиеся инфекции.
Это особенно важно для женщин, которые планируют беременность в возрасте старше 35 лет. У этой категории значительно выше риск появления у плода хромосомных аномалий.
Отсутствие эмбриона в плодном яйце зачастую во время беременности не подает женщине никаких признаков. Могут появиться кровяные выделения в том случае, если начался выкидыш.
Даже гинеколог во время осмотра не сможет точно сказать, есть в плодном яйце эмбрион, или же оно пустое. Диагноз анэмбрионии может ставить только врач, который проводил ультразвуковое исследование на сроке не ранее 5-6 недель.
Если гестационный срок считают с первого дня начала последней менструации, то визуализировать эмбрион врач на УЗИ сможет на 1-2 неделях задержки.
Крайне редко пациентке после УЗИ ставят неверный диагноз, поэтому при отсутствии эмбриона в плодном яйце необходимо проверить результат через неделю на другом оборудовании, если возникли сомнения в профессионализме врача или качестве аппарата УЗИ. Не исключена ошибка и по другим причинам: маленький срок беременности или поздно произошедшая овуляция, лишний вес женщины и гипертонус матки.
Почему можно не увидеть эмбрион на УЗИ?
Если тест на беременность показывает две полоски, а на УЗИ эмбрион не визуализируется, причиной этому может быть:
- Некорректный расчет срока беременности с момента зачатия. Эмбрион может быть не видно потому, что женщина слишком рано проводит исследование.
- Ультразвуковую диагностику проводили на старом аппарате или же специалист не имел должного уровня квалификации.
- Исследование делали через живот, а не трансвагинально.
- У беременной случился выкидыш, а она не обратила на это внимания (перепутала его с началом месячных), при этом уровень ХГЧ в крови еще не снизился до прежнего значения.
Если на УЗИ не видно эмбриона в плодном яйце, не стоит сразу паниковать. По ряду причин диагноз анэмбрионии может быть ошибочно поставлен, поэтому необходимо контролировать уровень ХГЧ в крови и пройти диагностику еще раз.
10 октября, 2017 by anna
Источник: https://krasivaya24.com/na-uzi-ne-vidno-embriona-prichiny/
Что покажет УЗИ на 6-й акушерской неделе беременности: размеры плода, нормы и отклонения

Первый триместр является самым важным этапом роста и развития зародыша. В этот период происходит формирование основных систем организма. УЗИ на 6 неделе беременности не относят к плановым обследованиям. Исследование помогает установить наличие зародыша в полости матки и определить грубые патологии развития.
Можно ли делать УЗИ на 6 неделе
Ультразвуковое исследование на 6 неделе не имеет абсолютных противопоказаний. Оно не влияет на состояние плода и самочувствие женщины. Поэтому УЗИ повсеместно используют для пренатальной диагностики внутриутробной патологии.
На сегодняшний день установление факта беременности производится лабораторными (определение уровня ХГЧ и прогестерона) и инструментальными (УЗИ полости матки) методами. К преимуществам ультразвуковой диагностики относят:
- быстроту;
- точность;
- возможность оценить состояние плодного яйца.
Исходя из вышеперечисленного, показания для проведения УЗИ на 6 (8 акушерской) неделе беременности следующие:
- установление факта беременности;
- определение акушерского срока;
- оценка состояния плода и матки;
- выявление грубых пороков развития.
Также целесообразно тщательно обследовать женщин, имеющих неблагоприятный акушерский анамнез. Это пациентки с осложнениями во время предыдущих беременностей, хроническими воспалительными заболеваниями органов малого таза и другими соматическими болезнями, оказывающими влияние на плод.
Рекомендуем к просмотру сюжет о беременности на данном периоде:
Как делают УЗИ на раннем сроке
На 6 (8 акушерской) неделе УЗИ проводится как трансабдоминально, так и интравагинально. Второй метод является приоритетным, так как позволяет тщательнее исследовать полость матки.
Подготовка к обследованию зависит от способа проведения УЗИ. Общие рекомендации включают соблюдение диеты, которая уменьшает газообразование. За 2—3 дня до предполагаемого УЗИ следует отказаться от употребления мучного, сладкого, капусты, бобовых и молочных продуктов. Излишнее образование газов в кишечнике мешает визуализировать плодный пузырь.
Перед трансабдоминальным УЗИ пациентке необходимо выпить около 500 мл жидкости. Наполненный мочевой пузырь приближает матку к передней брюшной стенке, что значительно улучшает качество изображения.
На область живота наносится проводящий гель, который усиливает контакт датчика с кожей. Врач последовательно осматривает все органы малого таза. Оценивается размер плода и наличие аномалий развития. Также на этом сроке можно определить биение сердца и его характеристики.
В отличии от трансабдоминального, при интравагинальном исследовании рекомендуется опорожнить мочевой пузырь. Датчик вводится во влагалище. Предварительно на него одевают специальный презерватив.
Исследование проводится максимально аккуратно. Движения датчика не должны причинять женщине боль и дискомфорт. Информация, получаемая при УЗИ на 6 неделе, помогает оценить жизнеспособность плода и структуру эндометрия.
Что показывает обследование
Визуализация плода на первых неделях беременности затруднена. При исследовании врач обнаруживает зародыша и желточный мешок. На экране видны две едва уловимые тени. Отдельные части будущего человека на таком сроке рассмотреть невозможно.
Одной из наиболее важных характеристик является величина зародыша. На УЗИ в 6 недель беременности размер плодного яйца составляет 25 мм, а вес не превышает 1 грамм.
Для оценки развития необходимо определить сердцебиение. В норме частота сердечных сокращений в 6 недель составляет от 110 до 150 ударов в минуту. Значительное урежение сердечного ритма указывает на тяжелое состояние зародыша и требует срочной коррекции.
Для выявления внутриутробных инфекций измеряют объем околоплодных вод. В этот период он составляет от 2,5 до 3 мл. Изменение этого параметра указывает на патологию беременности.
Также в процессе исследования можно выявить многоплодную беременность. На УЗИ двойня или близнецы видны уже в 5—6 недель. На мониторе можно рассмотреть 2 гипоэхогенных (темных) неоднородных образования, внутри которых находятся просветления (зародыши).
К просмотру как выглядит одноплодная беременность данного этапа на УЗИ:
Возможные патологии
В процессе ультразвукового исследования могут быть обнаружены следующие патологии: маленькое плодное яйцо, замершая беременность, отсутствие эмбриона в матке, внематочная локализация плодного яйца, ретрохориальная гематома.
- Малые размеры плодного яйца могут быть как разновидностью нормы, так и признаком серьезного нарушения. В первом случае несоответствие размеров плодного яйца периоду вынашивания может свидетельствовать о поздней имплантации или неправильно установленном сроке беременности. При этом, других патологий со стороны плода или матери не наблюдается.
- Если же помимо низких темпов роста наблюдается урежение ЧСС, стоит заподозрить замершую беременность, которая приводит к неизбежной гибели плода. В подобной ситуации необходимо оперативно извлечь мертвый эмбрион из полости матки. В противном случае высок риск инфекционных осложнений.
- Среди прочих патологий часто встречается анэмбриония (отсутствие эмбриона). Причинами этого состояния могут быть инфекции, эндокринные нарушения, генетические аномалии. На УЗИ в этом случае видно только плодное яйцо (эмбрион не визуализируется).
- Внематочная беременность характеризуется расположением плодного яйца за пределами полости матки. Это состояние относят к жизнеугрожающим, поэтому женщину госпитализируют для обследования и определения тактики ведения.
На видео внематочная беременность:
Ультразвуковое исследование на 6 неделе беременности помогает диагностировать патологии со стороны матери или плода. Раннее выявление заболеваний улучшает прогноз и течение беременности.
Если вы проходили УЗИ на 6 неделе беременности, расскажите о своем опыте другим пользователям. Делайте репост. Будьте здоровы.
Источник: https://uziman.ru/pri-beremennosti/uzi-na-6-nedele-beremennosti
Узи на 6 неделе беременности: размеры плода, что показывает и как делают, если не видно эмбрион, видно только плодовое яйцо, двойня, фото

Первый триместр является самым важным этапом роста и развития зародыша. В этот период происходит формирование основных систем организма. УЗИ на 6 неделе беременности не относят к плановым обследованиям. Исследование помогает установить наличие зародыша в полости матки и определить грубые патологии развития.
Сложности диагностики
Несмотря на растущую популярность, врач, при проведении УЗИ на ранних сроках беременности сталкивается с рядом сложностей в интерпретации результатов.
В определенной мере, это связано с недостаточной подготовкой УЗ-специалистов (УЗ-перинатологов), даже незначительные ошибки которых, заставляют выполнять переоценку полученных данных, прибегая к услугам других врачей и сомневаться в рациональности прописанного лечения.
Поскольку результаты УЗИ в большей мере, нежели другие диагностические методы, зависят от человеческого фактора, правильная трактовка результатов, является определяющей в дальнейшем ведении беременности.
Особенно критичным является возникновение погрешности измерения на сроке 6-7 недель, когда эмбрион довольно мал и отклонения показателей на 1–2 мм, могут свидетельствовать как о патологическом состоянии, так и о неверно поставленном сроке беременности.
Определенные сложности возникают и вследствие некоторых различий референтных значений (нормальных показателей) как в разных странах, так и в различных клиниках в пределах одной страны.
Поскольку современное УЗ-оборудование, снабжено компьютерными программами, автоматически сравнивающими, полученные в результате исследования показатели с референтными значениями, основной задачей специалиста является осуществления точного и правильного измерения
Некоторые затруднения при осуществлении измерений всех частей плодного яйца, возникают из-за его маленького размера (менее 8 мм).
В связи с этим УЗИ на пятой–шестой неделе, требует от врача повышенной внимательности, так как допущенные ошибки, могут привести к неправильной тактике ведения беременности.
Развитие эмбриона начинается с момента зачатия (12–14 день менструального цикла), но акушерский срок, применяемый на практике, исчисляется с первого дня менструального цикла, поэтому он всегда на 2 недели больше.
На УЗ-снимке: в полости матки определяются 2 плодных яйца с живыми эмбрионами
Как подготовиться?
Подготовка к процедуре зависит от метода проведения УЗИ и проходит в несколько этапов:
- подготовка кишечника к проведению обследования;
- соблюдение гигиенических процедур перед посещением врача;
- наполнение мочевого пузыря водой, для получения точных результатов.
За 2–3 дня до УЗ-диагностики стоит отказаться от употребления в пищу продуктов питания, которые приводят к излишнему газообразованию в желудке. Стоит исключить из рациона специи, бобовые, газированную воду и т.д.
Перед тем как отправиться на прием к доктору рекомендуется принять душ. Провести гигиенические процедуры половых органов.
Особенно это актуально для тех пациенток, которым предстоит проведение УЗИ трансвагинальным методом.
В 1 триместре исследование рекомендуют проводить с наполненным мочевым пузырем. Перед процедурой советуют выпить около 500 мл чистой воды. Это поможет разглядеть плод и матку лучше, но в некоторых случаях пить воду необязательно. По этой причине стоит уточнить об этом у лечащего врача или медсестры.
Цель исследования
Несмотря на то что УЗИ на 6 неделе беременности не является обязательной процедурой, его проведение целесообразно как у пациенток, имеющих в анамнезе замершую беременность, самопроизвольный аборт и другие патологии, так и пациенток, не имеющих достаточно данных о вероятности нормального развития беременности.
Основной целью УЗИ на раннем сроке, является:
Сколько УЗИ делают за беременность?
- необходимость подтверждения факта беременности;
- исключение вероятности замершей беременности;
- исключение вероятности развития внематочной беременности;
- определение точного срока гестации;
- исключение таких патологических состояний, как пузырный занос;
- оценка функциональной полноценности желтого тела;
- выявление многоплодной беременности;
- оценка локализации плодного яйца в полости матки;
- полная оценка жизнеспособности эмбриона.
Критериями оценки жизнеспособности эмбриона служит комплекс следующих признаков:
- отсутствие двигательной активности, которая уже должна появиться к 4 неделям развития (6 акушерским неделям);
- снижение частоты сердечных сокращений;
- несоответствие размеров плодного яйца, размерам, находящегося внутри эмбриона;
- неровность контуров плодного яйца и наличие зоны кровоизлияния.
Важно! Если при УЗИ в полости матки полностью отсутствуют эхосигналы, в то время как лабораторные анализы свидетельствуют о наличии беременности, необходимо провести повторное обследование с интервалом в неделю, для исключения вероятности ошибки в постановке срока.
Как делают?
Исследования на таком сроке может проводиться двумя способами:
- УЗИ через переднюю брюшную стенку. Эта процедура считается менее информативной, но более безопасной. К тому же не все медицинские учреждения оснащены соответствующим оборудованием для проведения исследования другим методом.
- УЗИ трансвагинальное с введением особо чувствительного датчика во влагалище женщины. Обладает высокой точностью, используется при отсутствии противопоказаний. Помогает не только наиболее точно определить срок беременности, но и наличие патологий у плода, что крайне важно.
Если говорить о том обследовании, которое проводят через переднюю брюшную стенку. То оно мало чем отличается от любой другой процедуры УЗИ. Женщину укладывают на кушетку, наносят на область живота высокочувствительный гель и приступают к проведению диагностики ультразвуком. Специалист будет разговаривать с пациенткой, сообщать о состоянии плода, по завершении процедуры выдаст заключение.
Источник: https://SenoritaMed.ru/uzi/na-6-nedele-beremennosti.html