На каком сроке виден желточный мешочек. Плодное яйцо без эмбриона

Желточный мешок – это зародышевый орган, содержащий запас питательных веществ для эмбриона. Желточный мешочек сохраняется на протяжении всего I триместра и самостоятельно рассасывается после 12 недель. Форма и размеры желточного мешка являются одним из важнейших показателей течения беременности на самых ранних ее сроках.
Происхождение
Желточный мешок формируется из особой структуры – эндобластического пузыря – на 15-16 день развития эмбриона (или на 29-30 день от последней менструации).
В этот период женщина может еще не знать о своем изменившемся статусе, и только задержка менструации указывает на возможное зачатие ребенка. Желточный мешок развивается вместе с плодным яйцом и другими структурами зародыша по заданной природой программе.
Любые отклонения от генетически запрограммированного ритма могут привести к прерыванию беременности.
Желточный мешок представляет собой замкнутое кольцо, расположенное внутри хориальной полости. Функционирует он недолго – всего 12-14 недель. В начале II триместра желточный мешок начинает уменьшаться в размерах. После 14 недель образование бесследно исчезает, выполнив все возложенные на него функции.
Роль желточного мешка
Желточный мешочек – временный (провизорный) орган, однако без него невозможно нормальное течение беременности и развитие эмбриона. На ранних стадиях размеры желточного мешка превышают размер эмбриона и амниотической полости. Желточный мешок активно растет с 6 по 12 неделю гестации, после чего постепенно уменьшается в размерах и полностью исчезает.
На 18-19 день от зачатия желточный мешок становится очагом кроветворения. В его стенках образуются участки эритропоэза, и формируются первые красные кровяные клетки. В дальнейшем здесь образуется разветвленная сеть капилляров. Первичные эритроциты, выходя из желточного мешка, попадают в кровеносную систему эмбриона и разносятся с током крови по всему организму.
С 28 дня от момента зачатия желточный мешок начинает выработку первичных половых клеток эмбриона. В дальнейшем половые клетки мигрируют из желточного мешка и попадают к закладкам гонад (половых желез).
4-5 неделя беременности – важный этап в развитии половой системы плода.
Любые негативные воздействия в этот период (инфекции, облучение, прием лекарственных препаратов) могут нарушить формирование половых желез эмбриона и стать причиной бесплодия.
Со 2 по 6 неделю беременности желточный мешок выполняет роль печени для эмбриона. В стенках желточного мешка синтезируются важные белки и ферменты, необходимые для нормального развития всего организма.
В частности, здесь вырабатывается АФП (альфа-фетопротеин). В кровеносной системе плода АФП связывается с ПНЖК (полиненасыщенными жирными кислотами) и переносит их ко всем клеткам и тканям.
Также АФП подавляет иммунную реакцию на вновь синтезируемые белки, позволяя метаболическим процессам проходить в нужном ритме.
Другие функции желточного мешка:
- регуляция иммунной системы плода;
- синтез гормонов;
- создание условий для адекватного обмена веществ;
- выведение продуктов обмена.
Все свои функции желточный мешок выполняет до тех пор, пока в организме плода не сформируются основные внутренние органы и не возьмут на себя эту работу. После 12 недель необходимость в желточном мешке отпадает. К началу II триместра от желточного мешочка остается лишь небольшое кистозное образование у основания пуповины.
Желточный мешок на УЗИ
При ультразвуковом исследовании трансвагинальным датчиком желточный мешок определяется с 6 по 12 неделю беременности. Допускаются незначительные отклонения (до 2 недель) в любую сторону. Отсутствие на УЗИ желточного мешочка – неблагоприятный признак, свидетельствующий о серьезных нарушениях в течении беременности.
При проведении УЗИ врач оценивает расположение, форму и размер желточного мешка. Размеры желточного мешочка будут зависеть от срока гестации.
Нормы желточного мешка по неделям:
Важно помнить: размер желточного мешка быстро меняется на ранних сроках беременности. Незначительные отклонения не должны пугать беременную женщину и не могут быть основанием для постановки серьезных диагнозов.
Если размер желточного мешочка не соответствует норме, врач должен внимательно осмотреть эмбрион, определить локализацию плодного яйца и другие параметры. При необходимости проводится повторное УЗИ через 1-2 недели.
Сроки для проведения УЗИ:
На сроке 6-7 недель проводится первое ультразвуковое исследование во время беременности. В ходе процедуры врач подтверждает факт наступления беременности и определяет ее срок.
Доктор обозначает расположение плодного яйца (в матке или за ее пределами), оценивает состояние и локализацию желточного мешка и хориона. Определяются размеры плода, их соответствие сроку беременности и размерам желточного мешочка.
В 6 недель также выслушивается сердцебиение эмбриона и оценивается его жизнеспособность.
На сроке 12-14 недель проводится первый ультразвуковой скрининг. Во время процедуры врач оценивает состояние эмбриона, хориона и желточного мешка. В этот период желточный мешочек достигает своих максимальных размеров. При проведении УЗИ в более поздние сроки желточный мешок начинает рассасываться и не всегда визуализируется на экране. После 14 недель желточный мешок в норме не определяется.
- отсутствие желточного мешка на сроке до 12 недель;
- утолщение желточного мешка более 7 мм или уменьшение менее 2 мм;
- изменение формы желточного мешка.
В комплексе с другими симптомами эти состояния могут указывать на высокий риск прерывания беременности в I триместре. Для уточнения диагноза может потребоваться дополнительное обследование на аппарате экспертного класса.
Патология желточного мешка
При проведении УЗИ врач может выявить такие состояния:
Желточный мешок не визуализируется
В норме желточный мешок определяется на УЗИ в период с 6 по 12 неделю. Отсутствие желточного мешка – неблагоприятный признак.
Если столь важный орган по каким-то причинам рассасывается раньше времени, эмбрион перестает получать необходимые для его развития вещества. Нарушается синтез гормонов и ферментов, прекращается выработка красных клеток крови.
При преждевременной редукции желточного мешка (до 12 недель) происходит самопроизвольный выкидыш. Сохранить беременность медикаментозными средствами не удается.
Отсутствие желточного мешка на УЗИ (с 6 по 12 неделю) считается одним из признаков регрессирующей беременности. Сердцебиение эмбриона при этом не определяется, его размеры не соответствуют сроку гестации. Лечение только хирургическое. При регрессирующей беременности проводится удаление плодного яйца и выскабливание полости матки.
Желточный мешок меньше нормы
- Желточный мешочек определяется в виде рудиментарного образования.
- Размер желточного мешка не соответствует сроку беременности (меньше нормы).
Любая из этих ситуаций говорит о том, что началось преждевременное рассасывание желточного мешка.
Если на момент редукции мешочка внутренние органы плода еще не сформированы и не способны полноценно функционировать, происходит гибель эмбриона и самопроизвольный выкидыш. В некоторых случаях сокращения матки и выкидыша после гибели эмбриона не происходит.
Такое состояние носит название регрессирующая беременность.
Желточный мешок больше нормы
Основная причина такого симптома – неправильное определение срока беременности. Это возможно при нерегулярном менструальном цикле (на фоне различной гинекологической патологии или у кормящих мам). В этой ситуации врачу следует оценить размеры эмбриона и пересчитать срок беременности с учетом имеющихся данных.
Важный момент: изменение размеров, формы или плотности желточного мешка имеет значение только в комплексе с другими ультразвуковыми показателями.
При выявлении любых отклонений следует оценить состояние эмбриона (локализация, размеры, сердцебиение). Если малыш растет и развивается в соответствии со сроком беременности, не никаких причин для беспокойства.
Изменения желточного мешка в данном случае считаются индивидуальной особенностью, не влияющей на течение I триместра.
Плодное яйцо без эмбриона: что делать и почему это происходит?
Диагноз пустое плодное яйцо без эмбриона не редкость, он ставится в 5-10% случаев. Самым неприятным является то, что шансы выявить его причины минимальны. Чтобы запланированная беременность увенчалась успехом специалисты рекомендуют принимать мультивитаминные комплексы и вести здоровый образ жизни.
Так на УЗИ выглядит пустое плодное яйцо.
Почему это происходит?
Пустое плодное яйцо – это по сути беременность, которая не начала развиваться. Процесс развития прекратился еще до этапа формирования эмбриона. Причин такого нарушения достаточно много.
Любые негативные изменения в организме женщины могут его спровоцировать.
При постановке диагноза анэмбриония следует немедленно принять необходимые меры, так как это влечет за собой неизбежную гибель плода.
Среди основных причин пустого плодного яйца выделяют:
- Генетические нарушения.
- Инфекционные заболевания.
- Внешние факторы (состояние окружающей среды).
- Неправильный режим питания.
- Недостаток витаминов.
То есть в каждой конкретной ситуации определить причину образования пустого плодного яйца крайне сложно.
Генетические нарушения начинаются на первоначальном этапе деления клеток и влекут за собой последующие ошибки. Это может быть формирование лишних хромосом либо наоборот, их неполного набора.
В таком случае превращение яйца в эмбрион не происходит, организм женщины это понимает и начинает его отторгать.
Читать еще: Как лечат опухоль головного мозга: методы лечения
По статистике из 100 женщин у 5-10 нет эмбриона в плодном яйце.
Как проявляется анэмбриония?
На первоначальном этапе пустая беременность заметна не будет. Ее невозможно определить даже с помощью гинекологического осмотра.
Нарушения становятся видимыми уже на самой крайней стадии, когда организм начинает отторгать плод.
На данном этапе наблюдаются боли внизу живота, коричневые выделения из влагалища и резкий запах — и это уже признаки плодного яйца без эмбриона который организм начал отвергать.
Как меняется ХГЧ при пустом плодном яйце?
Контроль динамики показателя ХГЧ – один из способов определения пустого плодного яйца. Значения ХГЧ будут меняться, но значительно меньше, чем при нормальном течении беременности. Также возможен вариант, когда значения показателя ХГЧ стоят на месте – это основной признак существования проблем с развитием плода.
Обязательно посмотрите это полезное видео:
Симптомы пустой беременности не отличаются от обычной: это задержка менструации, проявления токсикоза, постоянное чувство усталости.
На ранних сроках крайне сложно выявить пустое плодное яйцо. Так как размеры эмбриона очень малы и его можно просто не заметить. Только по прошествии 5 недель, появляется возможность определить отсутствие плода.
Узи диагностика
Только на шестой неделе беременности пустое плодное яйцо можно диагностировать с помощью УЗИ. Оно проводится в любом случае, чтобы определить месторасположение плода, а также исключить внематочную беременность.
Такой страшный диагноз, как анэмбриония женщина может услышать даже если чувствует себя хорошо и у нее нет никаких симптомов.
Первый триместр беременности это наиболее важное время формирования плода, на данном этапе будущей маме стоит особо тщательно следить за своим здоровьем, так как угроза выкидыша очень высока.
В этом видео показано УЗИ пустого плодного яйца:
Если у женщины обнаружено пустое плодное яйцо без эмбриона потребуется сделать медицинскую коррекцию (очищение матки).
Что делать при анэмбрионии?
Если был поставлен такой неутешительный диагноз, нужно будет сделать коррекцию. Медицинская коррекция возможна с помощью двух способов.
Хирургический метод
Это наиболее распространенный вариант коррекции. Такой способ позволяет почистить полость матки без последствий. При хирургическом вмешательстве используется общая анестезия. Операция проходит очень быстро от 10 до 25 минут. Доктор должен выскоблить маточный слой и пустое плодное яйцо. Уже через пару часов женщина может отправляться домой.
Медикаментозный аборт
Аборт с применением специальных препаратов может быть использован, если срок беременности составляет меньше 6 недель. Женщина принимает лекарство и ждет когда начнутся схватки. Это больно. Вся процедура происходит в больнице под контролем врача. После того, как из матки выйдет все лишнее, женщина должна провести в больнице пару дней до того, как закончится кровотечение.
Чтобы уточнить причину нарушения развития беременности материал, полученный из матки в процессе чистки, отправляют на гистологическое исследование. Такое исследование должно выяснить причины прекращения развития эмбриона и когда именно он прекратил свое развитие.
После аборта нужно делать УЗИ.
При завершении любого из двух методов аборта нужно сделать УЗИ. Таким образом, можно удостовериться, что матка чистая и в ней не остались частички плодного яйца.
Профилактика
Проблему лучше предотвратить, чем решать ее последствия. Если обнаружено пустое плодное яйцо, то принимаются уже крайние меры. Но если при планировании беременности руководствоваться некоторыми рекомендациями, то можно снизить вероятность развития патологий.
Уменьшить риск формирования пустого плодного яйца можно следующими способами:
- обоим супругам пройти полное медицинское обследование (сделать анализы, УЗИ, проконсультироваться с гинекологом и терапевтом, чтобы исключить хронические заболевания, также рекомендуется посетить узких специалистов);
- по рекомендации специалиста начать прием мультивитаминов, в том числе фолиевой кислоты. Курс витаминов следует начать принимать за 2-3 месяца до зачатия;
- при подготовке к беременности следует отказаться от вредных привычек: употребления алкоголя, курения. Пересмотреть свой режим питания, рацион: наполнить его продуктами богатыми витаминами и минералами.
Краткий итог
Стоит заранее договориться с акушером-гинекологом, который будет вас консультировать на протяжении всей беременности. Важно понимать, что единичный случай пустого плодного яйца – это еще не приговор.
Это абсолютно не означает, что у кого-то из партнеров существуют нарушения в репродуктивной системе.
Главное не расстраиваться и продолжать попытки забеременеть (после анэмбрионии за продолжение рода можно браться через полгода), тогда все обязательно получится.
Источник: https://detdom-vidnoe.ru/for_parents/16935.php
Желточный мешок при беременности: размеры по неделям

› Зачатие ›
Желточный мешок — зародышевая структура, предназначенная для питания эмбриона, которая появляется на самых ранних сроках беременности. Он выполняет и кроветворную функцию до формирования красного костного мозга и печени.
Размеры желточного мешка при беременности по неделям являются важнейшими критериями оценки состояния ребенка в утробе до наступления второго триместра. Отклонения от нормативных параметров могут свидетельствовать о патологии.
Размер эмбриона по неделям беременности: таблица
Для каждой недели беременности характерны свои «достижения» ребенка. Поначалу он совсем не похож на будущего человека и представляет собой скопление клеток. С течением времени у эмбриона развиваются все органы и системы, формируются конечности. К концу срока вынашивания плод уже ничем не отличается от новорожденного младенца.
Размеры ребенка по неделям гестации и отличительные черты каждого периода представлены в таблице:
| Акушерская неделя беременности | Размер эмбриона, см | Особенности периода |
| 1-2 | — | Беременность фактически не наступила, поскольку овуляция еще не произошла |
| 3 | 0,015 | Яйцеклетка встречается со сперматозоидом и продвигается в сторону матки |
| 4 | 0,1 | Эмбрион размером с маковое зерно крепится к стенкам матки |
| 5 | 0,125 | Образуется желточный мешок |
| 6 | 0,2-0,4 | У эмбриона формируются конечности |
| 7 | 0,4-0,5 | Развивается головной мозг, происходит его разделение на 3 отдела |
| 8 | 1,5 | Формируются черты лица и внутренние органы |
| 9 | 2,4 | Закладывается половая система, ребенок размером со сливу |
| 10 | 3,1 | Малыш становится плодом, активно развивается мозг и другие внутренние органы |
| 11 | 4,1 | Проводится первый скрининг для выявления патологий внутриутробного развития |
| 12 | 5,3 | Плод активно двигается, на пальцах появляются ногти |
| 13 | 7,3 | Плод активно растет, у него появляются зачатки зубов и волосы |
| 14 | 8,7 | В детском организме появляются гормоны, происходит укрепление грудной клетки |
| 15 | 10,1 | Образуются белки группы крови |
| 16 | 11,6 | У девочек формируются яйцеклетки |
| 17 | 13,2 | У малыша появляется подкожный жир |
| 18 | 14,2 | Ребенок начинает слышать и поначалу пугается резких звуков, постепенно привыкает к голосам близких людей |
| 19 | 15,3 | Под зачатками молочных зубов закладываются постоянные, туловище покрывается специальной смазкой для сохранения тепла |
| 20 | 25,6 | Ребенок реагирует на вкус околоплодной жидкости и на продукты, которые съела мама |
| 21 | 26,6 | Активно развивается костная система |
| 22 | 27,8 | Кожа теряет прозрачность, появляются ресницы и брови |
| 23 | 28,8 | Происходит скачок в развитии мозга и ЦНС |
| 24 | 30,1 | Период максимальной активности плода, заканчивается формирование глаз |
| 25 | 34,6 | В кишечнике образуется меконий |
| 26 | 35,4 | Легкие готовятся к жизни малыша вне материнской утробы, в них продуцируется сурфактант |
| 27 | 36,6 | Ребенок отличает свет от темноты, поскольку глазки полностью открываются |
| 28 | 37,6 | Малыш продолжает развиваться, если посветить на живот фонариком, он отвернется и зажмурится |
| 29 | 38,5 | Усложняется работа мозга, считается, что с этого момента малыш уже может видеть сны |
| 30 | 39,9 | Кроха проявляет характер: выражает недовольство ярким светом, продуктами, которые съела мама |
| 31 | 41,2 | Активность падает из-за существенного увеличения плода в размерах, в матке становится все меньше места |
| 32 | 42,4 | Ребенок занимает положение перед родами (в норме — головное предлежание) |
| 33 | 43,6 | Жизненные ритмы малыша синхронизируются с периодами активности и отдыха будущей матери |
| 34 | 45,2 | Легкие практически полностью созревают |
| 35 | 46,3 | Малыш активно накапливает жировую прослойку |
| 36 | 47,5 | Формирование ребенка завершается, но он все еще набирает вес |
| 37 | 48,7 | Плод считается полностью доношенным и готов к самостоятельной жизни вне маминого животика |
| 38-40 | 50-52 | Головка опускается в область малого таза женщины, и малыш появляется на свет |
В таблице приведены усредненные значения, которые могут незначительно колебаться в большую или меньшую сторону. Размеры эмбриона зависят от индивидуальных параметров будущих родителей, питания женщины, заболеваний в анамнезе и других факторов.
Желточный мешок в норме по неделям: таблица
Желточный мешок формируется примерно через 3 недели после успешного зачатия. Он выглядит как замкнутое кольцо или две параллельные линии, плавающие внутри полости хориона. К 7 неделям гестации его диаметр составляет примерно 4-5 мм, к концу первого триместра он исчезает и не визуализируется.
Главные функции этой зародышевой структуры:
- трофическая (питание эмбриона);
- дыхательная;
- кроветворная (образует первичные клетки крови и кровеносные сосуды);
- половая (поначалу в желточном мешке формируются и временно располагаются первичные половые клетки, которые впоследствии мигрируют).
В первом триместре параметры желточного мешка являются важнейшим критерием нормального течения беременности, поскольку в это время его размеры превышают такие же показатели у эмбриона.
Нормы диаметра желточного мешка на разных сроках беременности в 1 триместре представлены в таблице:
| Неделя беременности | 5 | 6 | 7 | 8 | 9 | 10 | 11 | 12 |
| Диаметр желточного мешка, мм | 2,3-3,5 | 2,3-3,6 | 3,0-4,8 | 3,9-5,6 | 4,6-5,9 | 5,1-6,1 | 4,2-5,9 | 3,5-4,9 |
На 5 неделе беременности с помощью УЗИ желточный мешок определяется только в виде небольшой черной точки. Нормальный диаметр структуры должен быть больше 2 мм и менее 6,2 мм.
Размер желточного мешка по неделям в случае патологии
При нормальном течении беременности с 3 по 14 неделю отмечается активное увеличение желточного мешка в диаметре, что связано с выполняемыми функциями в период роста и развития органов и систем эмбриона. Медицинские исследования показали, что при различных гестационных патологиях наблюдается либо резкое увеличение структуры в размерах, либо она слишком мала или не визуализируется вовсе.
При самопроизвольном аборте желточный мешок уменьшается либо отсутствует в полости плодного пузыря. В то же время при подобном патологическом процессе возможен и рост структуры. Если специалисты увидели на мониторе аппарата УЗИ, что желточный мешок имеет нехарактерную для нормального течения беременности форму, то существует высокая вероятность эмбриональной смерти ребенка.
Значительный рост диаметра зародышевой структуры отмечается при риске прерывания беременности, аномалиях внутриутробного развития ребенка, серьезных нарушениях обменных процессов в системе «мама-малыш», из-за которых эмбрион может недополучать кислород и полезные вещества. Питательные компоненты не усваиваются детским организмом, поэтому желточный мешок гипертрофируется.
Однако большинство патологий беременности сопровождается либо полным отсутствием желточного мешка в составе плодного пузыря, либо слишком маленькими его размерами по сравнению с нормативными значениями.
Не стоит отчаиваться, если УЗИ показало небольшие размеры органа. К концу первого триместра возможность визуализации желточного мешка существенно снижается, что связано с активным ростом малыша, уменьшением объема так называемой экзоцеломической полости и изменением расположения в ней зародышевой структуры.
Орган не виден на УЗИ по следующими причинам:
- неправильно установленный срок беременности;
- формирование плаценты, которая берет на себя функцию питания малыша;
- выкидыш или замирание плода.
Диаметр желточного мешка на первых стадиях развития
Желточный мешок появляется на 5-6 акушерской неделе. Диаметр зародышевой структуры составляет всего 3 мм. Визуализация этого органа с помощью УЗИ становится возможной, когда диаметр плодного пузыря превышает 1 см.
Желточный мешок в первом триместре значительно превышает размеры эмбриона, поэтому на ультразвуковом исследовании врачи обязательно указывают на наличие структуры и рассчитывают ее параметры.
Кроме того, не самые чувствительные аппараты на 3-4 неделе после зачатия могут определить наличие желточного мешка при отсутствии визуализации оплодотворенной яйцеклетки из-за ее незначительных размеров.
Желточный мешок при беременности на ранних сроках: что делать при патологии?
Роль желточного мешка во внутриутробном развитии ребенка переоценить сложно. Несмотря на непродолжительное функционирование, этот орган крайне важен для нормального течения беременности на ранних сроках.
К сожалению, будущая мама никак не может повлиять на происходящие процессы и способствовать увеличению или уменьшению диаметра желточного мешка.
Если врач на первом УЗИ диагностировал патологии, связанные с параметрами зародышевой структуры, все, что остается делать женщине — выждать несколько недель и пройти повторное обследование.
Вполне вероятно, что ребенок в утробе развивается нормально, а желточный мешок на более позднем сроке будет лучше визуализироваться и приобретет нормальные размеры.
Во время ультразвукового исследования на самых ранних сроках врачи определяют не только наличие эмбриона, но и визуализируют другие зародышевые структуры, одной из которых является желточный мешок. При нормальном течении беременности этот орган должен присутствовать в первом триместре в 100% случаев.
Если желточный мешок слишком большой, маленький или не виден вовсе, это может свидетельствовать об аномалиях внутриутробного развития ребенка или угрозе прерывания беременности.
К 12-14 неделе гестации желточный орган перестает функционировать, исчезает или остается неизменным до самых родов в виде кистообразного образования.
Теперь вы все знаете о желточном мешке при беременности. Надеемся, вам понравилась наша статья. Делитесь с друзьями, оставляйте комментарии – мы с радостью ответим!
Желточный мешок при беременности: размеры по неделям Ссылка на основную публикацию
Источник: https://RodaRadi.ru/v-ozhidanii-rebyonka/zheltochnyj-meshok-pri-beremennosti-razmery-po-nedeljam/
Желтый мешочек при беременности на 5 неделе

Так уж заведено матушкой-природой, что каждый орган выполняет отведённую только ему функцию в организме. Постепенно с развитием науки человечество изучило каждый орган и его значение в нашем теле.
Только с появлением ультразвуковой аппаратуры у врачей появилась возможность заглянуть в секретный мир возникновения жизни, но это лишь добавило новых вопросов, на которые нужны ответы.
Одним из таких загадок стал, на тот момент неизвестный орган, желточный мешок.
Что такое желточный мешок, как и когда он формируется?
Желточный мешочек — это зародышевый провизорный орган большинства позвоночных животных, в том числе и человека. Провизорным называется временный орган, который выполняет функции тканевых структур, не успевших оформиться у эмбриона. К провизорным органам также относятся хорион, амнион, аллантоис, серозная оболочка.
Желточный мешок формируется к 15-16 дню развития эмбриона. Он образуется из эндобластического пузырька, который возникает из внутреннего зародышевого слоя — эмбриобласта.
До 6 недели гестации мешок довольно большой. Он превышает в размерах амниотическую полость и зародышевый диск. На 12-13 неделях он начинает уменьшаться.
Это объясняется тем, что у зародыша уже сформированы органы, которые могут перенять на себя функции провизора. К концу первого триместра он перестает работать и полностью редуцируется.
Остатки мешочка превращаются в небольшую кисту у основания пуповины.
Физиология процессов
Для начала важно определить разницу между желточным мешочком и желтым телом. Оба органа появляются на короткое время, участвуют в разных процессах развития беременности и являются неотъемлемой ее частью.
Желточный мешок
Это временный внеэмбриональный орган. Появиться он должен на 15–16 день после зачатия в период плацентации, путем образования эмбриональной ткани вокруг желтка оплодотворенной яйцеклетки.
Располагается с брюшной стороны эмбриона между амнионом и хорионом, и представляет собой полукруглое образование с тонкими стенками. В теле беременной женщины период активного функционирования мешка ограничивается I триместром.
Начиная с 6 недели его хорошо видно на УЗИ.
На 6–10 неделе беременности диаметр мешочка не должен превышать 5,5 мм. На сроке 8–12 недель он не должен быть больше 2 мм. Начиная с 12–13 недели пузырь уже невозможно идентифицировать с помощью ультразвука.
Желтое тело
Это временный орган яичника, который начинает свое формирование после высвобождения созревшей яйцеклетки из доминантного фолликула, то есть после овуляции. Развивается он из гранулезных клеток овулировавшего фолликула яичника на протяжении всей лютеиновой фазы, под действием лютеинизирующего гормона.
Если зачатие произошло, то желтое тело активно развивается под действием хорионического гонадотропина (ХГЧ). Желтое тело функционирует в течение 10–12 недель после оплодотворения и является основным источником гормона беременности – прогестерона.
Именно он отвечает за поддержание и сохранение беременности на первых ее сроках. Прогестерон тормозит развитие новых яйцеклеток, разрастание выстилающего слоя эндометрия и, соответственно, останавливает менструацию.
Желтое тело выполняет свое прямое предназначение до тех пор, пока плацента не сформируется окончательно и не сможет самостоятельно вырабатывать необходимые гормоны.
Функции желточного мешка
На начальных этапах развития эмбриона желточный мешочек играет роль еще не сформированных органов: печени, селезенки, половых желез, почек. Функции мешка:
- Гемопоэтическая. С 18-19 дня гестации в желточном мешке формируется капиллярная сеть и начинается эритропоэз. В организм эмбриона поступают эритробласты — клетки-предшественники эритроидного кровяного ростка, которые имеют внутри себя ядро. Они превращаются в ретикулоциты, а затем в эритроциты.
- Половая. На 28-29 день эмбриогенеза в стенках провизорного органа формируются первичные половые клетки. По мере роста они мигрируют в зародыш к зачаткам гонад.
- Синтетическая, иммунная и метаболическая. Мешок выполняет функцию печени в синтезе необходимых для организма белков: альфа-фетопротеина, трансферрина, альфа2-микроглобулина. Образование белков происходит до 6 недели гестации. Попадая в кровеносную систему эмбриона, альфа-фетопротеин связывается с полиненасыщенными жирными кислотами и разносит их по всем клеткам. Он угнетает иммунную реакцию эмбриона на новые белки, обеспечивая нормальный обмен веществ.
- Выделительная. Через желточный мешочек выводятся продукты метаболизма эмбриона.
Определение понятия об Анэмбрионии
К сожалению, на определенном этапе сам зародыш может перестать развиваться, при этом плодное яйцо будет присутствовать. При этом у женщины сохраняются или нарастают все признаки беременности – токсикоз, набухание молочных желез, отсутствие менструации, перемены настроения, даже тест на беременность продолжает показывать две полоски.
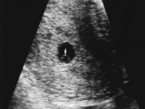
Пустое плодное яйцо или отсутствие эмбриона фото:
Это является следствием того, что подобные ощущения прямо зависимым от гормонов, вырабатываемых оболочками плода, другими органами или вводимых внутрь, к примеру, если было проведено экстракорпоральное оплодотворение. Такая картина может сохраняться определенное время, женщина может не ощущать отсутствие эмбриона и никаких признаков того, что внутри нее произошли фатальные и необратимые изменения.
Определяется данная патология, на первом УЗИ, на 5-6 неделе беременности. Если нет эмбриона в плодном яйце на мониторе аппарата УЗ-исследования, то врачом выносится диагноз анэмбриония. В некоторых случаях рекомендуется пройти повторное исследование на 7-8 неделе или отследить динамику ХГЧ. Дважды подтвержденный плод без эмбриона является поводом к прерыванию беременности.
Не редко встречается такое явления как анэмбриония второго плодного яйца. Это значит, что у женщины могла быть двойня. На оставшийся зародыш, тот который замер не оказывает пагубного влияния при условии, что у второго нет патологий.
Источник: https://MedLazaret.ru/vedenie-beremennosti/zheltochnyj-meshok-pri.html
Желточный мешочек есть а эмбриона нет почему

Две заветные полоски на тесте, высокий уровень ХГЧ – вот они заветные желания женщины, совершивший длинный путь к беременности. Некоторым возможно пришлось прибегнуть к помощи ВРТ.
Казалось бы, теперь только наслаждаться 9 месяцев своим статусом и готовиться к появлению нового члена семьи. Но, не все так радужно.
Последние годы увеличивается тенденция, что при проведении первых УЗИ обнаруживается плодное яйцо без эмбриона на раннем сроке беременности.
Общее строение внутриутробного организма
После естественного зачатия или оплодотворения в пробирке и последующей пересадки в матку зародыш начинает прикрепляться к эндометрию – происходит имплантация.
В процессе сложных реакций у эмбриона продолжается деление клеток, начинается их дифференциация.
С одной части буду формироваться органы будущего ребенка, а с другой образуются внезародышевые органы — амнион, хорион, аллантоис, желточный мешок, плацента.
https://www.youtube.com/watch?v=cl5o7_DZhQk
Все эти органы называются провизорными, так как по своей сути обеспечивают зародыш необходимыми питательными веществами, служат предшественниками будущих элементов ребенка, защищают зародыш от любых негативных факторов. Таким образом, плодное яйцо, или как еще его называют плодный мешок – это эмбрион, оболочки, желточный мешок, другие сформировавшиеся тела и амниотическая жидкость вместе взятые.
Чем отличается плодное яйцо от эмбриона? Как было описано выше, эмбрион является составляющей частью плодного яйца. Простыми словами, зародыш буквально находится в мешочке, яйцевидной, овальной формы, из которого он питается. Благодаря ему, зародыш может развиваться и оставаться невредимым.
Что такое желтый мешочек в плодном яйце? Правильнее все-таки говорить не желтый, а желточный мешочек (мешок) – это особый и очень важный временный орган будущего ребенка.
Представляет собой отросток на брюшной стороне зародыша, содержащий желток.
На ранних сроках беременности он выполняет функции печени, продуцирует половые клетки для плода, активно участвует в обменных процессах и в дальнейшем редуцируется к концу первого триместра.
Определение понятия об Анэмбрионии
К сожалению, на определенном этапе сам зародыш может перестать развиваться, при этом плодное яйцо будет присутствовать. При этом у женщины сохраняются или нарастают все признаки беременности – токсикоз, набухание молочных желез, отсутствие менструации, перемены настроения, даже тест на беременность продолжает показывать две полоски.
Пустое плодное яйцо или отсутствие эмбриона фото:
Это является следствием того, что подобные ощущения прямо зависимым от гормонов, вырабатываемых оболочками плода, другими органами или вводимых внутрь, к примеру, если было проведено экстракорпоральное оплодотворение. Такая картина может сохраняться определенное время, женщина может не ощущать отсутствие эмбриона и никаких признаков того, что внутри нее произошли фатальные и необратимые изменения.
Определяется данная патология, на первом УЗИ, на 5-6 неделе беременности. Если нет эмбриона в плодном яйце на мониторе аппарата УЗ-исследования, то врачом выносится диагноз анэмбриония. В некоторых случаях рекомендуется пройти повторное исследование на 7-8 неделе или отследить динамику ХГЧ. Дважды подтвержденный плод без эмбриона является поводом к прерыванию беременности.
Не редко встречается такое явления как анэмбриония второго плодного яйца. Это значит, что у женщины могла быть двойня. На оставшийся зародыш, тот который замер не оказывает пагубного влияния при условии, что у второго нет патологий.
Причины анэмбрионии
Околоплодное яйцо без эмбриона или плодное яйцо, как еще называют анэмбрионию, до сих пор остается не до конца изученной темой. Причины пустого плодного яйца без эмбриона разнообразные, и порой врачу очень сложно установить реальную картину такой ситуации.
Основные виновники, почему плодное яйцо есть, а эмбриона нет:
- наиболее часто это генетические иди хромосомные нарушения зародыша, неправильно формирующийся зародыш не выживет, согласно закону естественного отбора;
- перенесенные острые инфекционные заболевания на первых неделях беременности, которые непосредственно повлияли на эмбрион;
- радиоактивное или рентгеновское облучение;
- негативное влияние алкоголя, никотина, наркотических веществ;
- гормональные нарушения женщины, непосредственно влияющие на развитие зародыша.
Яйцеклетка в матке без эмбриона, хоть и оплодотворенная – это однозначно признак того, что беременность замерла. Но, для постановки такого диагноза и соответственно назначения дальнейшего лечения необходимо убедится в правильном подсчете срока беременности.
Нередкая причина того, почему узи не видит плодное яйцо как раз и является то, что исследование проводится слишком рано, на сроке, при котором фактически невозможно заметить зародыш.
Ответ на вопрос может ли эмбрион прятаться, не однозначен. При достаточном опыте специалиста и хорошей чувствительности аппарата УЗИ вероятность того, что по каким-то причинам эмбрион не был замечен мала. Для перестраховки можно самостоятельно попытаться сделать повторное УЗИ у другого врача, возможно в платном кабинете, подождав неделью-другую.
Средние нормы показатели роста и прогнозы
При условии отсутствия патологий размеры нормального плодного яйца постепенно увеличиваются. Так в среднем на 4 неделе можно визуализировать ПЯ до 5 мм, после 5 недели размер составляет 6-7 мм.
Существенно увеличение происходит на 6-7 неделе, размеры ПЯ достигают от 11 мм до 16-17 мм, а уже на сроке после 8 недель нормально плодное яйцо четко визуализируется и диаметр его равен 18-22 мм.
Принято считать, что если к сроку 8-9 недель плодное яйцо растет, а эмбриона не видно, то беременность не закончится удачно. До этого момента рано делать серьезные прогнозы. Ориентироваться на рост исключительно ПЯ не правильно. Так как плодное яйцо при анэмбрионии растет еще определенное время.
Растет ли плодное яйцо при замершей беременности? На ранних сроках беременности, при анэмбрионии зародыш вырастает на 1-2 мм и останавливается в развитии.
Такой размер практически невозможно определить с помощью УЗИ, даже самого широкого разрешения. А само ПЯ при этом может увеличиваться за счет того, что в нем продолжает скапливаться жидкость.
Поэтому, ответ на вопрос может ли расти плодное яйцо без эмбриона, положителен.
В ситуации, когда на УЗИ видно, что желточный мешочек есть эмбриона нет прогноз более благоприятный. Возможно, срок беременности не позволяет визуализировать сам эмбрион. В норме желточный мешок виден на УЗИ в период с 6 по 11 неделю беременности.
Касательно того, может ли быть желточный мешочек без эмбриона, то ответ зависит от того, что понимать, под словосочетанием нет зародыша.
Если его не видно, если он не развивается на момент, когда уже сформировался желточный мешок, но его размеры очень малы, то да – такая ситуация может быть.
Если желтое тело есть, а эмбриона нет (не путать с желтым телом яичника, речь идет о внезародышевом органе), то вероятность того, что эмбрион просто не разглядели — достаточно высока. Так как по сути желток обязан питать зародыш в первые три месяца. Одной из причин анэмбрионии является недоразвитость, ранняя редукция или полное отсутствие желточного мешка.
Тактика действий
При диагностировании анэмбрионии единственный вариант лечения – это чистка (выскабливание или вакуумная аспирация).
Главный аргумент – задержка неразвивающегося организма в полости матки чревата для женщины серьезными последствиями. Эти процедуры малоприятны.
В таки дни необходимо обеспечить надежную психологическую поддержку женщине, ведь потеря даже еще полностью не сформировавшегося зародыша – это трагедия.
Может ли плодное яйцо выйти само? Природой заложена схема самоочистки организма от «неправильных» форм жизни. Поэтому при замирании зародыша на ранних сроках, часто и случаются выкидыши.
Начинается постепенно отслоение яйца, матка выталкивает нежелательный организм. Но, при достоверном отсутствии зародыша в ПЯ ждать когда организм сам очиститься не стоит.
Равно и как бежать после первого УЗИ на чистку.
Вариант, когда беременность есть, а плода нет, так называемая химическая беременность, с отсутствием зародыша не запрет для дальнейших попыток стать мамой. По статистике, большинство женщин раз побывавших в ситуации, если плодное яйцо в матке есть, а эмбриона нет, после проведенных дополнительных обследований нормально рожают.
Беременность через 2 месяца после анэмбрионии не рекомендована. Организм не успевает отойти от стресса. Специалисты советуют следующую попытку родить ребенка начинать через 5-6 месяцев после процедуры выскабливания.
Если же анэмбриония повторяется, то это служит сигналом к полному и тщательному обследованию обоих супругов.
Необходимо будет сдать тест на совместимость, на разные генетические аномалии, которые могут провоцировать развитие пустого ПЯ.
Еще одна довольно частая ситуация, когда эмбрион растет, а плодное яйцо нет. Врачи в таком случае ставят угрозу прерывания беременности, так как зародышу будет тесно в его оболочке, и он может замереть.
Может понадобиться определенное гормональное лечение для стимуляции роста ПЯ.
Но часто, ситуация когда плодное яйцо не растет, выравнивается со временем, через 1-2 недели мешок начинает интенсивно наверстывать упущенное.
Вынашивание беременности – достаточно непредсказуемая работа, особенно в последнее время. Влияние негативных факторов окружающей среды только начинает проявляться. По статистике, около 20% всех женщин сталкиваются с диагнозом анэмбриония. Но, отчаиваться и бить панику не стоит. Необходимо трезво оценивать ситуацию, проконсультироваться у нескольких специалистов и затем принимать решение.
Источник: https://ecobabies.ru/raznoe/zheltochnyj-meshochek-est-a-embriona-net-pochemu.html
Желточный мешок при беременности

Желточный мешок – это зародышевый орган, содержащий запас питательных веществ для эмбриона. Желточный мешочек сохраняется на протяжении всего I триместра и самостоятельно рассасывается после 12 недель. Форма и размеры желточного мешка являются одним из важнейших показателей течения беременности на самых ранних ее сроках.